11cm巨大脑膜瘤,广泛侵犯窦汇、上矢状窦、横窦、颅骨及头皮,如何被完整切除?
发布时间:2026-01-27 10:36:13 | 阅读:次| 关键词:11cm巨大脑膜瘤,广泛侵犯窦汇、上矢状窦、横窦、颅骨及头皮,如何被完整切除?
- [案例]当脑海绵状血管瘤引发严重癫痫,应该先解决哪个麻烦?
- [案例]曾患脑干肿瘤,开颅手术后1个月回归校园,拿下“三好学
- [案例]60多岁王先生脑干海绵状血管瘤术后2年随访情况
- [案例]30+创业精英突陷“耳鸣噩梦”,听神经瘤疑云背后竟是虚
- [案例]女儿用蓬勃的生命力打败了巨大胶质瘤,我们为她骄傲!
- [案例]脑膜瘤如“章鱼”盘踞在脑中,视力模糊、嗅觉减退…不
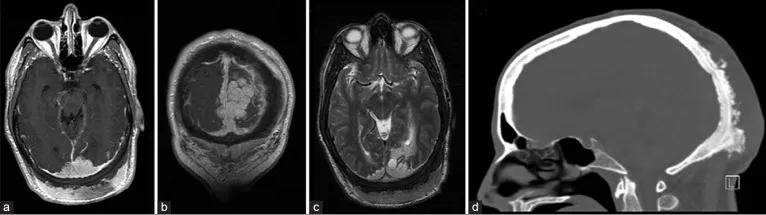
48岁男性患者因头痛加剧伴视物模糊3天就诊。术前影像学检查显示窦汇区存在约11.5厘米的轴外占位性病变,增强扫描呈现明显强化特征。脑血管造影检查证实病变导致上矢状窦、窦汇及左侧横窦近端发生闭塞,皮质静脉通过Labbe静脉实现引流功能,深部引流则依赖枕窦完成。体格检查发现患者存在下方视野偏盲症状,枕后部可触及巨大坚硬隆起,表面皮肤未见异常表现。

术前评估与手术方案
术前诊断性检查包括头颅磁共振成像(MRI)及磁共振血管成像(MRA),结果显示直径11.5厘米的肿瘤病灶跨越幕上及幕下区域,向双侧顶叶与枕叶延伸,并侵犯上矢状窦、窦汇及横窦近端。肿瘤经颅骨侵犯至枕部头皮及真皮层。脑血管造影显示上矢状窦、窦汇及横窦近端部分节段血流消失,深部静脉经枕窦引流,皮质静脉经增粗的Labbe静脉引流。




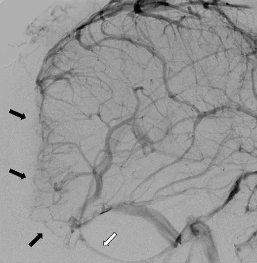
术前治疗方案包括对颈外动脉的肿瘤供血动脉进行栓塞处理,主要栓塞对象为枕动脉和脑膜中动脉分支,使用弹簧圈及聚乙烯醇颗粒作为栓塞材料。初步病理检查通过小切口切开活检实施,病理分析确认为世界卫生组织(WHO)I级脑膜瘤。
手术过程与技术细节
患者取俯卧位,使用Mayfield三钉头架进行固定。手术在影像引导立体定向导航辅助下实施,计划进行广泛头皮切除、颅骨切除及静脉窦探查术。手术步骤如下:
头皮采用环形方式实施大范围整块切除,术中冰冻病理诊断确认切缘无肿瘤浸润
通过立体定向技术定位上矢状窦、窦汇及横窦轮廓,沿静脉窦及计划骨瓣外周放置多个钻孔
使用高速磨钻配合磨头及足板完成颅骨切除
剪开双侧顶叶与枕叶表面硬脑膜,采用标准显微外科技术从脑组织表面分离肿瘤
结扎正常的近端静脉窦,切开静脉窦及大脑镰至未受侵犯的直窦
切除受肿瘤侵犯的窦汇及左侧横窦结构,对右侧横窦及直窦的残留管壁进行一期修复
术后处理与重建方案
术野探查确认无大体肿瘤残留后,采用Alloderm硬脑膜补片及钛网实施颅骨成形术。整形外科团队取左侧背阔肌游离皮瓣进行软组织覆盖,使用8-0尼龙缝线将胸背动脉与颞浅动脉吻合,采用2毫米静脉吻合器完成静脉吻合。术后佩戴头胸外固定架持续6周,防止皮瓣受压。

术后随访与疗效评估
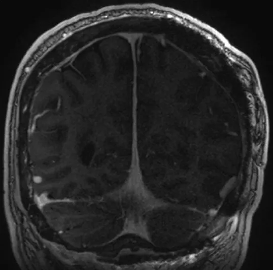
患者术后转入重症监护室,初期出现视觉障碍伴视力下降,在住院康复期间逐渐改善。最终病理诊断仍为WHO I级脑膜瘤。术后6个月随访时,患者可借助老花镜阅读报纸,但术前存在的下方视野偏盲未见明显变化。术后18个月常规MRI随访显示无肿瘤复发或再生迹象。
手术技术要点分析
本案例成功实施的关键因素包括:
术前充分评估静脉引流途径,明确Labbe静脉的皮质静脉侧支引流和枕窦的深部结构静脉侧支引流
采用分期手术策略,先获取组织学诊断再行确定性治疗
结合影像导航技术精确定位重要静脉窦结构
联合整形外科团队实施复合组织缺损修复
临床意义与推广价值
该案例展示了侵犯静脉窦系统的巨大跨骨性脑膜瘤的完整切除可行性。通过精细的术前评估和多技术融合的手术方案,即使在肿瘤累及重要静脉结构的情况下,仍可实现全切且保持神经功能稳定。本手术方案为类似复杂病例的治疗提供了重要技术参考。
- 所属栏目:室管膜瘤
- 如想转载“11cm巨大脑膜瘤,广泛侵犯窦汇、上矢状窦、横窦、颅骨及头皮,如何被完整切除?”请务必注明来源和链接。
- 网址:https://www.incsg.com/huanzhegushi/shiguanmoliu/7531.html
- 更新时间:2026-01-27 10:29:34


