不开颅、从鼻子进去、切干净了,这台颅底肿瘤手术,如何打破三大"难题"?
发布时间:2026-03-27 09:54:34 | 阅读:次| 关键词:不开颅、从鼻子进去、切干净了——这台颅底肿瘤手术,如何打破三大"难题"?
- [案例]与瘤共存6年,是什么让少年决定在9天后与脑瘤“断舍离”
- [案例]看电视突然「剧烈头痛」,经检查确诊为脑动静脉畸形
- [案例]5岁视神经胶质瘤如何重获光明
- [案例]脑干胶质瘤DIPG竟是“儿童杀手”!INC国际儿童大师Rutka教
- [案例]“手术风险大,放疗和药物可以救我吗?”脑干海绵状血
- [案例]“谢谢你坚持下来!”恶性脑瘤无复发8年,是儿子让我再
48岁的艾玛,不知从什么时候起,眼睛开始出现异常。看东西产生重影,一个杯子看成两个,踩一级台阶却踩了空,双眼还出现了明显的斜视。检查结果让所有人都为之揪心——颅底深处藏着一颗脑瘤:一个大型斜坡区脊索瘤正在悄然生长,其侵犯范围相当广泛,已蔓延至岩尖、海绵窦、蝶窦乃至咽后间隙,其中甚至疑似存在更具侵袭性的硬膜下成分。

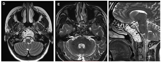
术前轴位D、E和矢状位FT2加权MRI显示斜坡脊索瘤延伸至岩尖、海绵窦、蝶窦(SS)及咽后空间。
肿瘤的侵犯范围如此之大,意味着治疗将面临重重障碍:手术全切极为困难,复发风险居高不下。更棘手的是,若想尽可能彻底清除病灶,很可能不得不牺牲更多周边正常组织,这将显著提升术后脑脊液漏等严重并发症的发生概率,对她的长期预后构成了严峻威胁。
斜坡脊索瘤是什么?手术为何如此高风险?
斜坡是颅底正中位置的一块楔形骨质,脑干就紧贴着它的背面。脊索瘤是一种起源于胚胎残余脊索组织的罕见原发性骨肿瘤,这类肿瘤偏好在斜坡"安家"——颅底斜坡区脊索瘤约占全部脊索瘤病例的35%。它生长缓慢,却具有极强的侵袭性。与胶质瘤浸润脑组织的方式不同,脊索瘤像蜂蜜渗进石头缝隙一样,一点一点向四周的骨质和神经血管间隙蔓延:向两侧侵入颈内动脉所包绕的海绵窦,向后外侧侵入岩骨尖,再向下延伸至颈静脉孔,最终穿透硬脑膜。MRI提示已存在硬膜下成分,这意味着肿瘤不仅在骨质和间隙中生长,还已经开始向颅腔内侧挤压。更棘手的是,肿瘤恰好压迫了穿行于海绵窦的第六颅神经——这正是她出现外展神经麻痹症状的根本原因。
传统开颅手术在这个区域的操作空间极为有限。斜坡的正前方是鼻腔和蝶窦,正后方是脑干和基底动脉——若想从侧方或后方"绕进去",势必需要穿越错综复杂的脑神经网络,代价往往是不可逆的神经功能损伤。
第一个难题:不开颅,真的能到达颅底深处吗?
"鼻子不就是用来呼吸的吗,怎么可能从里面摘掉颅底的肿瘤?"其实,这套手术路径并不罕见。颅底内镜经鼻入路(EEA)是指通过鼻腔借助内镜从蝶窦直通颅底的手术方式。它的优势恰恰藏在解剖结构本身之中:斜坡的"正门"天然朝向鼻腔,蝶窦打开之后,前方的黏膜和骨质就是一条通往斜坡的天然走廊。手术器械沿着最短路径直达肿瘤,无需牵拉脑组织,也不必绕过密布的脑神经。颅底内镜技术正是将这条天然走廊转化为了手术通道。而真正的挑战在于,到达之后,能不能切干净。
第二个难题:侵犯范围这么广,真的能全切吗?
艾玛的肿瘤已侵入四个毗邻区域,每一处都紧邻极其关键的神经或血管。海绵窦内走行着颈内动脉以及第三、四、五、六颅神经;岩骨尖是面神经、前庭蜗神经和颈内动脉岩段的交汇地带;颈静脉孔走行着第九、十、十一颅神经;而硬膜内侵犯则意味着肿瘤已部分突破了颅腔的保护屏障。如果切除不彻底、残留过多,患者可能将在一次次手术和放疗的循环中不断消耗。
这台手术最终由INC国际颅底领域知名专家福洛里希教授主刀,全程不开颅,手术从右侧鼻腔开始。福洛里希教授在蝶窦水平至鼻咽弓处做黏膜垂直切口,钻开鼻骨,广泛暴露蝶窦之后,进一步钻开斜坡区域,从下方逐步显露肿瘤。这一步是经鼻内镜颅底手术的关键所在——暴露本身就是策略。肿瘤深埋于骨质和硬膜之间,只有精准打开正确的骨窗,才能在不牵拉脑组织的前提下,直视肿瘤的完整边界。
术中,福洛里希教授交替使用30度、45度、70度三种不同角度的内镜,配合弯曲可塑器械,在多角度视野的切换中,将肿瘤从层层叠叠的神经血管间隙中一点一点剥离出来。在肿瘤与硬脑膜分离的过程中,出现了轻微的脑脊液漏。这不但没有打乱手术节奏,反而恰恰证明手术已到达"全切"的边缘:肿瘤已紧贴硬脑膜,只有将这一层也彻底分离干净,才能真正实现全切。漏液的处置方案在重建阶段一并解决。手术结束后,术后MRI证实:无任何残留,实现全切除。随着肿瘤被彻底清除,压迫在第六颅神经上的那团力量也同步解除,外展神经功能恢复重新有了可能。

