脑干胶质瘤开颅术后,9岁女儿没进ICU,我反而有点“慌”
发布时间:2026-01-24 09:27:06 | 阅读:次| 关键词:脑干胶质瘤开颅术后,9岁女儿没进ICU,我反而有点“慌”
- [案例]听神经瘤复发的可能性大吗?7次手术7次复发的他如何摆脱
- [案例]垂体瘤内镜手术顺利吗?经鼻内镜治疗垂体瘤案例一则
- [案例]从病危到6年无复发,12岁室管膜瘤男孩「一波三折」的治
- [案例]延髓海绵状血管瘤导致多次脑出血致肢体无力,能否治愈
- [案例]当母亲看到开颅术后的儿子:切完脑瘤后居然跟没事儿人
- [案例]突发脑出血几近瘫痪入ICU,手术逆转生死结局!
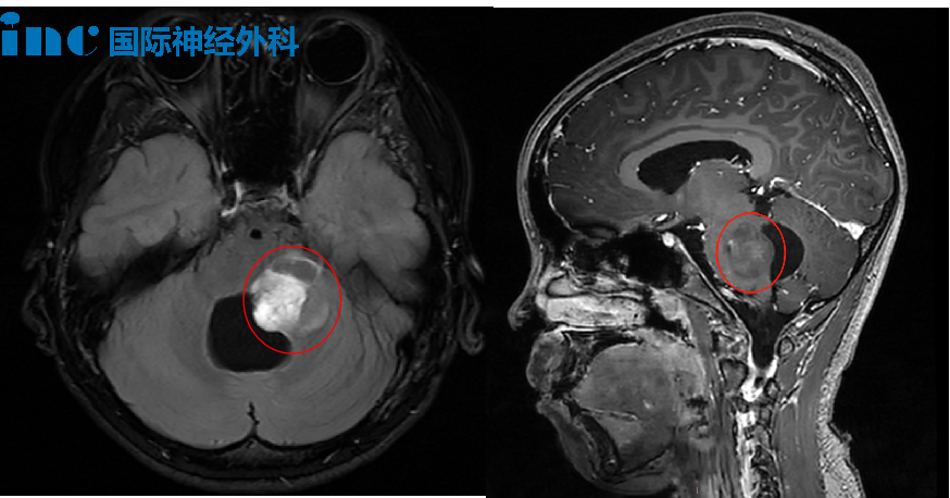
9岁女童茜茜自6岁起反复出现头痛、头晕症状,初期家长未能充分重视。8岁时因感冒就医,经神经外科检查及MRI扫描,确诊为脑干胶质瘤。得知诊断结果后,家属情绪受到严重冲击。医疗团队告知该疾病需重点考虑生存期问题。
首次治疗与病情发展
2022年10月24日确诊后,患儿于当月底入住当地医院,完成增强MRI等系列检查后立即接受手术治疗。首次手术后患儿状态较差,直接转入ICU监护,术后病理诊断为毛细胞星形细胞瘤。术后出现面瘫和眼睑下垂等神经功能缺损症状,但保留了独立行走能力。

病情进展与二次诊疗决策
首次手术后实施的靶向药物治疗最终产生耐药反应,影像学检查显示肿瘤出现进展。通过病友交流渠道,家属了解到德国巴特朗菲教授在脑干肿瘤领域的专业经验,随即通过INC国际医疗机构取得联系。
手术治疗与术后恢复
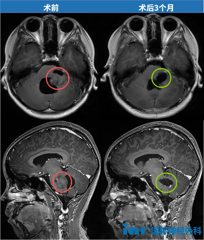
巴特朗菲教授详细评估影像资料后,明确表示可实现肿瘤全切。家属决定在苏州大学附属儿童医院进行二次手术,由巴特朗菲教授主刀,王杭州主任团队配合完成。术后患儿意识清醒返回普通病房,未进入ICU监护。术后第二天(4月4日)即能下床活动,虽步态不稳但可自理如厕。

康复过程与随访结果
术后10天观察显示,患儿神经功能持续改善,行走稳定性日益提高。术后3个月随访影像证实肿瘤完全切除,磁共振检查未发现相关并发症。巴特朗菲教授在随访邮件中特别指出,虽然肿瘤质地较硬增加了手术难度,但最终实现了满意的切除效果。

长期管理方案
医疗团队制定系统的长期管理计划:
定期影像学复查确认肿瘤切除状况
分子病理检测明确肿瘤分型
神经功能康复训练计划
心理支持与社会功能重建


家属表示最大期望是患儿能获得长期生存机会,恢复正常生活质量。目前患儿恢复情况良好,超出术前预期目标。
- 所属栏目:胶质瘤
- 如想转载“脑干胶质瘤开颅术后,9岁女儿没进ICU,我反而有点“慌””请务必注明来源和链接。
- 网址:https://www.incsg.com/huanzhegushi/jiaozhiliu/7517.html
- 更新时间:2026-01-24 09:19:37
- 上一篇:视神经胶质瘤只能等失明?不能一概而论!这几种可以根治性手术
- 下一篇:没有了


