脑干胶质瘤是绝症吗?那个被判无法手术的延髓胶质瘤患者早已回归幸福生活!
发布时间:2025-10-17 11:03:23 | 阅读:次| 关键词:脑干胶质瘤是绝症吗?那个被
- [案例][脑干胶质瘤案例]5岁宝宝脑干延髓区占位病变案例
- [案例]INC巴教授“禁区”手术图解案例六 | 全切巨大桥脑海绵状
- [案例]为避免终身依赖呼吸机,我选择接受高难度脑干手术
- [案例]暴胖40斤、日尿5升!病理报告两度反转——35岁壮年遭遇颅
- [案例]“我的天,我做过手术吗?!”海绵窦区肿瘤术后当天,
- [案例]良性又令人害怕?垂体瘤侵袭视神经、压迫脑室,一次全
当欧先生被确诊患有脑干胶质瘤时,他年仅39岁。他作为一位负责任的父亲、体贴的丈夫,同时也是自己生活的主导者。
他清晰记得2024年9月,在打羽毛球时突然晕倒后检查出该疾病。“无法手术、生存期有限”——当医生告知此为绝症时,他曾陷入抑郁。他思考生命如此珍贵,若获得重生机会定要牢牢把握。幸运的是,他最终获得手术机会并顺利度过。
术后3个月复查影像显示肿瘤切除效果理想,脑干及周边结构保持完整。下次MRI复查可安排于8-9个月后。回归正常生活轨道的欧先生,特向巴教授咨询术后饮食限制事项。教授表示:“我认为无需进行饮食限制。”

手术后欧先生持续记录生活,视频中展现充满幸福的日常:绿意盎然的庭院、陪伴在侧的家人、儿女双全的温馨场景。术后他得以继续陪伴家人旅行,见证孩子取得优异成绩时倍感自豪,并常与朋友分享这些时刻。所有这些来之不易,两个孩子承载着他全部的爱,他将持续守护他们的幸福快乐。
他时常回想,当医生告知生存希望渺茫时,他未曾崩溃放弃。这一切得益于当初勇敢的决定——一味拖延既对自身不负责,也对家庭不负责。“我还年轻,不愿拖延。放任肿瘤生长无法预知其何时从低级别恶变为高级别。我选择手术是为彻底解决问题,重新恢复正常生活。与其恐惧等待,不如主动出击争取健康机会。”令他庆幸的是家人始终支持其决定,给予巨大信心。
他也想告诉正在治疗的家庭:保持乐观心态、积极接受治疗,这样的未来可以实现,加油!
脑干胶质瘤手术可行性分析
脑干胶质瘤(Brainstem Gliomas, BSG)的手术原则是在保护神经功能前提下最大程度切除肿瘤,以延长患者生存期。除下述适应症外,最终手术决策需结合病情严重程度、进展速度、患者一般状况及意愿综合考量。主刀医生的经验与技术是决定手术可行性及成败的关键因素。
手术适应症包括:
外生型脑干胶质瘤
局灶内生型脑干胶质瘤
伴有局灶性强化或11C-MET PET-CT显示局灶高代谢的弥散内生型BSG
不伴局灶强化或11C-MET PET-CT无局灶高代谢的DIPG可选择开放活检或立体定向活检
观察期间显示恶变倾向的胶质瘤(体积增大、MRI增强出现强化、侵犯周边结构)
手术禁忌症包括:
弥散型BSG累及全脑干(中脑、脑桥、延髓)
伴有软脑膜播散或种植的BSG
Karnofsky功能状态评分(KPS)低于50分,脑干功能严重衰竭
合并多脏器功能异常无法耐受手术者
延髓胶质瘤分型与手术挑战
延髓胶质瘤属于脑干胶质瘤中的异质性群体,肿瘤起源于延髓内部,可向脑桥、小脑下脚、小脑及上段脊髓延伸。该病在儿童与成人中均可发生,但生物学特性存在差异。脑干胶质瘤约占儿童脑肿瘤的20%,而在成人胶质瘤中占比不足2%。所有脑干胶质瘤中约25%起源于延髓。总体而言,延髓胶质瘤构成包含多种肿瘤实体的异质性群体,使得预后预测困难。
外生性延髓胶质瘤在儿童中更常见,通常被认为具有更好的手术可行性和术后结局。延髓胶质瘤的手术难度主要源于延髓作为“生命中枢”的极端重要性和脆弱性。这个约2立方厘米的区域密集掌管呼吸、心跳、吞咽等基本生命活动。术中轻微牵拉或损伤可能导致心跳骤停或呼吸衰竭,术中发生多次心跳骤停的情况并不罕见。

同时,延髓组织异常脆弱,厚度可能不足1毫米。若侵袭性肿瘤(如胶质瘤)边界不清,与正常神经组织混杂,则要求主刀医生在显微镜下进行毫米级“雕刻式”分离,操作精度极高。因此,成功突破该“禁区”既依赖主刀医生的高超技术、耐心和经验,也需麻醉团队、神经监护团队和重症监护团队的精密协作。
INC世界神经外科顾问团成员、国际脑干手术专家Helmut Bertalanffy(巴特朗菲)教授在2020年出版的《Brainstem Tumors》专著中,通过《Surgical Approaches to Medullary Tumors》章节分享多例脑干延髓肿瘤经典案例,深入分析全切手术要点。

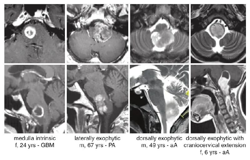
巴特朗菲教授总结临床中不同性质的延髓胶质瘤,将其分为4种类型:13个肿瘤局限于脑干下部,其他病变外生性生长,9个肿瘤主要生长在外侧,8个肿瘤向下方延伸从延髓进入脊髓。

MRI影像显示延髓区肿瘤部位与范围的代表性图像分为4列,对应4例不同患者:包括间变性星形细胞瘤(aA)、胶质母细胞瘤(GBM)、毛细胞星形细胞瘤(PA)。
手术切除是颅内局灶性低级别胶质瘤的主要治疗手段。对于某些高级别胶质瘤,尽管预后可能较差,但首次手术应尽可能全切,使患者获益最大化,避免二次手术的额外风险。手术不仅要切除肿瘤,还需完全保护延髓神经血管,避免细微损伤导致致命后果。
手术原则是尽可能多切除肿瘤,同时不破坏中枢神经系统实质组织。目的是实现脑干减压并明确病理诊断。在高级别胶质瘤中,手术可能延长生存期并提高生活质量。对于边界清晰的病变,力争全切或近全切,减少肿瘤体积,避免放疗需求。
巴特朗菲教授通过大量临床实践得出结论:对于部分脑干肿瘤患者,即使是复杂延髓肿瘤,显微手术切除仍具可行性。专著中展示的许多病例切除率良好,术后效果优异,并发症发生率低。


巴特朗菲教授的手术结果及30余年经验验证了手术在脑干延髓胶质瘤整体治疗中的重要作用。持续术中电生理监测有助于指导肿瘤切除并避免并发症。此外,对于所有可明确鉴别的局灶性低级别肿瘤,应尝试根治性切除,因为切除程度可能积极影响患者长期预后和生存率。
- 所属栏目:胶质瘤
- 如想转载“脑干胶质瘤是绝症吗?那个被判无法手术的延髓胶质瘤患者早已回归幸福生活!”请务必注明来源和链接。
- 网址:https://www.incsg.com/jiaozhiliu/6838.html
- 更新时间:2025-10-17 11:04:18


