2次开颅+1次质子后又复发。5岁室管膜瘤男孩在这天迎来新生
发布时间:2026-01-27 10:29:18 | 阅读:次| 关键词:2次开颅+1次质子后又复发。5岁室管膜瘤男孩在这天迎来新生
- [案例]坐轮椅跨省1000公里求医:突破脑干“禁区”成功“拆弹”
- [案例]13岁男孩的4.5厘米“脑内风暴”:一场与巨大海绵状血管瘤
- [案例]复发难治性脊索瘤5年4次手术,国际教授经鼻内镜+开颅手
- [案例]一颗在脑内“游走”的恶性肿瘤,像瓶塞堵住生命要道,
- [案例]开颅手术后能坐飞机吗?高难脑瘤全切术后12天,他如愿“
- [案例]难上加难!当听神经瘤遇见颈静脉球高位,这位国际大咖
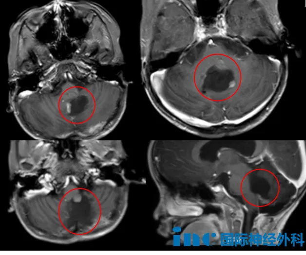
5岁男性患儿布布确诊为后颅窝室管膜瘤,此前经历两次开颅手术和一次质子治疗,但肿瘤再次复发。患儿年龄小、体重轻、血容量低,肿瘤深度嵌入脑干背侧且呈多发性生长。2023年因走路不稳发现颅内肿瘤,同年9月接受首次后颅窝肿瘤切除,术后病理诊断为室管膜瘤。2024年5月肿瘤复发,二次手术后病理升级为间变性室管膜瘤(WHO 3级),术后出现斜视、四肢无力、吞咽困难、言语迟缓等神经功能损伤。完成质子放疗后近期复查显示术区边缘出现可疑结节,与延髓紧密粘连。

手术难度与技术挑战
后颅窝作为小脑幕之下、枕骨大孔之上的关键区域,容纳小脑、脑干、第四脑室及多条重要脑神经。该区域手术面临三大挑战:
肿瘤紧密包裹脑干与高位颈髓,这些结构调控呼吸、心跳与血压等生命功能
肿瘤与支配吞咽、发声的后组颅神经及小脑脚等重要结构粘连
手术空间狭窄,周围血管网络密集,需在毫米级精度平衡全切与功能保护
术中发现实际情况较影像显示更为复杂:MRI增强扫描仅显示3处强化灶,但开颅后发现有更多未显影的肿瘤病灶。手术过程中患儿心率和血压出现波动,巴特朗菲教授保持沉稳操作,精准推进每个手术步骤。

术后恢复与疗效评估
术后第一天上午患儿平稳转回普通病房,意识清醒,能配合完成伸舌等指令动作。术后复查显示手术顺利完成,神经功能得到有效保护。患儿展现出顽强的生命力,父母全程陪伴提供心理支持。医疗团队采用多模式监护方案,密切跟踪生命体征和神经功能变化。
临床决策与家庭支持
面对复杂病情,治疗团队制定个体化手术方案,重点考虑以下因素:
肿瘤嵌入脑干背侧的解剖特点
多发性生长的肿瘤特征
儿童患者特有的生理特点(血量少、脑组织娇嫩)
前期多次治疗后的组织粘连情况
家人在整个治疗过程中持续给予情感支持和生活照料,这种坚持为患儿创造了良好的康复环境。巴特朗菲教授团队与苏州大学附属儿童医院神经外科团队紧密配合,成功完成这台高难度手术。
临床启示与治疗展望
本例治疗经验表明,对于复发性后颅窝室管膜瘤,即使在多次治疗复发后,通过精细的手术规划和技术操作,仍可能获得良好治疗效果。关键因素包括:
准确评估肿瘤与重要神经血管结构的关系
选择合适的手术入路和操作技巧
围手术期的精细管理
家庭支持与康复治疗的有机结合
该案例为类似复杂情况的治疗提供了重要参考,展现了现代神经外科技术在处理疑难病例方面的进步。
- 所属栏目:室管膜瘤
- 如想转载“2次开颅+1次质子后又复发。5岁室管膜瘤男孩在这天迎来新生”请务必注明来源和链接。
- 网址:https://www.incsg.com/huanzhegushi/shiguanmoliu/7530.html
- 更新时间:2026-01-27 10:23:01


