洗脸痛、刷牙痛,脸痛到无法吃饭。70岁阿姨的"脸痛"之谜竟是脑瘤导致
发布时间:2026-03-07 22:33:50 | 阅读:次| 关键词:洗脸痛、刷牙痛,脸痛到无法吃饭。70岁阿姨的"脸痛"之谜竟是脑瘤导致
- [案例]“想成为像Rutka教授一样的好医生!”曾被他救下的脑瘤女
- [案例]【INC脑博士科普十五】骶骨脊索瘤患者8大必知问题
- [案例]INC巴教授手术“超感之手”,触一触就知肿瘤在哪?
- [案例]9岁男孩疑似胶质瘤,线下一对一咨询巴教授结果如何?
- [案例]25岁罹患甲状腺癌,35岁脑现钙化灶!十年免疫系统异常攻
- [案例]备孕时脑出血,别说要宝宝,我甚至差点再也站不起来!
三叉神经痛常被称为“天下第一痛”,此称谓毫不夸张。对于多数人群而言,三叉神经痛是一个相对陌生的疾病名称。然而,对于亲身经历过的患者来说,其所引发的疼痛足以令人产生畏惧。轻微的面部触碰、微风拂过,甚至日常的言语、饮水或点头动作,均可能诱发痉挛性的剧烈疼痛,其性质可表现为电击样或撕裂样。
单侧面部疼痛,尤其在进食、洗脸或刷牙时出现的阵发性剧痛,通常应首先考虑三叉神经痛的可能性。作为最为常见的脑神经疾患,三叉神经痛表现为面部三叉神经分布区域内反复发作的阵发性剧烈神经痛。这种疼痛可导致患者因恐惧而不敢擦脸、进食,甚至不敢吞咽口水,对日常生活与工作造成严重影响,故有“天下第一痛”之称。其疼痛性质多样,可为针刺样、刀割样、电击样或烧灼样,且多数存在明确的触发点。疾病初期,疼痛发作时间短暂,起止突然;但随着病情进展,疼痛持续时间会逐步延长,且缓解变得困难。
三叉神经痛依据发病原因不同,可分为原发性与继发性两类。原发性三叉神经痛多由血管压迫神经所致,目前有效的治疗方法是微血管减压术。而继发性三叉神经痛则常由颅内肿瘤等因素引起,对应的治疗方式为肿瘤切除术。神经鞘瘤、脑膜瘤、胆脂瘤等颅内占位性病变均可能引发三叉神经痛,不同位置的肿瘤其手术难度也存在差异。下文将介绍一例70岁岩斜区脑膜瘤患者成功接受手术的案例,主刀医生为国际颅底手术专家、WFNS颅底手术委员会前主席INC福洛里希教授。该例巨大的肿瘤不仅导致了严重的三叉神经痛,甚至已对脑干形成压迫,让我们一同了解福教授如何通过手术帮助这位患者成功脱险。
01 70岁女性三叉神经痛竟是岩斜区脑膜瘤 INC福教授安全手术
70岁的患者苏珊,在进食、洗脸、刷牙时面部会出现阵发性剧烈疼痛,难以忍受。前往当地医院就诊后,被考虑为三叉神经痛并接受了相应治疗。然而,面部疼痛并未得到缓解,症状反而进一步加重,甚至出现了步态紊乱,严重影响了她的正常生活。“难道不是三叉神经痛?”带着这个疑问,苏珊最终转诊至福教授所在的医院寻求进一步诊治。福教授对苏珊进行了详细的问诊、体格检查,并完善了常规检查与影像学检查。其中,核磁共振影像检查发现其颅内存在肿瘤,由此可以判断引发她面部疼痛的“始作俑者”是颅内肿瘤压迫所致。肿瘤位于右侧桥小脑角区,该区域位于脑干与小脑之间,内有重要的血管与颅神经穿行,肿瘤体积巨大。巨大的右侧岩斜区脑膜瘤已经对脑干造成严重压迫,并广泛累及幕上结构,导致了梗阻性脑积水,必须进行手术切除。

