与时间赛跑:新生儿颅内血管畸形破裂的急诊手术决策与处理
发布时间:2026-03-14 09:53:06 | 阅读:次| 关键词:与时间赛跑:新生儿颅内血管畸形破裂的急诊手术决策与处理
- [案例]曾因恐惧瘫痪害怕手术13年,如今奔跑跳跃,术后4年未见
- [案例]三叉神经痛?脑膜瘤隐秘生长压迫脑干!国际专家微创技
- [案例][脑干胶质瘤案例]5岁宝宝脑干延髓区占位病变案例
- [案例]从确诊恶性胶质瘤,到生活明显改善,她做对了这几件事
- [案例]只是有点眩晕,没想到竟要开颅手术……
- [案例]15岁少女突发脑出血伴意识障碍,病因竟为颅内动静脉畸形
尽管多数颅内血管畸形被认为具有先天性基础,然而其在产前阶段极少能被发现,于新生儿及婴儿群体中也属相对少见。该特定患者群体的临床表现,其最为典型的特点表现为因大体积颅内出血所引发的颅内压增高急性体征;此外,高流量病变还可能伴随占位性动脉瘤,进而诱发危及生命的血流动力学改变。

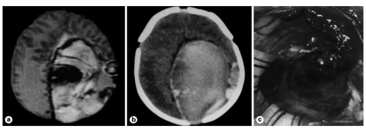
图1.本例为1日龄新生儿,于出生前数日经由产前超声检查诊断为广泛的左侧顶枕叶出血。出生后不久,患儿即呈现深度昏迷状态,伴有瞳孔散大及对光反射微弱。a. 磁共振T2加权像清晰显示血肿,其内包含处于不同降解阶段的血红蛋白产物;未见明确异常的血管结构。b. CT扫描图像:血肿周边的相对低密度区域被解读为超急性期出血。c. 手术中所见:模拟血肿表现的占位性病变,实际为一个高流量动静脉畸形的巨大动脉瘤。术后过程以临床状况的逐渐改善为特点。至5岁时随访,其精神运动发育处于正常水平。

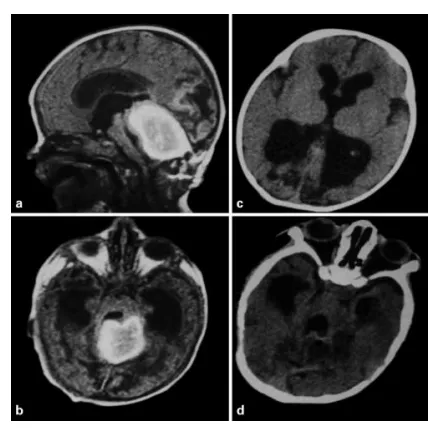
图2.a, b. 一名25天龄婴儿的矢状位及轴位磁共振T1加权像。该患儿因突发呕吐、呼吸困难及进行性意识障碍前来就诊。影像学显示一巨大血肿,累及整个小脑蚓部,伴有脑干移位及继发性急性脑积水。手术过程中未发现异常的动脉或静脉血管,提示诊断为破裂的海绵状血管瘤。c, d. 术后CT扫描显示血肿已被完全清除,相关的脑积水情况亦得到改善。3年后的远期随访结局令人满意,仅遗留轻微的共济失调症状。
产前超声检查可依据解剖定位为诊断提供线索。出生后进行的CT扫描能够进一步明确血肿范围,若存在钙化亦可显示;然而,增强CT扫描通常难以清晰显示扩张的供血动脉及引流静脉。磁共振成像同样能够明确出血的性质及受累血管情况,但病灶的大小以及供血、引流血管在急性期患者中可能显示不清,尤其是在发生广泛出血的情况下。
选择性颈动脉及椎动脉造影目前仍然是评估血管畸形血管构筑情况的金标准;通过减影和放大技术,可以明确供血动脉的具体数量、位置以及静脉引流系统的状况。患有动静脉畸形的新生儿和婴儿,其危重病情常常需要紧急处理。既往观点认为,表现为充血性心力衰竭的患儿预后极差。
现代重症监护医学与治疗技术的进步,实质上已改善了此类患儿的近期与远期疗效。对于大体积血肿,紧急手术清除是必要的;预后状况主要取决于出血的具体部位、波及范围以及术前神经功能状态。值得关注的是,即便对于术前神经功能状态极差的患儿,婴儿大脑所具有的显著可塑性,仍可能带来意想不到的术后功能恢复。


案例来源:INC国际儿童脑瘤领域专家、世界小儿神经系统专业杂志《Child´s Nervous System》现任主编Concezio Di Rocco教授等人于2002年发表的一则案例研究《Two newborn children with large hemorrhages from arteriovenous malformations》。
- 所属栏目:脑血管瘤
- 如想转载“与时间赛跑:新生儿颅内血管畸形破裂的急诊手术决策与处理”请务必注明来源和链接。
- 网址:https://www.incsg.com/naoxueguanliu/7780.html
- 更新时间:2026-03-14 09:49:40


