3岁女儿急性脑出血被送上救护车,良性病变竟成“催命符”
发布时间:2025-11-02 09:49:24 | 阅读:次| 关键词:3岁女儿急性脑出血被送上救护车,良性病变竟成“催命符”
- [案例]INC国际巴教授——10月天坛医院交流手术!
 - [案例]战胜脊索瘤:福教授给予癌症研究者见证孩子成长的宝贵
 - [案例]北京天坛医院手术交流|长跑、潜水、篮球…12岁脑瘤男孩
 - [案例]垂体瘤内镜手术顺利吗?经鼻内镜治疗垂体瘤案例一则
 - [案例]较大岛叶胶质瘤术后2年没有复发,18岁少年考入大学开始
 - [案例]远赴德国手术,那些脑瘤患者术后都怎样了?
 
3岁患儿楠楠经确诊患有脑干海绵状血管瘤。鉴于患儿年龄较小且病灶尚未出血,家属选择保守观察方案,认为该良性病变可能存在终身不出血的风险。
病情急转直下
然而临床数据表明,儿童脑干海绵状血管瘤出血概率显著高于成人。不久后楠楠出现脑干急性出血,病情急剧恶化,表现为坐立困难及言语功能障碍。当救护车紧急转运时,家属才意识到良性病变同样可能危及生命。
病情进展详情
在为期一个月的病程中,楠楠从活泼状态发展为病危状况。神经功能持续恶化与桥脑海绵状血管瘤持续增大、出血及轻度脑积水直接相关。临床表现为嗜睡、头痛、言语障碍、躯干共济失调等严重症状,具体包括:
	
体位维持困难:无法保持坐姿及站立
神经系统体征:轻度面瘫伴重度右侧偏瘫
病理反射:反射亢进及巴宾斯基征阳性,提示上运动神经元损伤
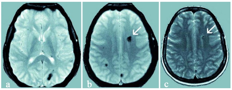
经抗水肿治疗后,患儿临床状况趋于稳定,神经症状短期内有所改善。但后续MRI检查显示原发病灶已增长至4×3.5×3cm,同时在左额叶及顶叶发现继发性致痫灶,病理类型同为海绵状血管瘤。
	
遗传学诊断
多发病灶提示存在家族遗传可能。基因检测证实患儿及其母亲均携带CCM1基因新发突变。母亲MRI虽显示多发性海绵状血管畸形病灶,但未见临床症状表现。
	
手术治疗与预后
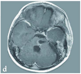
由巴教授主刀完成病灶全切手术,术中应用体感诱发电位及脑干听觉诱发电位监测,结合神经导航技术实现精准切除。术后十日MRI证实病灶完全切除,脑干受压解除,第四脑室形态恢复正常。患儿神经功能持续改善,后续接受系统化神经康复治疗。
	
案例启示
本案例凸显儿童脑干海绵状血管瘤出血风险管理的特殊性,强调基因检测在家族性病例诊治中的重要性,展示多模态监测下显微手术的安全性与有效性。病例来源:巴教授学术论文《Clinical impact of CCM mutation detection in familial cavernous angioma》
                    - 所属栏目:脑动静脉畸形
 - 如想转载“3岁女儿急性脑出血被送上救护车,良性病变竟成“催命符””请务必注明来源和链接。
 - 网址:https://www.incsg.com/huanzhegushi/naodongjingmaijixing/6954.html
 - 更新时间:2025-11-02 09:45:26
 
- 上一篇:年轻运动员因头痛查出脑部畸形!为了重回赛场,他拼了!
 - 下一篇:没有了
 

    
    
    
    
        