生命中枢告急!48岁男子延髓-椎管肿瘤,枕骨大孔区术后6个月怎么样了?
发布时间:2025-10-29 09:49:09 | 阅读:次| 关键词:生命中枢告急!48岁男子延髓-椎管肿瘤,枕骨大孔区术后6个月怎么样了?
- [案例]脑膜瘤如“章鱼”盘踞在脑中,视力模糊、嗅觉减退…不
- [案例]INC巴教授“禁区”手术图解案例七 | 全切中脑桥脑海绵状
- [案例]这种脑瘤手术可能变“木头人”? 20岁法学才女仅用23天战
- [案例]“真的有幸了解到巴教授!”疑难胶质瘤女孩成功示范手
- [案例]巴特朗菲教授远程咨询,带来哪些启发?
- [案例]“感谢巴教授,真的救了我们,救了大家!”巴教授9月疑
人类颅骨结构虽然坚固,但并非完全封闭的构造。大脑的神经组织和血管系统需要与外部环境建立连接,颅骨上为此设置了多个连通出口。其中最大的骨性开口称为“枕骨大孔”,位于颅底部位。该区域作为头颅与颈椎的连接处,可被视为一个“神经血管的交通枢纽”。在这个狭小空间内,密集分布着维持生命体征和重要生理功能的结构。

图示从枕背外侧和下角观察颅外侧颅骨,如大箭头所示。枕骨大孔前缘与神经轴前表面的直线视野被枕骨大孔外侧缘和枕髁结构所遮挡。通过部分磨除椎动脉硬脑膜入口正外侧的骨质组织,能够有效扩大手术视野,从而安全实施神经轴前外侧区域的操作。标注说明:OC代表枕髁,JT表示颈静脉结节。
生命中枢区域包括延髓(负责调节心跳、呼吸等基本生命功能)和上颈髓,两者在此处直接延续。
关键颅神经:第IX对(舌咽神经)、第X对(迷走神经,主要控制吞咽和发声功能)、第XI对(副神经,负责耸肩和转头动作)以及第XII对(舌下神经)颅神经均从此区域发出。损伤这些神经可能导致吞咽障碍、声音嘶哑、肩部肌力减弱等严重并发症。
核心血管系统:椎动脉、小脑后下动脉(PICA)及其分支血管在此处穿行,负责脑干和小脑组织的血液供应。血管损伤可能引发脑干梗死,造成灾难性后果。
枕骨大孔区域一旦发生肿瘤生长,手术难度显著增加——集中体现为“视野受限”(位置深在)、“结构重要”和“切除困难”(解剖关系复杂)等多重挑战。
肿瘤组织往往将这些重要结构包裹、推挤或粘连在一起,手术操作空间极为有限,分离肿瘤过程中任何细微失误都可能损伤这些关键解剖结构。
48岁男性延髓大型肿瘤案例展示手术如何建立“生命通道”
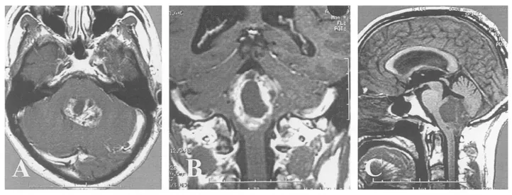
INC生命中枢告急!一名48岁男性在延髓区域发现大型囊实性室管膜瘤,肿瘤呈现藤蔓状生长态势,向上延伸至第四脑室,向下侵入椎管。切除这种位于“生命禁区”的颅颈交界区病变,需要具备深厚的解剖学知识储备。手术面临三大挑战:

视野障碍:肿瘤广泛覆盖神经轴,初次暴露时几乎缺乏操作空间。
血管保护:手术第一步需要在早期辨认并保护为肿瘤供血的小脑后下动脉(PICA)分支。
暴露困难:为充分显露肿瘤顶端,需要精确游离小脑扁桃体并切开后髓帆(本次手术成功避免了小脑蚓部切开)。
巴特朗菲教授首先使用CUSA刀对肿瘤进行减容处理,逐步为关键神经血管结构创造操作空间。随后在显微镜下完成高度精细的肿瘤切除手术:完整游离尾组颅神经根丝、椎动脉(VA)近端及PICA分支。
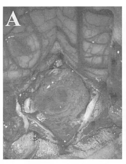
(A)硬脑膜切开后可见向下延伸至C1水平的大型肿瘤;

尽管肿瘤已侵犯脑干,巴教授仍在第四脑室底部坚持彻底切除,以预防复发,并进行细致止血。研究证据表明,术后CT或MR影像学检查无肿瘤残留是长期生存的有利预后因素。
(E)小脑延髓外侧池内结构保持完整,箭头指示右侧椎动脉;

