跑了这么多家医院,感冒为何好不了?其实是这个脑瘤太能藏了!
发布时间:2025-10-19 19:04:34 | 阅读:次| 关键词:跑了这么多家医院,感冒为何好不了?其实是这个脑瘤太能藏了!
- [案例]脑干胶质瘤DIPG竟是“儿童杀手”!INC国际儿童大师Rutka教
- [案例]"幸得及时寻获巴教授救治!松果体瘤安全全切无损伤,
- [案例]较大脑干海绵状血管瘤压迫丘脑疑难成功案例
- [案例]18岁女孩多发海绵状血管瘤赴德寻求巴教授术后1年随访
- [案例]天救自救者,复杂型脑膜瘤患者如何开启“开挂模式”,
- [案例]“就打了个喷嚏,竟险些让我付出生命的代价!”
15岁患者沫沫在情绪激动或大声说话时出现声音嘶哑,这一常见现象却成为病情变化的开端。随后沫沫开始出现头痛、扁桃体发炎、耳朵痛等症状,家长怀疑为感冒,于当地医院就诊后开始服药治疗。虽然症状暂时缓解,但很快复发。
数月间,沫沫在父母陪同下辗转多家医院,情况未见改善。喉镜检查未发现异常,继续服药治疗但症状无好转。原本认为是普通感冒,却持续无法治愈,令全家深感忧虑。
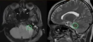
直至在另一家医院进行核磁共振检查,真相才得以揭示:CPA区和颈静脉孔区发现一个体积较大的肿瘤!

手术治疗决策与过程
手术机会评估
尽管年仅15岁,沫沫已具备为自己人生负责的能力。影像学显示肿瘤位于颈静脉孔区,沿舌下神经管区走行,边界清晰,最大横断面约2.4cm×2.0cm,左侧小脑半球和脑干轻度受压。
然而解除这个隐患并非易事。颈静脉孔区作为侧颅底的关键结构,解剖关系复杂,被称为"神经血管交叉路口",有重要血管和神经通过,因此成为手术高难度区域。沫沫的肿瘤不仅位置深在,解剖结构也异常复杂,与后组颅神经、脑干、颈内动静脉等结构关系密切,手术难度更大,风险更高。
与家人和医生深入沟通后,沫沫最终决定接受手术。他认为等待无异于将生命交由疾病掌控,更希望在身体状况相对较好时主动采取行动。拖延手术只会导致更严重症状,如神经损伤、脑积水、共济失调等。

手术实施与结果
巴教授认同沫沫的决定。评估时巴教授坦言:"一味等待可能给肿瘤提供进一步生长的机会,对孩子没有帮助。因此,即使手术没有紧迫性,暂时等待也不是明智选择。"
手术按计划进行。巴教授成功为沫沫完成肿瘤全切术,术后患者无新发神经损伤,运动功能未受影响。这一成果得益于这位年轻人超乎寻常的毅力和决心。沫沫如愿为未来清除了一个重大障碍,我们希望他能始终保持这份勇气,坚定前行!

颈静脉孔区肿瘤的临床识别
核心症状:颈静脉孔综合征
这是颈静脉孔区肿瘤最具特征性的临床表现,主要源于通过颈静脉孔的三根主要颅神经损伤:
舌咽神经损伤导致吞咽困难
迷走神经损伤引起声音嘶哑(最常见且最早出现的症状之一),并可伴发饮水呛咳
副神经损伤导致转头无力、耸肩无力

其他颅神经损伤表现
舌下神经损伤:患侧舌肌萎缩、无力,伸舌时舌偏向患侧
面神经损伤:周围性面瘫,表现为口角歪斜、眼睑闭合不全、额纹消失等
三叉神经、展神经损伤:面部感觉障碍、复视等

耳部与听力症状
搏动性耳鸣是另一个特征性症状,患者可听到与心跳节律一致的"咚咚"或"呼呼"声。还可出现听力下降、耳闷胀感、耳痛、耳道出血等症状。

晚期临床表现
当肿瘤生长至巨大体积时,可能引发小脑脑桥角综合征,表现为走路不稳、共济失调、眩晕。随着颅内压增高,肿瘤压迫第四脑室阻碍脑脊液循环,引起剧烈头痛、呕吐。脑干受压可能导致肢体瘫痪、感觉障碍,甚至危及生命。

案例来源:巴教授2024年国内手术案例
- 所属栏目:脑动静脉畸形
- 如想转载“跑了这么多家医院,感冒为何好不了?其实是这个脑瘤太能藏了!”请务必注明来源和链接。
- 网址:https://www.incsg.com/huanzhegushi/naodongjingmaijixing/6847.html
- 更新时间:2025-10-19 18:57:15