术后轴位D、E和矢状位F T2加权MRI显示肿瘤切除,保留了双侧鼻窦的解剖完整性,并在缝合前使用脂肪进行闭合。
第三个难题:切干净了,如何防止脑脊液漏?
这是经鼻颅底手术中关键的最后一道坎,直接影响患者术后的生活质量。脑脊液漏的常见表现包括:鼻腔或耳道有清水样或淡红色液体流出,伴有头痛等不适感,病情持续加重时可能引发颅内压增高等颅脑系统症状,还可能伴随嗅觉丧失、听力减退、视力损伤、面瘫等神经功能损害。
经鼻手术通道本身就打通了颅内与外部之间的"隧道",一旦屏障破坏,脑脊液就可能沿这条隧道持续向外渗漏,引发颅内感染,严重时危及生命。加之术中已出现轻微脑脊液漏,重建难度进一步升级。

步骤:1、鼻口黏膜切口;2、蝶窦开口;3、蝶窦粘膜切除;4、肿瘤切除;5、开颅术;6、粘膜缝合
传统重建方案是采用鼻中隔皮瓣技术,即从鼻中隔取一块带蒂黏膜瓣,翻转覆盖在颅底缺损处。但对于艾玛这类广泛侵犯的斜坡肿瘤,常规皮瓣的覆盖面积根本不够;若要做更复杂的扩大重建,又势必牺牲更多鼻窦结构,导致术后长期的鼻腔功能受损。这便是"切干净"与"不渗漏"之间看似难以调和的矛盾。

单侧鼻甲黏膜切开及采用II型技术的缝合示意图
福洛里希教授的解法,来自其团队发表的一篇专题论文所提出的核心理念:蝶窦打开之后,鼻腔黏膜本身就是一道生理屏障。如果在手术开始时有意识地切开黏膜并记录切口位置,手术结束后再如同缝合皮肤切口一般精确对位缝合,就能在不牺牲鼻中隔皮瓣的前提下,完整恢复这道天然屏障。这台手术的重建分五个层次完成:第一层,取小块脂肪填塞硬脑膜缺损处,封堵脑脊液渗漏的直接通道;第二层,放置硬脑膜补片进一步加固;第三层,脂肪填充手术空腔;第四层,也是最关键的一步,以5-0单丝可吸收缝线进行水密缝合黏膜,使用16毫米缝针,在鼻腔外打好滑结后收紧,将右侧黏膜切缘与左侧鼻中隔黏膜精确对位缝合;第五层,封闭蝶窦开口,覆盖手术材料,纤维蛋白胶加固。最终实现了真正的双赢:颅底重建有效,脑脊液无渗漏;双侧鼻窦的解剖完整性得到保留,嗅觉和鼻腔黏膜功能均受到妥善保护。术后两个月随访,内镜检查未发现鼻腔结痂,患者本人也无任何鼻部不适。
总结
经鼻内镜颅底外科走到今天,需要三个核心要素同时在场:足够清晰的内镜可视化设备,足够精细的双手操作技巧,以及足够深刻的颅底解剖认知与重建理念。福洛里希教授将三者有机结合,不仅圆满完成了这台手术,还将完整的技术路径公开发表于学术期刊,供全球同行验证与学习。福洛里希教授尤其擅长通过神经内镜与显微镜联合手术治疗颅底疑难肿瘤,凭借独特的神经内镜操作手法,选用不同角度的手术器械,在充分利用自然腔隙的同时最大程度保留解剖结构,从而降低手术并发症与后遗症的发生率、提高肿瘤切除率、降低复发风险,为患者创造更好的长期预后与生活质量。
- 所属栏目:脊索瘤
- 如想转载“不开颅、从鼻子进去、切干净了,这台颅底肿瘤手术,如何打破三大"难题"?”请务必注明来源和链接。
- 网址:https://www.incsg.com/huanzhegushi/jisuoliu/7885.html
- 更新时间:2026-03-27 09:46:38


