



男孩的家长反复被告知“手术风险极高”——在仅拇指头大小的中脑区域,肿瘤的压迫或重要神经核团的损伤,都可能给儿子带来不可逆的后遗症,即便只是进行活检手术,也有导致瘫痪的风险。...
更新时间:2025-12-03 13:30:20

初期误认为复习疲劳,但数日后右腿开始乏力,行走时有踩棉感。随即进行的MRI检查结果显示:左侧半卵圆中心区存在8.0x11.0mm类圆形异常信号灶,诊断为海绵状血管瘤出血。...
更新时间:2025-12-02 09:27:00

关于低级别胶质瘤是否具有治愈可能性的问题,需要明确的是,低级别胶质瘤通常指WHO I级和部分II级胶质瘤。部分患者确实存在实现长期生存甚至临床治愈的机会,但这取决于一系列关键预后因素...
更新时间:2025-12-02 09:21:37

经检查确诊男孩患有海绵状血管瘤。虽然该病变属良性性质,但可能引发脑干出血,导致瘫痪、功能永久性损伤甚至死亡等严重并发症。然而病情恶化速度超出预期。...
更新时间:2025-12-02 09:11:36

淼淼父母观察到孩子出现一系列异常表现:临床表现为嘴角歪斜、流口水及斜视等症状,这些均为既往未曾出现的体征。经医院系统检查,确诊为颅内巨大海绵状血管瘤,该病灶已引发脑干出血。...
更新时间:2025-12-01 10:52:50

脑膜瘤作为最常见的轴外原发性脑肿瘤,约占所有颅内原发肿瘤的13%-19%。其生物学行为高度依赖于肿瘤大小、解剖位置、与神经血管结构的毗邻关系及组织病理学特征。...
更新时间:2025-11-29 20:52:20

第三脑室位于颅脑中心区域,周围环绕下丘脑、丘脑、穹窿和中脑等重要神经结构。通过最佳手术入路安全抵达病灶并进行分离切除,同时避免损伤周围重要结构,这对主刀医生的技术经验要求极...
更新时间:2025-11-29 20:44:52

病灶现已完全消失。影像学检查显示无肿瘤残留或复发迹象,所有指标均符合预期,患者目前无需任何辅助治疗。...
更新时间:2025-11-29 09:48:03

我突然遭遇持续加重的头痛。起初以为只是小毛病,并未及时就医,然而头痛程度不断加剧。更令人担忧的是,陆续出现左眼视野缺损和闭经症状。作为32岁女性,月经突然停止让我警觉起来。...
更新时间:2025-11-28 10:36:49

一位颅底术后患者复查时提出疑问:“医生,我脖子后面固定的钉子怎么弯了?会不会存在什么问题?”主刀医生对此进行了明确解释:该设计为特意进行的弯折处理,其目的不仅在于更好地适应...
更新时间:2025-11-28 10:28:32

松果体区肿瘤的临床记载最早可追溯至1717年,但该区域的外科手术治疗尝试直至200年后才逐步开展。这些早期探索由Horsley、Brummer、Schloffer等先驱引领,然而在神经外科技术尚处初期发展阶段,其...
更新时间:2025-11-27 10:56:02

11岁的嘉乐是巴特朗菲教授近期在华示范手术中的一位年轻患者。自两年前确诊脑干胶质瘤以来,嘉乐全家始终笼罩在疾病阴影之下。进行性加重的头痛头晕症状严重影响患儿的正常生活,尽管辗转...
更新时间:2025-11-27 10:37:59

当出现半身瘫痪症状的小晴被紧急送至苏州大学附属儿童医院后,吴先生被告知女儿确诊为脑干出血,且病情极为危重。医疗团队指出,一旦出血量达到10ml的临界值,患儿的生存几率将显著降低。...
更新时间:2025-11-26 10:24:28

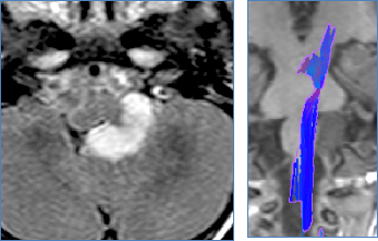
“眼睛向左看时便感到天旋地转,随后右腿乏力,行走时有踩棉花感……”2022年,20多岁的文文未曾预料,一次看似普通的眩晕发作,其背后竟隐藏着位于大脑深部的致命风险——丘脑海绵状血管...
更新时间:2025-11-25 10:07:49

一名3岁男童突发脑干出血,临床表现为剧烈头痛、左侧肢体瘫痪及右眼外展活动受限,这些是脑干海绵状血管瘤破裂出血的典型危急征象。脑干作为神经外科的手术高风险区域,此部位出血的手术...
更新时间:2025-11-24 13:33:09
更新时间:2021-12-15 11:22:17
更新时间:2021-12-15 13:51:24
更新时间:2021-12-15 14:07:12
更新时间:2023-03-16 17:33:49
更新时间:2021-11-22 11:51:29
更新时间:2023-03-16 17:30:52
更新时间:2023-03-16 17:18:43
更新时间:2023-03-16 17:21:02
更新时间:2024-08-02 18:23:33
更新时间:2024-07-26 15:41:59
更新时间:2025-12-02 09:27:00
更新时间:2025-12-02 09:21:37
更新时间:2025-12-02 09:11:36
更新时间:2025-12-01 10:52:50
更新时间:2025-11-29 20:52:20