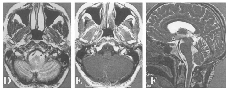
(D-F)术后6个月MR影像证实肿瘤完全切除。

(F)术后6个月患者临床状态良好。

枕骨大孔区肿瘤手术成功的关键要素分析
上述临床案例来源于巴特朗菲教授等人于2002年发表的研究《Surgery of Intradural Tumors at the Foramen Magnum Level》。该研究共纳入74例枕骨大孔区硬膜内肿瘤及海绵状血管瘤患者,所有病例均接受显微外科手术治疗。病理类型分布包括:脑膜瘤25例、血管母细胞瘤12例、室管膜瘤11例、神经鞘瘤9例、胶质瘤7例、海绵状血管瘤6例、表皮样囊肿2例、脂肪瘤1例以及转移癌1例。研究中通过多个典型案例对枕骨大孔区手术技术进行了详细阐述。

枕骨大孔区肿瘤手术的关键成功因素与操作策略
鉴于枕骨大孔区位置深在且该区域肿瘤发生率相对较低,其手术切除较其他颅底区域更为复杂。巴特朗菲教授多年临床经验表明,获得良好手术效果至少需要四个关键要素:(1)对该区域特定解剖结构(存在个体化差异)建立全面认知;(2)根据病变位置定制暴露方案(肿瘤越靠前内侧则暴露难度越大);(3)术中创建并维持近乎无血的手术野条件;(4)针对不同肿瘤特性采用差异化手术技术。

精准掌握包含解剖变异的特定解剖知识
虽然常规神经影像检查(如增强CT和三平面MR)能够清晰显示肿瘤形态,但不足以精确规划手术方案。高分辨率MR可提供更多细节信息:肿瘤侵犯脑干/脊髓的程度、神经轴内显性或隐性出血、脑干/脊髓水肿等。巴特朗菲教授常规采用骨算法CT扫描(可行时辅以三维重建)优化手术规划。椎动脉水平段后襻、髁导静脉尺寸与走行、椎动脉硬膜支/脑膜支、硬膜内椎动脉开窗、寰椎背桥、高耸颈静脉结节、平坦或凹陷型斜坡、枕大孔形态等解剖变异细节均需通过术前高分辨率影像明确。掌握个体化形态特征是定制手术方案的重要基础。
病变的定制化暴露方案
多数情况下后位枕骨大孔区肿瘤暴露相对容易。根据肿瘤头尾延伸范围,需要行C1(必要时C2)椎板切除,并注意肿瘤侧方延伸。根据病变具体位置,可单侧扩大骨窗范围。但对于脑干与颈髓腹侧肿瘤,缺乏定制化暴露则无法安全切除。特别是脑膜瘤必须充分暴露肿瘤硬膜附着点。临床遇到的脑膜瘤质地与血供存在显著差异:部分肿瘤质地脆软但富含病理性脆弱血管网(经标准后路入路难以充分电凝周边)。早期断流(仅能在肿瘤硬膜附着点实施)是最佳策略,这常需采用"极外侧入路"。当遇到凹陷型斜坡或肿瘤延伸至突出颈静脉结节后方时,需切除部分结节才能安全切除肿瘤。
创建并维持近乎无血的手术野
枕骨大孔区重要神经血管结构分布密集。延髓/脊髓、下组颅神经/上段脊神经根丝、椎动脉、小脑后下动脉及其穿支血管在手术初期未必完全可见(常被肿瘤遮挡)。若术中持续出血(来自肿瘤本身或硬膜外),将导致重要结构无法辨识而增加手术风险。通过分步精准止血,可最大限度减少肌肉、骨骼、硬膜、乙状窦/边缘窦、髁导静脉、动脉周围静脉丛等结构的出血。
显微手术技术的通用原则
硬膜外与硬膜内阶段的技术要求存在显著差异:硬膜外阶段需要将多组肌肉从骨附着点剥离并牵开/切断;在椎动脉周围及颈静脉球附近等关键区域磨除骨质时,存在大出血或损伤下组颅神经的风险。为避免骨屑扩散至蛛网膜下腔,巴特朗菲教授主张硬膜开放前完成所有骨性操作(充足的解剖标志可确保硬膜外结构辨识)。硬膜内阶段最关键的是避免任何可能压迫或损害神经轴、颅神经/脊神经根丝、椎动脉及其硬膜内分支的手术操作。
- 所属栏目:室管膜瘤
- 如想转载“生命中枢告急!48岁男子延髓-椎管肿瘤,枕骨大孔区术后6个月怎么样了?”请务必注明来源和链接。
- 网址:https://www.incsg.com/huanzhegushi/shiguanmoliu/6920.html
- 更新时间:2025-10-29 09:41:00
- 上一篇:一颗在脑内“游走”的恶性肿瘤,像瓶塞堵住生命要道,昏迷的12岁男孩如何苏醒?
- 下一篇:没有了


