47岁男子突发脑出血陷入昏迷,看INC国际脑血管大咖如何破解高危夹层动脉瘤治疗困局!
发布时间:2026-01-04 09:59:28 | 阅读:次| 关键词:47岁男子突发脑出血陷入昏迷,看INC国际脑血管大咖如何破解高危夹层动脉瘤治疗困局!
- [案例]当脑海绵状血管瘤引发严重癫痫,应该先解决哪个麻烦?
- [案例]30+创业精英突陷“耳鸣噩梦”,听神经瘤疑云背后竟是虚
- [案例]脑膜瘤如“章鱼”盘踞在脑中,视力模糊、嗅觉减退…不
- [案例]曾患脑干肿瘤,开颅手术后1个月回归校园,拿下“三好学
- [案例]女儿用蓬勃的生命力打败了巨大胶质瘤,我们为她骄傲!
- [案例]60多岁王先生脑干海绵状血管瘤术后2年随访情况
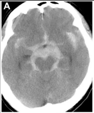
47岁男性患者陈先生在家中出现突发性剧烈头痛,随后迅速陷入昏迷状态。家属紧急送医后,急诊CT检查显示弥漫性蛛网膜下腔出血,左侧脑桥前池增厚表现明显。

出血后第18天,患者病情稳定后,医疗团队实施脑血管造影检查。检查结果揭示左侧大脑后动脉P1-P2段存在异常扩张伴狭窄表现——符合夹层动脉瘤的典型影像学特征。
大脑后动脉负责丘脑、部分颞叶和枕叶区域供血,这些脑区主管视觉、记忆等关键神经功能。P1-P2段动脉瘤解剖位置风险极高,紧邻脑干和颅神经结构,堪称生命中枢旁的"不定时炸弹"。
病理特征与治疗挑战
夹层动脉瘤治疗难度显著高于普通囊性动脉瘤。该病变并非单纯血管扩张,而是血管壁内膜发生撕裂,血液进入血管壁层间形成假腔。此类病变具有持续扩展、易形成血栓及高再破裂风险的特点。
常规治疗方案包括血管内介入栓塞或开颅夹闭术。然而,针对大脑后动脉区域的梭形夹层动脉瘤,单纯闭塞载瘤动脉可能导致供血区缺血,引发视力丧失、记忆障碍甚至瘫痪等严重并发症。

出血后18天血管造影显示左侧P1-P段扩张伴狭窄特征,颞后动脉自狭窄病变远端发出(箭头标注)。
创新治疗方案设计
面对治疗困境,神经外科团队通过多学科会诊和精密术前规划,最终确定采用经左侧颞下入路颞浅动脉-大脑后动脉远端搭桥联合动脉瘤孤立术的治疗方案。
该术式通过单一切口完成"搭桥+孤立"双重任务:在患者左耳上方作精准切口,经此入路同时实施两项关键操作,既减少组织创伤,又保证手术视野连续性。
医疗团队经左侧颞下入路,选择后颞动脉作为受体动脉(图C、D),成功完成搭桥和孤立术。手术过程精度要求极高,需避免周围神经血管损伤,确保吻合口无渗漏。


C、D. 选择颞后动脉(箭头标注)作为受体动脉,经左侧颞下入路采用连续缝合行颞浅动脉-颞后动脉吻合。
术后恢复与随访结果
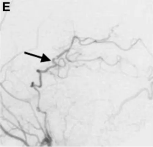
手术过程顺利,未发生术中并发症。术后一周颈外动脉血管造影显示,经新建分流血管,左侧大脑后动脉供血区血流完全通畅(图E箭头标注),未见缺血征象。
患者术后恢复迅速,一年随访显示完全恢复正常生活和工作。复查血管造影证实颞浅动脉-后颞动脉搭桥血管保持通畅,动脉瘤无复发。

术后一周颈外动脉血管造影显示,经分流血管,整个左侧大脑后动脉供血区血流良好(箭头标注)。
术式创新价值分析
大脑后动脉梭形动脉瘤虽临床罕见,但致死致残率极高。传统治疗方案存在高风险或疗效不佳的局限性。川岛明次教授团队提出的经颞下入路搭桥+孤立术,通过"单一切口解决双重问题"的创新思路,既彻底消除动脉瘤风险,又通过血运重建保障远端脑区供血,有效预防缺血性并发症。
神经外科技术进步正是通过攻克此类疑难病例实现的。若出现突发剧烈头痛、呕吐、视力模糊等症状,需警惕颅内动脉瘤破裂风险,及时至正规医院神经外科就诊,早发现、早干预是挽救生命的关键。
文献来源:
Kawashima A et al. Superficial Temporal Artery: Distal Posterior Cerebral Artery Bypass through the Subtemporal Approach: Technical Note and Pilot Surgical Cases.color{red} Operative Neurosurgery 13:309-316, 2017 DOI: 10.1093/ons/opw033
专家团队介绍

INC国际神经外科专家团成员、圣路加国际医院神经外科主任川岛明次教授,擅长脑卒中、烟雾病、颅底肿瘤、面肌痉挛/三叉神经痛、颅内血肿、巨大脑动脉瘤、脑动静脉畸形等疾病治疗,特别专长脑血管搭桥和颈内动脉内膜切除术。
神经外科手术经验包括:
烟雾病脑血管搭桥手术:1300例
脑动脉瘤夹闭手术:1000例
脑血管畸形切除术:500例
颈内动脉内膜切除术:450例
开颅脑瘤切除术:280例
颅后窝搭桥术及High-flow Bypass技术
该病例展示了复杂颅内动脉瘤的个体化治疗策略,凸显多学科协作与创新术式在神经外科领域的重要价值。
- 所属栏目:脑动静脉畸形
- 如想转载“47岁男子突发脑出血陷入昏迷,看INC国际脑血管大咖如何破解高危夹层动脉瘤治疗困局!”请务必注明来源和链接。
- 网址:https://www.incsg.com/huanzhegushi/naodongjingmaijixing/7383.html
- 更新时间:2026-01-04 09:53:53


