33岁壮汉发热入院,竟查出致命脑动脉瘤,专家巧用“双搭桥”逆转生死
发布时间:2026-03-05 11:41:55 | 阅读:次| 关键词:33岁壮汉发热入院,竟查出致命脑动脉瘤,专家巧用“双搭桥”逆转生死
- [案例]脑干开颅术后多次跑马拉松,被指对身体不负责,医生:
- [案例][脑干胶质瘤案例]5岁宝宝脑干延髓区占位病变案例
- [案例]年纪大了,听力下降很正常?小心脑干被听神经瘤挤压变
- [案例]病房 “最重” 脑干胶质瘤患儿,开颅术后快速恢复
- [案例]“Debuff”国际难度手术-小小鼻孔入路竟取出较大脊索瘤!
- [案例]脑干-中脑顶盖胶质瘤患者记实录:再见了“肿瘤君”,我
感染性心内膜炎可作为不明原因发热的潜在病因,属于心脏内膜表面的微生物感染,通常伴随赘生物形成。此外,感染性颅内动脉瘤(IIAs)与真菌性动脉瘤均为感染性心内膜炎的神经系统并发症,该并发症与感染性栓子自心脏脱落存在密切关联。
颅内破裂性真菌性动脉瘤具有较高的发病率与死亡率,且因血管壁脆弱而对外科手术治疗构成独特挑战。对于无法通过载瘤动脉闭塞进行治疗、且位置更靠近近端的病变,需采用保留血流的策略。
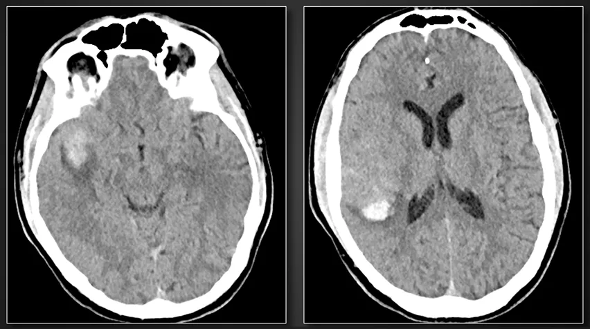
一名33岁男性患者,既往身体健康,因出现发热、寒战及外周脓毒性栓子而就诊,检查发现存在感染性心脏瓣膜赘生物。患者主要临床表现为头痛与左上肢无力;头颅影像学检查揭示一处形态不规则、呈分叶状的7×8×9mm大脑中动脉真菌性动脉瘤,该动脉瘤累及多个M3分支,并伴有蛛网膜下腔出血。同时,影像学还可见由脓毒性栓子导致的多灶性、小灶性脑实质内出血。医疗团队建议行动脉瘤夹闭截瘤联合血运重建术。
术前影像


手术实施右额颞开颅,术中注意保护颞浅动脉。完成硬膜外暴露后,于卵圆孔外侧的中颅窝底钻一骨孔。随后解剖外侧裂,分离出其中较粗大的M3分支。通过内镜技术获取大隐静脉移植物,将其一端与颈外动脉进行吻合,另一端则经中颅窝底骨孔形成的隧道穿行,与较粗大的M3分支行端侧吻合。动脉瘤被成功夹闭,受累的较细小M3分支被离断,并与颞浅动脉行端端吻合。术中吲哚菁绿荧光血管造影证实两处搭桥血管均保持通畅。术后患者接受了规范的抗生素治疗及二尖瓣置换术。
在术后1个月及2年的随访评估中,患者神经功能保持完好。
术后影像



结论
尽管手术技术要求较高,但对破裂性真菌性脑动脉瘤实施个体化血运重建联合夹闭术,仍是处理此类复杂病变的一种可行治疗方案。
案例来源
本案例来源于INC国际神经外科医生集团旗下组织世界神经外科顾问团(WANG)成员、世界神经外科学院前院长William T. Couldwell教授发表的研究《Double bypass for mycotic middle cerebral artery aneurysm》。


- 所属栏目:脑血管瘤
- 如想转载“33岁壮汉发热入院,竟查出致命脑动脉瘤,专家巧用“双搭桥”逆转生死”请务必注明来源和链接。
- 网址:https://www.incsg.com/naoxueguanliu/7714.html
- 更新时间:2026-03-05 11:32:45


