女儿才从动脉瘤手中逃脱,又被迫直面恶性脑瘤:这次能赢吗?
发布时间:2026-03-30 18:19:30 | 阅读:次| 关键词:女儿才从动脉瘤手中逃脱,又被迫直面恶性脑瘤:这次能赢吗?
- [案例]当医生自己查出脑干肿瘤,他脑子里第一句话是:“做完
- [案例]巴教授让她的“下半辈子能够过的有生活质量”,功能区
- [案例]颈静脉球高位合并听神经瘤手术策略:川岛教授入路改良
- [案例]“想成为像Rutka教授一样的好医生!”曾被他救下的脑瘤女
- [案例]「胶质瘤案例」高难度脊髓-脑干胶质瘤95%以上切除
- [案例]4年前选择伽马刀、4年后再度出血:脑室动静脉畸形治疗的
救护车的鸣笛声划破夜空,9岁的苏珊被紧急送往医院。就在几个小时前,她还是那个充满活力、对世界充满好奇的普通女孩,却在毫无征兆的情况下突然倒下——剧烈的头痛骤然而来,随后意识逐渐模糊,直至陷入昏迷。一切来得太急,快到家人根本来不及反应,整个家庭就这样被猛地推进了恐惧之中。到医院检查后,噩耗接踵而至:颅内大出血,原因是一个潜伏已久的动脉瘤悄然破裂。
因颅内动脉瘤破裂病危
送进急诊时,苏珊的情况已经岌岌可危。影像学检查清楚地显示,出血来源于右侧大脑中动脉三分叉处的一个破裂动脉瘤,由此引发了严重的右额叶出血和蛛网膜下腔出血。这是儿童神经外科中最为险急的情况之一,每延误一秒,脑组织受损的范围就可能扩大一分。
面对这场紧急危机,Rutka教授带领团队迅速行动,为苏珊实施了去骨瓣减压术,先把不断飙升的颅内压压下来,为后续治疗争取时间。但这只是第一步,那个已经破裂的动脉瘤本身,才是必须彻底解除的威胁。随即,团队为苏珊展开了精细的血管内手术:经由微导管,将一枚枚柔韧的铂金弹簧圈精准送入这个直径5毫米的动脉瘤腔内,从内部将其彻底填塞封堵。术后造影证实,动脉瘤已成功栓塞,出血风险从此解除。
苏珊在术后表现出惊人的生命力,恢复过程比预想的顺利。家人以为,最艰难的关口终于熬过去了。然而此后的14个月里,没有人知道,命运的下一道考验已经悄然蛰伏在角落。

A:非增强CT扫描,显示右额叶出血,侧裂内可见致密蛛网膜下腔出血。
B:右侧颈内动脉脑血管造影斜位片,显示一个5毫米大小的大脑中动脉(MCA)三分叉处动脉瘤。
C:右侧颈内动脉脑血管造影斜位片,显示MCA动脉瘤已成功实施血管内弹簧圈栓塞术
术后一年多,新肿瘤悄然长出
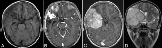
按照常规复查计划,苏珊在动脉瘤手术后14个月再次来到医院做检查。核磁共振和磁共振血管成像的图像一出来,空气瞬间凝固。就在当初动脉瘤所在的位置——右侧大脑中动脉三分叉区域,出现了一个巨大的额颞部肿块,甚至已经将大脑中动脉分叉处整个包裹住了。
这个不知从何而来的肿块,将刚刚喘过气来的一家人再次推到了绝境边缘。它是什么?为何会出现在这里?与之前的动脉瘤有没有关联?所有疑问指向同一个结论:必须手术,取出组织才能知道答案。

A: 弹簧圈栓塞术后1.5个月,显示右侧额叶残余出血的演变,周围伴有额叶和颞叶脑软化。
B: 栓塞术后11个月,显示右侧外侧裂内有一个2.3 × 2.7 × 1.8 厘米的软组织肿块,包绕右侧大脑中动脉三分叉并累及邻近硬脑膜。
C和D: 术后13个月,显示一个8 × 7.2 × 7 厘米的肿块,包绕右侧大脑中动脉,并延伸至前颅窝和中颅窝。可见明显的占位效应、中线移位及凸面硬脑膜受累。
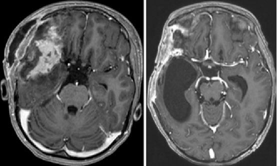
Rutka教授团队紧急评估后,决定为苏珊实施额颞开颅手术。在神经导航等辅助技术的支持下,手术顺利完成了肿瘤的次全切除。然而,等到术后病理结果出来,所有人都被震惊了——苏珊脑内的这个肿块,被确诊为恶性周围神经鞘瘤(MPNST),一种在儿童颅内极为罕见的恶性肿瘤。进一步的基因检测揭示了背后的重要背景:苏珊的母亲本身有Ⅰ型神经纤维瘤病(NF1)的病史,而苏珊自己也因此被诊断为NF1。

左: 开颅术后第1天,显示肿瘤次全切除术后改变及周围脑软化。
希望在坚持中萌发
手术之后,苏珊开始接受辅助化疗和局部放射治疗,这是Rutka教授团队为她制定的综合治疗方案,目的是清除手术后可能残留的微小病灶,尽可能降低复发的可能。整个治疗过程对一个孩子来说无疑是漫长而艰难的,充满了身体和心理上的煎熬。但苏珊和她的家人扛了下来,没有放弃。
随访结果传来了令人宽慰的消息:在开颅手术后的6个月节点,苏珊仍在持续而积极地康复之中。前路还长,但这一步迈出来了。
后记
在所有与NF1相关的肿瘤疾病中,恶性周围神经鞘瘤是较为常见的一类,通常发生在四肢、躯干或腰丛、臂丛等外周神经部位。电离辐射是公认的MPNST发生危险因素,对于像苏珊这样本身就携带NF1基因背景的患者,这种易感性更为显著。NF1患者发生颅内动脉瘤的风险也高于普通人群,但随着血管内治疗技术的不断进步,这类动脉瘤的治疗成功率已经有了明显提升。
苏珊的故事,是罕见的——两种严重的颅内病变在同一个孩子身上相继出现,而且互相牵连。但她也是幸运的,遇到了有能力应对这一切的医疗团队,更重要的是,她自己和她的家人没有放弃。
- 所属栏目:脑动静脉畸形
- 如想转载“女儿才从动脉瘤手中逃脱,又被迫直面恶性脑瘤:这次能赢吗?”请务必注明来源和链接。
- 网址:https://www.incsg.com/huanzhegushi/naodongjingmaijixing/7912.html
- 更新时间:2026-03-30 18:11:30


