脑子里的2个瘤,令他不敢咳嗽:动脉瘤多为先天性吗?
发布时间:2026-03-15 10:45:01 | 阅读:次| 关键词:脑子里的2个瘤,令他不敢咳嗽:动脉瘤多为先天性吗?
- [案例]巨大斜坡脊索瘤伴广泛骨侵蚀:双镜联合技术实现安全全
- [案例]脑干间变型室管膜瘤德国手术全切案例
- [案例]5次脑干海绵状血管瘤出血终于全切治愈
- [案例]“你这不像是做了开颅手术吧?”我36岁,大脑4.5cm脑膜瘤
- [案例]儿子中考前夕突发脑出血,医生评估令我心如寒冰
- [案例]斜坡脊索瘤是绝症吗?年轻女孩少见恶性脑瘤,INC国际教
初中生小佳原本身体健康,然而自两个月前开始,他反复出现“偏头痛”症状。在母亲陪同下,小佳前往医院就诊,医生为其开具了治疗偏头痛的药物,服药后头痛症状确实得到缓解。数周后,头痛再次剧烈发作,经详细检查最终明确真实病因——其颅内同时存在两个动脉瘤。这一诊断结果令小佳感到“头重脚轻”,甚至不敢用力咳嗽……
双动脉瘤共存:一次手术能否解决?
小佳的病史始于两个月前,当时主要表现为间歇性头痛。三周前,因突发剧烈头痛前往医院,同时伴有激越(精神科临床综合征,可见于精神分裂症、双相情感障碍或器质性疾病等跨学科疾病中)及定向障碍,但当时被诊断为偏头痛,服药后有所好转。直至此次就诊,头痛再次发作,并新增畏光、畏声症状。
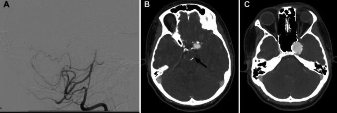
本次影像学检查揭示了病因:小佳左侧颈内动脉海绵窦段存在一个16.9 × 25.9 × 20.5 mm的巨大动脉瘤,伴有蝶骨重塑。进一步仔细阅片发现,基底动脉顶端还存在另一个巨大的双叶型动脉瘤,瘤内可见附壁血栓。
尽管小佳尚未发生蛛网膜下腔出血,但鉴于手术难度极高,接诊医生建议其家属寻求其他医疗中心的帮助。经过多方辗转,小佳最终来到William T. Couldwell教授所在的医院。

Couldwell教授建议小佳首先接受椎基底动脉球囊闭塞试验。数字减影血管造影显示,基底动脉顶端通畅部分及左侧P1段狭窄处发生了部分重塑。几天后,小佳接受了左枕部开颅手术。在完成颅外-颅内旁路移植术后,Couldwell教授又为其施行了硬脑膜-软脑膜血管融合术,旨在重建左侧大脑后动脉区域血供,并降低对椎基底动脉循环的依赖。
手术过程顺利,术后小佳继续服用阿司匹林。三个月后复查影像显示,基底动脉顶端动脉瘤已完全闭塞并形成血栓,至左侧大脑后动脉区域的颅外-颅内旁路保持通畅。

为处理左侧颈内动脉海绵窦段的另一个动脉瘤,六个月后小佳再次接受数字减影血管造影检查,并接受了Pipeline血流导向装置置入及左侧颈内动脉巨大动脉瘤弹簧圈栓塞术。至此,小佳的两个动脉瘤均完全消失,术后恢复良好,未出现任何并发症或神经功能缺损。


儿童颅内动脉瘤:病因多源于先天因素
儿童颅内动脉瘤属于一种复杂的颅内血管疾病,指儿童脑动脉壁的异常膨出,形成类似肿瘤的结构。需要明确的是,它并非真正的肿瘤,而是一种血管病变。
若未能获得及时诊断与治疗,可能导致脑出血或蛛网膜下腔出血,这属于危及生命的紧急状况。
儿童颅内动脉瘤的病因与成人存在显著差异。成人颅内动脉瘤多为后天获得性因素所致,例如血管病变、酗酒、吸烟、高血压、高血脂、高胆固醇饮食及口服避孕药等。
然而,儿童颅内动脉瘤则多与先天性因素相关。
儿童颅内动脉瘤大多与出生时的血管发育缺陷有关,包括动脉壁中层平滑肌不足、弹力纤维减少或排列紊乱等。
这些先天性的薄弱点使得动脉壁在承受血流压力时变得脆弱,从而导致血管膨出形成动脉瘤。
当然,也存在部分患儿与后天因素有关,例如感染或外伤。感染可能导致血管壁损伤,而外伤则可能因直接或间接的暴力作用导致脑动脉瘤形成。
治疗方法:核心在于预防破裂出血
儿童颅内动脉瘤的治疗方案取决于动脉瘤的大小、位置、形态以及患儿的整体健康状况。治疗目标在于防止动脉瘤破裂引发的生命危险,并尽可能减少后续并发症。

观察与监测:
对于小型、无症状的动脉瘤,医生可能建议定期监测,以观察动脉瘤的大小和形态是否发生变化。该方法适用于尚未达到手术指征的患者。
药物治疗:
药物治疗可用于控制血压并减轻心脏负荷,以降低动脉瘤破裂风险。抗凝药物和抗血小板药物也可能用于减少血液凝固,降低破裂风险。
介入手术:
介入手术是一种通过导管进入血管内,使用弹簧圈、支架或其他材料封堵动脉瘤的手术方法。该方法通常适用于小型或位于手术难以到达部位的动脉瘤。
外科手术:
外科手术是治疗儿童脑动脉瘤的传统方法,包括开颅手术和动脉瘤夹闭术。手术过程中,医生会暴露动脉瘤并使用专用动脉瘤夹将其夹闭。该方法通常用于大型或已破裂的动脉瘤。
血管内介入治疗:
血管内介入是一种经血管进行的手术,使用导管和微型手术器械治疗动脉瘤。该方法包括使用弹簧圈、液体栓塞剂或支架来封闭动脉瘤。
脑室引流与减压:
若动脉瘤导致脑积水,可能需要进行脑室引流和减压手术,以缓解颅内压力。
在选择治疗方案时,医生会综合考虑动脉瘤的特性、患者年龄、健康状况及家庭意愿。治疗后,患者需要定期随访,以便监测动脉瘤状态并评估治疗效果。对于儿童脑动脉瘤患者,医生还会特别关注是否存在其他血管异常,并监测是否有新动脉瘤形成。
- 所属栏目:脑血管瘤
- 如想转载“脑子里的2个瘤,令他不敢咳嗽:动脉瘤多为先天性吗?”请务必注明来源和链接。
- 网址:https://www.incsg.com/naoxueguanliu/7782.html
- 更新时间:2026-03-15 10:40:10


