随访捷报!15岁高难度脑动静脉畸形患者术后半年复查:“切除率100%,我认为不会再复发!”
发布时间:2026-01-01 12:59:25 | 阅读:次| 关键词:随访捷报!15岁高难度脑动静脉畸形患者术后半年复查:“切除率100%,我认为不会再复发!”
- [案例]当脑海绵状血管瘤引发严重癫痫,应该先解决哪个麻烦?
- [案例]脑膜瘤如“章鱼”盘踞在脑中,视力模糊、嗅觉减退…不
- [案例]30+创业精英突陷“耳鸣噩梦”,听神经瘤疑云背后竟是虚
- [案例]60多岁王先生脑干海绵状血管瘤术后2年随访情况
- [案例]曾患脑干肿瘤,开颅手术后1个月回归校园,拿下“三好学
- [案例]女儿用蓬勃的生命力打败了巨大胶质瘤,我们为她骄傲!
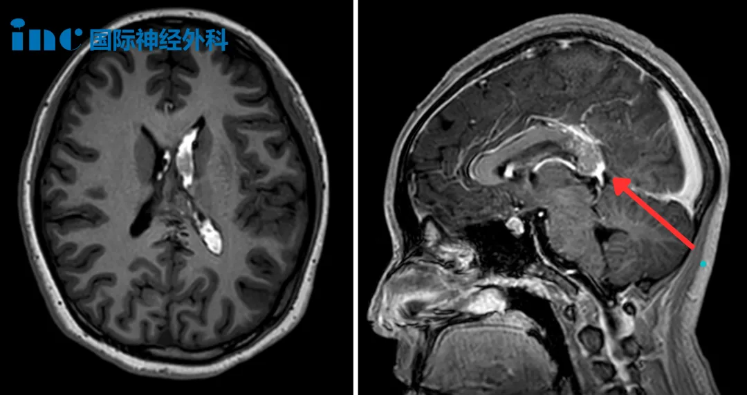
"切除率达到100%,动静脉畸形(AVM)无任何残留,我认为不会再复发。"2025年12月中旬,INC巴特朗菲教授在华进行示范手术期间,在详细审阅15岁患者小蕊术后6个月的最新MRI影像后,向家属宣布了这一令人安心的随访结论。

此时距离小蕊突发脑出血、生命垂危已整整过去6个月。从最初被确诊为高难度的胼胝体压部弥散型动静脉畸形(AVM),到现在小蕊不仅重返校园,近期还与家人共同完成了徒步旅行活动。
急性发病过程记录
2025年6月24日凌晨5时,小蕊因剧烈头痛惊醒,在连续呕吐两次后,头痛症状非但没有缓解,反而呈现进行性加重趋势。
父母立即将小蕊送至当地医院就诊,头颅CT检查结果显示:脑出血!随后患者通过120急救车紧急转运至儿童医院。医疗团队立即为其实施了全麻下双侧脑室外引流术,以清除脑室内积血。

三天后,医生拔除了右侧引流管,保留左侧引流管继续引流脑脊液。当日进行的MRI检查揭示了更复杂的病情:胼胝体压部存在一个22mm×15mm的橄榄形动静脉畸形(AVM)。
疾病特点分析
脑动静脉畸形属于脑血管发育异常性疾病,其特征为动脉与静脉直接相连,缺乏正常的毛细血管网,形成一团迂曲缠绕的血管团。
这些异常血管的主要风险在于随时可能发生破裂出血,从而导致严重的神经功能损害甚至危及生命。
小蕊的AVM病灶位于胼胝体压部——这一连接左右大脑半球的重要结构位置深在且功能关键,使得治疗难度显著增加。

治疗决策评估
小蕊的AVM与常见病例存在差异,该畸形血管团呈现弥散性生长特点,边界不清晰,与正常脑组织广泛交织,使手术难度呈几何级数增长。
正在家属焦虑之际,他们获悉INC国际神经外科医生集团的巴特朗菲教授正在中国进行示范手术。通过紧急协调,家属与这位世界知名颅底外科专家进行了面对面咨询。

