高血压竟致脑干出血!70岁的她呼吸衰竭命悬一线,如何靠一场手术逆转危局?
发布时间:2025-10-17 20:50:25 | 阅读:次| 关键词:高血压竟致脑干出血!70岁的她呼吸衰竭命悬一线,如何靠一场手术逆转危局?
- [案例]女儿用蓬勃的生命力打败了巨大胶质瘤,我们为她骄傲!
- [案例]曾患脑干肿瘤,开颅手术后1个月回归校园,拿下“三好学
- [案例]30+创业精英突陷“耳鸣噩梦”,听神经瘤疑云背后竟是虚
- [案例]脑膜瘤如“章鱼”盘踞在脑中,视力模糊、嗅觉减退…不
- [案例]当脑海绵状血管瘤引发严重癫痫,应该先解决哪个麻烦?
- [案例]60多岁王先生脑干海绵状血管瘤术后2年随访情况
70岁患者萨拉因突发剧烈恶心呕吐于凌晨送至急诊室,检查发现右侧舌肌偏斜,血压201/100毫米汞柱。入院后立即接受降压治疗,但病情出现恶化:白天呼吸频率降至每分钟10次,夜间反复出现呼吸暂停。医疗团队果断实施气管插管,呼吸机成为维持生命的必要支持。
MRI检查未发现明确出血原因,既无海绵状血管瘤也无动静脉畸形,最终确诊为高血压原发性延髓出血。持续降压药物治疗使血压逐步下降,但呼吸抑制症状未见改善。
原发性脑干出血常见病因为高血压。长期高血压可导致脑内小动脉玻璃样变和纤维素样坏死,进而引起血管壁结构薄弱、弹性下降。患者血压骤升时,此类病变血管极易破裂引发脑干出血。

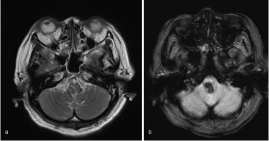
磁共振图像显示出血灶无明显病理原因:(a)T2加权序列;(b)T2加权序列。
治疗决策面临挑战
面对萨拉病情,医疗团队面临艰难抉择。原发性脑干出血传统多采用保守治疗,原因在于:
手术通道极其狭窄:脑干结构复杂,神经密集,手术器械操作如同在"雷区"中穿行
手术风险极高:任何细微触碰都可能造成二次损伤,导致永久性神经功能障碍(如瘫痪、面瘫等)
疗效不确定:血肿清除并不能修复已受损的神经细胞
然而萨拉呼吸功能持续恶化,保守治疗已至极限。若不进行干预,患者可能永远无法脱离呼吸机。

手术实施方案
经与家属深入沟通,最终决定实施开颅手术清除血肿。该手术对医生团队堪称严峻挑战:延髓区域布满神经核团和神经束,轻微误差即可导致瘫痪、吞咽困难甚至呼吸衰竭。
术中使用神经电生理监测系统持续监控屏幕显示,运动诱发电位和感觉诱发电位波形始终保持平稳,表明神经功能未受影响。手术团队谨慎打开颅骨,定位右侧延髓血肿位置,逐步冲洗清除。血肿清除后延髓肿胀减轻。
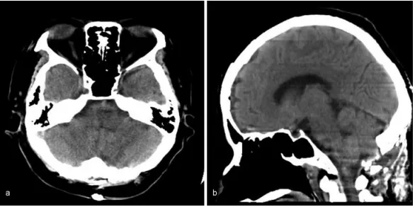
术中神经生理监测(运动诱发电位和感觉诱发电位)保持稳定。术中未发现海绵状畸形等病理学证据。术后CT显示血肿消失。
术后计算机断层扫描显示延髓血肿消失。

术后恢复情况
术后患者自主呼吸频率提升至每分钟15次以上。术后第5天停止呼吸机支持,第6天拔除气管插管。术后5周磁共振成像显示无结构异常。康复后患者自主步行出院,未出现进一步并发症。

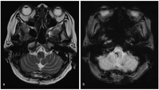
术后5周磁共振成像未见结构异常。
临床治疗策略探讨
对原发性脑干出血采取保守治疗或早期手术清除血肿,目前仍存争议。多数患者接受内科治疗,若病情危重或发现继发病因且符合手术适应证者,则应考虑外科治疗。
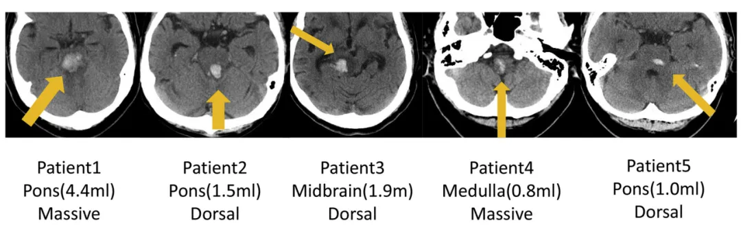
INC巴特朗菲教授2018年发表论文《Surgical Treatment for Primary Brainstem Hemorrhage to Improve Postoperative Functional Outcomes》讨论5例接受手术治疗的原发性脑干出血患者,分析手术治疗改善术后功能结局的能力。研究显示术后1周功能结局(表3)和出院后6个月改良Rankin量表评分(表4)均获改善。

5例原发性脑干出血(PBH)患者轴位CT影像。

表4:手术前与术后6个月Rankin量表评分对比。
手术技术要求与团队选择
脑干病变切除是神经外科领域难度极高、风险极大的手术,不仅需要主刀医生丰富的临床经验和高超的技术水平,还需要术中磁共振(iMRI)、神经电生理监测、神经导航系统等设备保障手术精准安全。因此,脑干出血等病变治疗要最大程度降低并发症,需选择手术经验丰富的神经外科团队及配备先进术中监测设备的医疗中心。
参考文献
《Surgical Treatment for Primary Brainstem Hemorrhage to Improve Postoperative Functional Outcomes》
INC国际脑血管专家 巴特朗菲教授

INC国际神经外科医生集团旗下世界神经外科顾问团(WANG)成员、世界神经外科联合会(WFNS)教育与技术委员会前主席巴特朗菲教授,现任德国汉诺威国际神经外科研究院血管神经外科主任,擅长大脑半球病变、脑干病变、脑血管疾病、脑内深层区胶质瘤、颅颈交界区病变的肿瘤切除术、神经吻合术及各种椎管内肿瘤手术。
巴特朗菲教授曾接受来自欧洲、中东、北非及日本、中国、韩国、新西兰、南非和智利等40个国家学术邀请,出席400余场国际学术会议并担任特邀发言人,为世界神经外科学科发展作出重大贡献,特别是在颅底外科和显微外科血管病变的脑脊髓治疗领域。
- 所属栏目:脑动静脉畸形
- 如想转载“高血压竟致脑干出血!70岁的她呼吸衰竭命悬一线,如何靠一场手术逆转危局?”请务必注明来源和链接。
- 网址:https://www.incsg.com/huanzhegushi/naodongjingmaijixing/6843.html
- 更新时间:2025-10-17 20:38:40