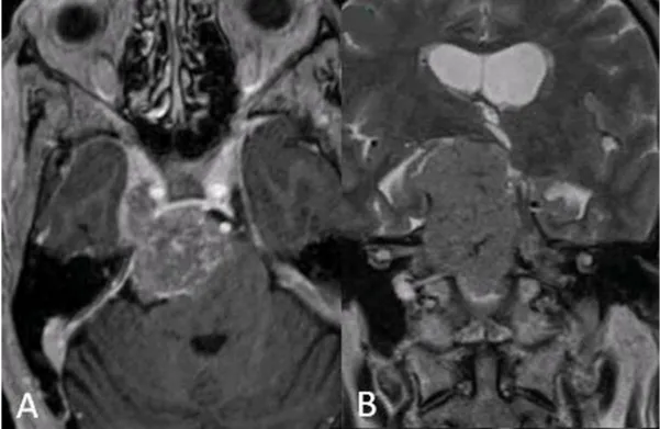
术前:A轴向增强和B矢状t2加权MRI显示右侧大岩斜坡脑膜瘤伴幕上成分,脑干受压,累及Meckel洞和右侧海绵窦。
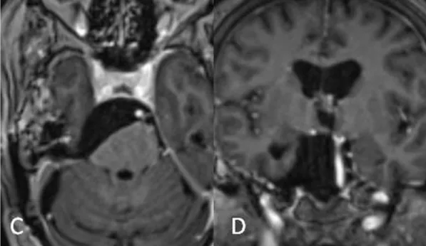
经过周密的术前准备,福教授手术团队为患者实施了颅内肿瘤切除术。手术采用mini-CTPA入路切除肿瘤。在脑干上的附着残体进行了近全切除(NTR)(图C, D)。术后患者未出现神经功能缺损。

术后:C术后轴位和D位冠状位磁共振增强图像显示肿瘤大体切除,神经血管结构有效减压
02 岩斜区肿瘤术后致残率高?有办法安全切除吗? 岩斜区解剖关系

岩斜坡区占位性病变是颅底手术中最为复杂的疾病类别之一,因其与关键的神经血管结构及脑干关系密切。岩斜区位于颞骨岩部背面与枕骨斜坡部的岩斜裂汇合处,范围从岩骨尖延伸至颈静脉孔。其内侧至斜坡中线,外侧至第Ⅴ、Ⅶ和Ⅷ对脑神经,上缘为鞍背,下缘为颈静脉孔水平;下方为枕骨大孔区。岩斜区肿瘤位置深在,毗邻重要解剖结构,实现肿瘤全切除难度巨大,且术后存在较高的致残率与复发率,一直是神经外科手术治疗中的难点。近年来,随着显微外科技术的提高以及各种颅底手术入路的尝试与改进,手术治疗效果已得到显著改善。
脑膜瘤的发病率为2/10万,在颅内肿瘤中发病率仅次于胶质瘤,位居第二位,它是一种起源于蛛网膜内皮细胞的颅内肿瘤。岩斜坡区脑膜瘤在颅内原发性脑膜瘤中所占比例较低,约占颅内脑膜瘤的2%。尽管在过去的几十年里,岩斜区脑膜瘤的外科手术效果在不断进步,治疗目标已从最初的重视肿瘤切除、保住生命,发展到如今越来越重视患者的整体生活质量,但岩斜区脑膜瘤仍然是神经外科医生面临的一项巨大挑战。颅神经、基底动脉(BA)等主要血管及其穿支、以及与脑干的相邻和粘连关系,共同导致了手术的高风险性。关于岩斜区脑膜瘤的治疗,目前仍存在许多争议。特别是,手术入路的选择、放疗的作用、无症状患者的处理以及治疗时机的选择等等。
INC旗下世界神经外科顾问团(WANG)的专家成员Sebastien Froelich教授、Henry W.S. Schroeder教授、Volker Seifert教授等共同参与了治疗共识的解读,他们正式讨论了关于岩斜区脑膜瘤的一系列问题,并提出了对这些岩斜区脑膜瘤的管理建议,可供神经外科医生与患者学习和参考。

关于岩斜区脑膜瘤,Froelich教授曾受邀参加多个国家及地区的神经外科颅底会议,在会议及相关课程中他多次分享关于岩斜区脑膜瘤的治疗策略,从手术指征、手术要点、策略选择及手术入路选择等方面均进行了详细的解读。大型或巨大岩斜区脑膜瘤的手术是一项挑战巨大的任务,可能对患者的生活产生永久性影响,涉及身体、情感、社会生活和工作活动等多个领域。在这种情况下,患者应谨慎选择主刀医生并详细咨询治疗细节,尤其是可能出现的并发症及其预计的解决方法,以及手术对生活质量的影响必须被重视。患者积极参与决策过程是改善岩斜区脑膜瘤护理的关键因素。
- 所属栏目:脑膜瘤
- 如想转载“洗脸痛、刷牙痛,脸痛到无法吃饭。70岁阿姨的"脸痛"之谜竟是脑瘤导致”请务必注明来源和链接。
- 网址:https://www.incsg.com/naomoliu/7733.html
- 更新时间:2026-03-07 22:29:16


