妈妈,我不想上学,我的手总是突然举起来,我的身体被偷走了
发布时间:2026-03-07 21:26:45 | 阅读:次| 关键词:妈妈,我不想上学,我的手总是突然举起来,我的身体被偷走了
- [案例]54岁大叔10年开颅3次!听神经瘤第一次治疗太关键了!
- [案例]害怕脑干胶质瘤残余复发,想二次手术却遭国际大咖“婉
- [案例]误诊"电视看多了"?1岁半幼儿面瘫斜视,脑干暗藏桥脑
- [案例]被忽视的头痛元凶:没有脑积水的“症状性”松果体囊肿
- [案例]“生命禁区”险上加急——INC巴教授脑干血管瘤出血急性
- [案例]1岁宝宝脑干胶质瘤惊险求生!3年无复发,国际大咖如何突
如同往常一样,林女士在校门口等待女儿小山楂放学。然而,女儿当天显得异常沉默,情绪低落。面对母亲的询问,女儿的回答令林女士感到震惊:“妈妈,我不想上学了,我的手总是不受控制地突然举起来,我感觉身体好像不属于我自己了……”
女儿的异常表现,令我深感不安
一切异常始于女儿9岁那年。
林女士发现女儿突然变得消瘦,即便每餐进食量充足,体重也不见增长,整个人显得精神不振。起初,她认为可能是天气变化所致,当时并未意识到女儿在学校已出现异常状况。
某日放学后,女儿明确表示不愿再去学校。由于女儿向来性格活泼,且喜爱学校老师,林女士的第一反应是女儿是否在校遭受了欺凌。然而,女儿摇头否认,并解释道:她时常会在课堂上不由自主地举手,但当老师提问时,她却不知如何回答,因为她的手似乎不受大脑支配。
随后,异常表现不仅限于手部,面部及上半身也开始出现不自主动作。她会无意识地做出鬼脸。起初,同学们觉得有趣,但次数增多后,大家逐渐感到怪异,开始疏远她。此外,她转头时的姿势也显得异常,需要将整个上半身一同扭转,动作僵硬如同生锈的机器人。
女儿伤心地询问母亲:“是不是我的身体被偷走了?”
听闻此言,林女士立即联系了班主任,才得知这些异常表现已持续近三周。由于近期出差,她未能及时察觉。当晚,林女士亲眼目睹女儿睡前的手部如提线木偶般突然上举,女儿还诉说自己头痛剧烈。林女士当即决定带女儿前往急诊。
颅内有病变在侵蚀女儿的骨骼
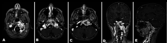
令人困惑的是,急诊医生并未查出明确病因。女儿既无感染迹象,也无夜间盗汗症状。最终,医生建议次日进行更全面的检查。然而,次日进行的头颅磁共振成像(MRI)检查结果更令人心惊。医生告知,在女儿的岩骨至斜坡区域发现了一处占位性病变。该病变从左岩骨尖一直蔓延至斜坡及枕骨髁,并被颈动脉、颈静脉等重要血管包绕,情况十分复杂。

术前MRI,左侧岩骨及斜坡存在强化病灶,注意观察相邻肌肉的受侵情况
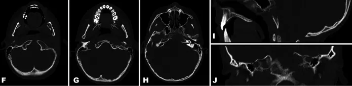
听到这一消息,林女士顿时愣住。而医生查看计算机断层扫描(CT)影像后,眉头皱得更紧。他指出,该病变正在“溶解”周围的骨骼,这些影像学特征高度提示脊索瘤的可能。

术前CT:左侧岩骨及斜坡骨质存在骨溶解性病灶
事实上,直到女儿手术前,林女士仍未能明确病变的具体性质。
后续咨询的其他医生中,有观点认为该病变侵袭了咽旁肌,这与典型脊索瘤的特征不符。全身MRI检查排除了其他骨骼病灶的可能性,单光子发射计算机断层扫描(SPECT)检查也未发现异常,仅提示女儿的骨骺板生长正常。林女士不甘心,又带女儿进行了一系列检查,包括心电图、脑电图、腹部超声等,均未能明确病变性质。
唯一的进展来自检验科,报告显示女儿血液中神经特异性烯醇化酶(NSE)的数值为23ng/ml。然而,这一线索仍无法确定具体疾病类型,诊断一时陷入僵局。自得知女儿患病后,林女士暂停了工作,全心带着女儿四处求医。每晚她都难以入眠,但诊断结果依然一筹莫展。
手术活检成为明确诊断的关键
转机出现在一次转院之后。
经人推荐,林女士带着女儿前往Henry W. S. Schroeder(施罗德)教授所在的医院。她希望能找到无需开颅的诊断方法,因为此前咨询的医生均表示只能通过手术活检来确定病变性质。林女士不愿让女儿承受两次手术之苦,希望要么在一次手术中同时完成活检与治疗,要么能找到非开颅的诊断途径。

Prof. Henry Schroeder德国
施罗德教授给出的答复让林女士看到了希望。他表示,可以采用经鼻内镜手术切除病变,并同时进行病理学检查,无需开颅。林女士当即决定,将女儿的手术托付给施罗德教授,只有这样她才能安心。
在手术室外焦急等待许久后,医护人员告知她,手术由施罗德教授团队与耳鼻喉科医生协作完成,请她放心,孩子一定会平安。教授走出手术室后,果然告知手术成功,一切顺利。林女士紧绷已久的神经终于得以放松,那种被巨大喜悦冲击的感觉,令她终生难忘。
术后谈话时,施罗德教授表示,尽管病变已浸润肌肉组织,但团队在确保肿瘤近全切除的同时,最大限度地保护了神经功能。为防止术后出现脑脊液漏,在手术最后阶段,他们取用了女儿脐周脂肪组织作为天然填充物,用以修复鼻中隔复合瓣。
术后,女儿果然未出现脑脊液漏、感染等并发症,手术切口愈合良好。
然而,一边是女儿良好的恢复状况,另一边却是检查结果的模棱两可。术中冰冻切片检查结果仍无法完全排除脊索瘤的可能。直到最终的病理报告出炉,林女士才真正认清了这个“恶魔”的真面目。它被称为骨朗格汉斯细胞组织细胞增生症(LCH),也就是临床上常说的嗜酸性肉芽肿(EG)。

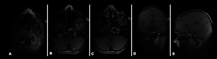
术后1天,骨肿瘤部分几乎全部切除
配合后续治疗,女儿重归正常生活
明确诊断后,后续的辅助治疗方案便清晰起来。术后第9天,女儿开始了为期6周的标准方案化疗,具体为长春新碱(6mg/m²静脉注射)联合泼尼松(20mg口服,每日两次)。
林女士带女儿回家,并在当地医院继续治疗。6周化疗结束后,女儿又接受了两组为期4周的强化化疗,以及为期3个月的维持治疗。
尽管治疗尚未完全结束,但女儿的状态已日益好转。她逐渐恢复了往日的活泼,复查结果也没有辜负她的坚强。
术后13个月,全身MRI复查显示,女儿病情未复发,无论是原发病灶还是脊髓,均未发现其他具有LCH特征性的病灶。
术后32个月,女儿的状况持续良好,不仅肿瘤无复发,也未出现其他新发的骨质病变。

手术及化疗后32个月MRI显示病灶完全缓解
曾经举止异常的女儿,再也没有出现任何怪异动作。她很快重返校园,每天蹦蹦跳跳地向母亲讲述学校的新鲜事,学习成绩也始终名列前茅。
感谢施罗德教授,给了这个家庭一个开启崭新生活的机会。
- 所属栏目:脊索瘤
- 如想转载“妈妈,我不想上学,我的手总是突然举起来,我的身体被偷走了”请务必注明来源和链接。
- 网址:https://www.incsg.com/huanzhegushi/jisuoliu/7726.html
- 更新时间:2026-03-07 21:19:32


