



INC国际脑血管搭桥手术大咖川岛明次(Akitsugu Kawashima)教授研究团队发表的研究中就通过这则病例,探讨了颈内动脉(ICA)血疱样动脉瘤的治疗难题。...
更新时间:2026-05-15 10:25:02

有一种极为特殊的类型,叫做 “真”后交通动脉瘤。动脉瘤的瘤颈与瘤体都起源于后交通动脉本身,而不是起源于颈内动脉-后交通动脉分叉部位。...
更新时间:2026-05-15 09:44:46

远端小脑前下动脉(AICA)瘤非常罕见。大多数远端小脑前下动脉瘤因蛛网膜下腔出血而出现症状。...
更新时间:2026-04-02 10:08:35

剧烈的头痛骤然而来,随后意识逐渐模糊,直至陷入昏迷。一切来得太急,快到家人根本来不及反应,整个家庭就这样被猛地推进了恐惧之中。到医院检查后,噩耗接踵而至:颅内大出血,原因是...
更新时间:2026-03-30 18:11:30

INC国际儿童脑瘤大咖、世界小儿神经系统专业杂志 《Child´s Nervous System》现任主编Concezio Di Rocco教授记录的这个病例,当一个孩子头上长了个"软包",医生该如何避免迈入危险的误诊陷阱...
更新时间:2026-03-28 09:19:01

从最初无症状体检发现,到十余年间瘤体悄然持续生长,直至濒临破裂前实施紧急手术,他的完整经历清晰揭示了无症状脑动脉瘤所具备的隐蔽性危险。...
更新时间:2026-03-21 21:11:05

创伤性颅内动脉瘤是颅脑损伤后极为罕见且高度危险的并发症,一旦发生在儿童后循环区域,更是少见中的少见。...
更新时间:2026-03-17 19:47:42

患者在首次接受治疗后,其颅内血流动力学(即血液流动的力学状态)可能发生了复杂的改变。这类似于一条河道经过部分改建后,水流会冲击并寻找新的薄弱点。由于符女士左侧P1段血管远端仍处...
更新时间:2026-02-21 22:26:10

29岁的小林从未预料到,一次看似普通的肢体麻木竟会将她卷入一场与生命赛跑的持久战。作为一名年轻职场女性,她最初仅感到右手臂偶有麻木感,未曾想这竟是大脑发出的紧急警报——烟雾病与...
更新时间:2026-02-21 22:20:42
血泡样动脉瘤作为神经外科领域的特殊病变类型,其形态特征类似于血管壁上的脆弱水泡结构,具有高度破裂风险,可能引发致命性出血。...
更新时间:2026-02-11 09:24:10

患者经救护车转运至上级医疗中心,立即接受全麻下双侧脑室外引流术。术后第三天拔除右侧引流管,保留左侧引流管持续引流脑脊液。头颅MRI检查发现胼胝体压部存在22mm×15mm橄榄形病灶,确诊为...
更新时间:2026-02-03 18:37:44

85岁女性患者伴有高血压和轻度肺气肿病史,通过年度预防性脑部MRI检查发现左侧颅内存在12mm动脉瘤。病变起源于后交通动脉,医学分类属"真性"后交通动脉瘤,病变完全局限于后交通动脉结构,未...
更新时间:2026-01-30 14:45:52

颈动脉瘤常被视为颅内"定时炸弹",但颈部颈动脉同样存在致命风险。INC国际脑血管搭桥手术专家川岛明次(Akitsugu Kawashima)教授团队曾报道特殊病例:58岁男性因打喷嚏诱发特发性颅外颈动脉假性...
更新时间:2026-01-20 09:14:52

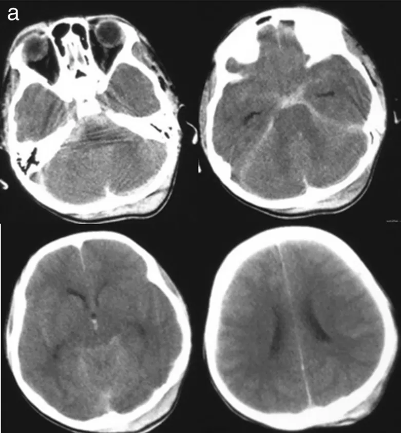
一场突发交通事故导致8岁男性患儿小明陷入中度昏迷状态。后续CT复查结果揭示更严重的病情:创伤性动脉瘤合并动静脉瘘,且病灶在7天内显著增大,剩余救治时间极为有限。...
更新时间:2026-01-08 10:06:30

47岁男性患者陈先生在家中出现突发性剧烈头痛,随后迅速陷入昏迷状态。家属紧急送医后,急诊CT检查显示弥漫性蛛网膜下腔出血,左侧脑桥前池增厚表现明显。...
更新时间:2026-01-04 09:53:53
更新时间:2025-09-19 09:56:59
更新时间:2026-02-21 22:20:42
更新时间:2025-11-06 10:44:12
更新时间:2026-03-21 21:11:05
更新时间:2025-08-23 08:59:43
更新时间:2026-05-15 10:25:02
更新时间:2025-12-10 09:21:59
更新时间:2026-01-20 09:14:52
更新时间:2025-08-08 09:07:08
更新时间:2026-02-21 22:26:10
更新时间:2026-05-15 10:25:02
更新时间:2026-05-15 09:44:46
更新时间:2026-04-02 10:08:35
更新时间:2026-03-30 18:11:30
更新时间:2026-03-28 09:19:01