2025年6月底的咨询过程中,巴教授详细分析了患儿病情并制定了治疗方案。在仔细研究小蕊的病例资料后,巴教授明确指出:"患儿的AVM仍存在再出血风险,因为存在众多细小AVM血管,这些血管结构脆弱,可能再次破裂。"关于手术方案,他坦言:"这不是一个简单的手术,但具有可行性。"
小蕊的手术面临三重挑战:首先,病变弥散、供血复杂,多条血管从不同区域参与供血;其次,术中术后出血风险极高,弥散型AVM血流量大且来源分散,止血困难;第三,全切与复发风险并存,由于AVM弥散特性,难以确定是否实现真正全切。
手术实施与术后恢复
面对这一复杂病例,巴教授在术前进行了周密准备。手术过程中,在国内神经外科专家团队的密切配合下,手术顺利完成,病灶实现全切除。
术后第一天,小蕊即从ICU转入普通病房。术后MRI影像清晰显示:AVM已完全切除,脑室内出血也已清除。小蕊临床状况良好,很快恢复了正常活动能力。
在近期的术后半年随访中,巴教授特别指出:"通常情况下脑室内出血会引发脑水肿,但患儿恢复情况良好,未出现脑水肿。经过6个月时间,脑脊液循环已恢复正常。"
长期随访重要性说明
尽管小蕊的恢复情况令人鼓舞,但对于动静脉畸形患者而言,术后长期随访同样关键。以下几点需要特别关注:
避免"手术成功即一劳永逸"的错误认知:即使术后检查显示"治愈",也必须遵医嘱定期复查,不可掉以轻心;
警惕复发预警信号:若术后出现新发头痛、头晕、肢体麻木无力、癫痫发作,或突发剧烈头痛、呕吐(可能提示再出血),需立即就医;
完善随访检查:数字减影血管造影(DSA)是诊断复发的"金标准",无创的MRA/CTA可作为筛查手段,医生会根据患者具体情况权衡辐射和麻醉风险,制定个性化方案。
对于小蕊这类复杂AVM病例,术中全切堪称"艺术",依赖丰富经验判断是否实现真正全切,特别是在处理边界不清的弥散型AVM时,更加考验主刀医生的经验和技术。这包括:对动静脉畸形血管构筑的深刻理解、精湛的显微操作技术、对脑组织保护和止血技术的娴熟掌握。

目前,小蕊已恢复正常生活节奏,重新融入课堂学习,与同学们共同为未来努力。因手术需要剔除部分头发,小蕊在出院后进行了接发,这一举动不仅关乎外观修饰,更是她积极面对生活、创伤愈合的象征。
那个曾经被疾病阴影笼罩的少女,正以可见的速度,回归她本应拥有的健康快乐的青春年华。
病例来源说明
本文所述病例来源于INC国际巴特朗菲教授2025年6月中国行期间实施的手术案例之一。
专家背景介绍
INC国际神经外科医生集团旗下世界神经外科顾问团(WANG)成员、世界神经外科联合会(WFNS)教育与技术委员会前主席巴特朗菲教授,现任德国汉诺威国际神经外科研究院血管神经外科主任,擅长大脑半球病变、脑干病变、脑血管疾病、脑内深层区胶质瘤、颅颈交界处病变的肿瘤切除术、神经吻合术及各种椎管内肿瘤等手术。

巴特朗菲教授曾接受来自欧洲、中东、北非以及日本、中国、韩国、新西兰、南非和智利等40个国家的学术邀请,出席400余场国际学术会议并担任神经外科大会特邀发言人,为世界神经外科学科发展做出重要贡献,特别是在颅底外科和显微外科治疗脑脊髓血管病变领域。
- 所属栏目:脑动静脉畸形
- 如想转载“随访捷报!15岁高难度脑动静脉畸形患者术后半年复查:“切除率100%,我认为不会再复发!””请务必注明来源和链接。
- 网址:https://www.incsg.com/huanzhegushi/naodongjingmaijixing/7369.html
- 更新时间:2026-01-01 12:52:37


