一场车祸,两重劫难:8岁男孩闯过急救关后又因颅内创伤性动脉瘤命悬一线!
发布时间:2026-01-08 10:14:55 | 阅读:次| 关键词:一场车祸,两重劫难:8岁男孩闯过急救关后又因颅内创伤性动脉瘤命悬一线!
- [案例]「胶质瘤案例」丘脑胶质瘤导致偏瘫、失语
- [案例]脑干海绵状血管瘤危险因素有哪些?有治愈的案例吗?
- [案例]两位30+男性接连确诊:当「人生黄金期」遭遇「脑功能区
- [案例]这种脑瘤竟会影响孩子生长发育!一个7岁颅咽管瘤患儿的
- [案例]39岁女子突发剧烈头痛,检查揪出“元凶”竟是脑动静脉畸
- [案例]突发蛛网膜下腔出血却找不到病因?47岁患者的 “隐匿杀
一场突发交通事故导致8岁男性患儿小明陷入中度昏迷状态。经紧急抢救后,患儿生命体征趋于稳定,医护人员初步认为已度过急性危险期。然而后续CT复查结果揭示更严重的病情:创伤性动脉瘤合并动静脉瘘,且病灶在7天内显著增大,剩余救治时间极为有限。
事故发生时,患儿正于放学回家途中正常行走。送至当地医院时,格拉斯哥昏迷评分仅为7分(E1V1M5),属于危重状态。格拉斯哥昏迷评分是评估中枢神经损伤程度的重要工具,通过睁眼反应、语言反应和运动反应三个维度进行评价,总分3-15分,评分越低提示意识障碍越严重。
| 评估项目 | 评分标准 |
| 睁眼反应(E) | 4分:自主睁眼 3分:呼唤后睁眼 2分:疼痛刺激后睁眼 1分:无睁眼反应 |
| 语言反应(V) | 5分:对答清晰,定向准确 4分:对答混乱 3分:仅能说出单词 2分:仅能发出声音 1分:无语言反应 |
| 运动反应(M) | 6分:遵嘱动作 5分:刺痛定位 4分:刺痛躲避 3分:刺痛屈曲 2分:刺痛伸展 1分:无运动反应 |
正常人的昏迷指数为15分,轻度昏迷为13-14分,中度昏迷为9-12分,重度昏迷为3-8分。评分低于3分且因插管或气管切开无法发声的重度昏迷患者记为2E或2T。
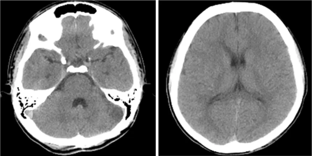
头颅CT检查显示:蛛网膜下腔出血、左后颅窝闭合性颅骨骨折,伴肝损伤和骨盆骨折。医疗团队立即实施脑室引流术控制颅内压,并进行为期7天的低温治疗以保护脑组织。

图a显示头部CT可见弥漫性蛛网膜下腔出血和脑室扩张

图b显示3D骨CT可见多发性颅骨骨折
病情进展与诊断明确
初步抢救稳定生命体征后,第5天复查CT发现左侧桥小脑角区出现高密度占位病变。进一步3DCTA血管造影显示小脑前下动脉远端动脉瘤形成。
第7天血管造影确诊为创伤后动脉瘤合并动静脉瘘,异常静脉直接从动脉瘤顶部引流至颈内静脉,形成血管"短路"。

图a、b、c显示第7天右椎动脉造影,可见动脉瘤位于左小脑前下动脉近端
第14天复查造影显示动脉瘤明显增大,破裂风险显著增加

图d、e显示第14天右椎动脉造影,动脉瘤扩大,动静脉瘘更加明显
治疗挑战与手术决策
儿童创伤性颅内动脉瘤临床罕见,合并动静脉瘘病例更为稀少。动脉瘤位于后循环系统的小脑前下动脉,该区域血管纤细、位置深在,周围毗邻脑干重要结构,手术操作空间极度受限。
此类创伤性动脉瘤多表现为"假性动脉瘤"特征,缺乏正常血管壁结构,瘤壁仅由脆弱外膜和周围纤维组织构成,术中极易破裂出血。创伤性颅内动脉瘤自然病程凶险,通常在伤后2-6周逐渐扩大破裂,平均破裂时间14-21天,破裂死亡率达32%-54%。鉴于患儿动脉瘤已出现增大迹象,需紧急手术干预。
手术治疗过程
入院第16天,经多学科评估后决定立即手术。手术团队采用右侧侧斜卧位,经枕下乙状窦后入路抵达桥小脑角区。术中分离动脉瘤与周围粘连组织时发生动脉瘤提前破裂。主刀医生当机立断实施小脑前下动脉近端阻断术,完整切除动脉瘤,电凝切断异常引流静脉。

术后CT检查未见明显缺血性病变或脑积水

术后血管造影显示动脉瘤和动静脉瘘完全切除,无残留病灶
术后恢复与长期随访
患儿术后恢复顺利,除遗留左侧周围性面神经麻痹(面部肌肉活动受影响)外,其余神经功能正常恢复。6年随访显示面神经麻痹症状未完全消失但不影响日常生活,学习生活与正常儿童无异,复查造影未见动脉瘤复发。
文献来源:Akitsugu Kawashima et al. A case report of a pediatric traumatic aneurysm with arteriovenous(A-V) fistula CASE-BASED UPDATE
专家团队介绍
INC国际神经外科医生集团旗下世界神经外科专家团(WNEG)成员、圣路加国际医院神经外科主任川岛明次(Akitsugu Kawashima)教授,擅长脑卒中、烟雾病、颅底肿瘤、面肌痉挛/三叉神经痛、颅内血肿、巨大脑动脉瘤、脑动静脉畸形等疾病治疗,特别专长脑血管搭桥和颈内动脉内膜切除术。

神经外科手术经验:
烟雾病脑血管搭桥手术:1300例
脑动脉瘤夹闭手术:1000例
脑血管畸形切除术:500例
颈内动脉内膜切除术:450例
开颅脑瘤切除术:280例
颅后窝搭桥术及High-flow Bypass技术等
该案例展示了儿童创伤性颅内动脉瘤的完整诊疗流程,强调了早期诊断、及时干预和长期随访的重要性,为类似病例的治疗提供了重要参考。
- 所属栏目:脑动静脉畸形
- 如想转载“一场车祸,两重劫难:8岁男孩闯过急救关后又因颅内创伤性动脉瘤命悬一线!”请务必注明来源和链接。
- 网址:https://www.incsg.com/huanzhegushi/naodongjingmaijixing/7414.html
- 更新时间:2026-01-08 10:06:30
- 上一篇:47岁男子突发脑出血陷入昏迷,看INC国际脑血管大咖如何破解高危夹层动脉瘤治疗困局!
- 下一篇:没有了


