内听道里的罕见“陷阱”:当动脉瘤伪装成听神经瘤
发布时间:2026-04-02 10:20:07 | 阅读:次| 关键词:内听道里的罕见“陷阱”:当动脉瘤伪装成听神经瘤
- [案例]巴教授让她的“下半辈子能够过的有生活质量”,功能区
- [案例]“想成为像Rutka教授一样的好医生!”曾被他救下的脑瘤女
- [案例]4年前选择伽马刀、4年后再度出血:脑室动静脉畸形治疗的
- [案例]「胶质瘤案例」高难度脊髓-脑干胶质瘤95%以上切除
- [案例]颈静脉球高位合并听神经瘤手术策略:川岛教授入路改良
- [案例]当医生自己查出脑干肿瘤,他脑子里第一句话是:“做完
远端小脑前下动脉动脉瘤属于临床罕见病例。多数远端小脑前下动脉动脉瘤患者以蛛网膜下腔出血作为首发症状。针对这一罕见疾病,INC国际神经外科医生集团旗下世界神经外科顾问团成员Henry W.S. Schroeder教授(施罗德教授)及其团队于2011年发表了相关研究。该研究报道了全球首例临床表现类似听神经瘤的血栓性内听道小脑前下动脉动脉瘤病例,并通过动脉瘤切除联合端端再吻合术成功完成治疗。


病例报告
22岁男性患者卡尔,临床表现为右侧听力丧失合并头痛症状,于当地医院接受激素输液等对症支持治疗,听力获得轻微改善。此阶段磁共振成像检查显示右侧内听道内存在不均匀钆增强病灶,临床初步怀疑为听神经瘤。
一个月后,卡尔再次出现严重头痛症状,随即转入施罗德教授所在医院的神经内科接受诊治。体格检查发现患者存在右侧面瘫、右侧前庭功能完全丧失以及言语辨别能力完全丧失等临床表现。听性诱发电位检查显示第一波与第二波振幅降低,第三波至第五波消失,提示右侧外周听觉通路受损,并可能伴有下位听觉通路或下位脑干受累。
计算机断层扫描除显示右侧内听道扩大外,其余检查结果未见明显异常。计算机断层扫描血管造影未见血管异常。磁共振成像检查未发现静脉窦血栓形成、脑炎或脑卒中迹象,但明确显示内听道内存在一处形态不寻常的病灶。神经内科、神经放射科与神经外科团队开展多学科会诊讨论,鉴于患者神经症状呈进行性加重,最终决定将卡尔转诊至神经外科接受手术治疗。

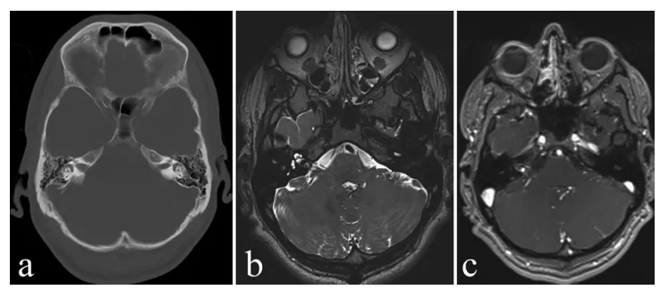
图1. 术前影像学检查结果:(a) CT图像显示右侧内听道呈现扩大改变。(b) MRI图像清晰显示内听道内的不典型病变。(c) 增强MRI图像显示病灶中心区域存在钆增强表现。
手术采用右侧乙状窦后入路开颅,充分暴露桥小脑角区域。在前庭神经下方探查发现一处蓝红色病灶。病灶完全游离后,经确认属于血栓形成的远端小脑前下动脉动脉瘤。微血管多普勒超声检查显示小脑前下动脉远端分支与近端分支均未检测到血流信号。术中吲哚菁绿视频血管造影显示供血支存在延迟充盈现象,远端分支血流灌注极少。动脉瘤被切开并实施取栓操作。由于远端分支逆行性出血极为微弱,医疗团队决定对小脑前下动脉实施血管重建。动脉瘤切除后,对小脑前下动脉进行端端吻合修复。最终吲哚菁绿视频血管造影显示再吻合后的血管充盈状态良好。
术后数字减影血管造影与磁共振成像检查均显示小脑前下动脉充盈良好,未见明显血管狭窄或脑卒中征象。卡尔于术后第8天顺利出院,面瘫症状完全恢复,但术前已存在的听力丧失与头痛症状持续存在。
术后一年随访复查,磁共振成像显示血管再吻合口保持通畅状态。

图2. 术后影像学评估结果:(a)与(b)为数字减影血管造影图像:清晰显示吻合口通畅,再吻合血管充盈良好,未见显著狭窄。(c)为MRI图像:显示吻合血管充盈良好,未发现缺血性脑卒中证据。
结论
内听道内小脑前下动脉动脉瘤患者可能表现出与前庭神经鞘瘤相似的临床症状。当动脉瘤无法实施夹闭手术时,动脉瘤切除后端端再吻合术构成一种可行的临床治疗方案。
- 所属栏目:脑动静脉畸形
- 如想转载“内听道里的罕见“陷阱”:当动脉瘤伪装成听神经瘤”请务必注明来源和链接。
- 网址:https://www.incsg.com/huanzhegushi/naodongjingmaijixing/7941.html
- 更新时间:2026-04-02 10:08:35
- 上一篇:女儿才从动脉瘤手中逃脱,又被迫直面恶性脑瘤:这次能赢吗?
- 下一篇:没有了


