颅底脑膜瘤血供丰富、手术风险高怎么办?术前栓塞与多技术融合保障手术安全
发布时间:2025-11-16 09:10:35 | 阅读:次| 关键词:颅底脑膜瘤血供丰富、手术风险高怎么办?术前栓塞与多技术融合保障手术安全
- [案例]医生都说脑干手术风险太高,22岁的我为什么坚持要开这一
- [案例]1年生存期的恶性胶质瘤,他如何做到4年未复发且独立生活
- [案例]1岁宝宝脑干胶质瘤惊险求生!3年无复发,国际大咖如何突
- [案例]脑干出血被判生存期仅剩1月?延髓海绵状血管瘤术后五年
- [案例]听神经瘤复发的可能性大吗?7次手术7次复发的他如何摆脱
- [案例]突发性后颈剧痛导致活动与吞咽障碍:一位患者的诊疗经
脑膜瘤属于富血供肿瘤类型,血供可同时来源于颅外和颅内循环系统。手术切除可能导致显著出血,出血量范围在200毫升至2.2升之间。栓塞术被提出作为有效的术前辅助治疗手段,旨在降低手术难度并减少并发症发生率。
术中早期离断肿瘤血供是手术的关键目标。凸面脑膜瘤的血供主要来自硬脑膜,而颅底脑膜瘤则具有位置深在、供血血管难以显露的特征。通常需要在切除大部分病灶后才能辨识其主要供血血管蒂。栓塞术可通过预处理这些难及部位的血管蒂,从而辅助手术操作并减少术中失血量。
由于颅底脑膜瘤血供系统的复杂性,神经外科医生必须深入理解颅底病变的供血血管分布区域,并全面评估颅底血管栓塞的结局,以判断该技术是否能真正使患者获益或可能增加总体风险。
病例分析:脑膜瘤压迫脑干的治疗策略
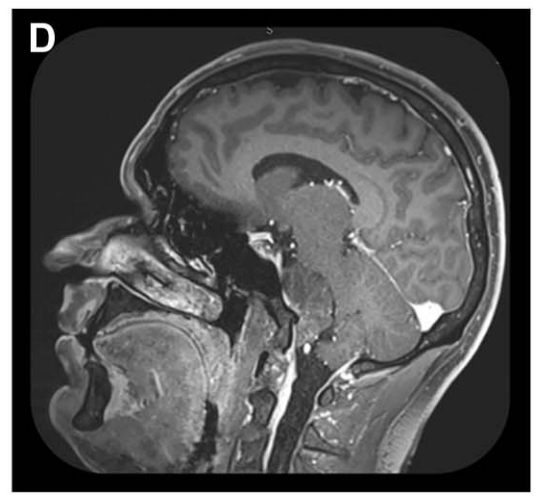
33岁男性患者诺亚持续感觉后脑勺隐痛,检查发现颅底岩斜区存在29×38×38毫米脑膜瘤。该病变挤压脑桥区域,但未引起继发性脑积水,仅表现为普通头痛症状,临床表现具有隐匿性。

诺亚术前影像显示左侧岩斜区脑膜瘤,呈不均匀强化特征。


MRI检查显示诺亚术前栓塞后3D-CISS序列多平面重建MRI,可见脑膜瘤与神经血管结构存在复杂关系。
福教授选择经鼻内镜手术方案,实施分阶段治疗:首先通过血管栓塞术切断肿瘤血供,再采用先进单鼻孔内镜技术进行精准切除。
由于该肿瘤血供丰富,福教授在手术前进行DSA检查,显示其主要供血动脉为咽升动脉及脑膜垂体干。为降低后组颅神经损伤风险,选用弹簧圈栓塞技术。栓塞可减少术中出血、软化肿瘤质地,便于手术切除。

诺亚术前栓塞咽升动脉及脑膜垂体干。

矢状位MRI显示肿瘤经栓塞后血供部分阻断(部分去血管化)。
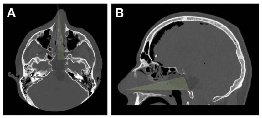
最终,在INC福教授制定的个体化手术策略下,从术前栓塞、入路选择到手术实施,无需开颅操作,仅通过右侧单鼻孔入路,使用内镜技术成功全切肿瘤。术后脑干复位良好,未出现脑脊液漏及新发神经功能障碍,术后第一天患者可下床活动,术后一周顺利出院。关闭术腔时,采用腹部脂肪填塞硬膜内腔及蝶窦,并缝合鼻黏膜,表面覆盖硅胶片保持湿润;硅胶支架留置4周后取出。

A、B:术后CT轴位及矢状位显示,绿色标示单鼻孔入路,鼻腔完整性得以保持;鼻中隔、上颌窦、后组筛窦及左侧蝶窦间隔均完整。

栓塞适应证分析
是否实施栓塞治疗主要取决于神经外科医生的个人倾向;但以下几项特征常与栓塞决策相关:脑膜瘤体积巨大、血供异常丰富、动脉供血来源术中难以显露以及主要血供来自颈外动脉。Latchaw总结术前栓塞可能获益的情况包括:供血血管解剖困难、瘤周水肿导致手术层面不清、病变累及硬脑膜窦/头皮/颅骨、以及病变毗邻重要功能区。Waldron等提出外周血管疾病和卒中史等会增加并发症风险的排除标准。
脑膜瘤血供系统详解
1、前中颅底血供特征
前颅底脑膜瘤的血供来源呈现多样性和复杂性。筛前动脉和/或筛后动脉仅作为不到13%的颅底脑膜瘤主要供血动脉。嗅沟和蝶骨平台脑膜瘤的血供可来自硬脑膜支、穿骨支甚至软脑膜支。约17%的蝶骨嵴脑膜瘤由脑膜中动脉供血。前颅底肿瘤也可能接受眶上裂区域动脉供血,如脑膜中动脉前支、眼动脉和泪腺动脉的脑膜返支、颈内动脉脑膜支、脑膜垂体干幕缘支、下外侧干前支以及上颌内动脉终末支。这种侧支循环共存现象导致脑膜瘤常呈现高血供特征(图2)。图示案例:一名67岁男性患者,确诊为大型右侧蝶骨嵴脑膜瘤,影像学显示肿瘤血供同时来源于颈内动脉(ICA)和颈外动脉(ECA)分支系统。

2、后颅底血供特点
岩斜区脑膜瘤起源于斜坡上2/3区域,其解剖位置导致手术切除难度增大。来自手术入路对侧的供血动脉使得术中早期离断肿瘤血供极为困难。虽然这使得术前栓塞颇具吸引力,但颈内动脉与颈外动脉的双重供血会阻碍安全栓塞实施。颈内动脉发出的供血支纤细迂曲,常以锐角发自脑膜垂体干和下外侧干。栓塞术可能引起颅神经麻痹[8]和尿崩症等并发症。这些分支存在大量跨中线吻合通道,对侧颈内动脉造影可见明显肿瘤染色。颈外动脉供血支多来自脑膜中动脉、上颌内动脉和咽升动脉。安全栓塞通常难以实现完全性,因追求完全栓塞可能增加严重并发症风险。
枕骨大孔脑膜瘤位于斜坡下1/3前方区域。椎基底动脉系统及低位颅神经的受累增加了切除复杂度。硬脑膜血供来源错综复杂,包括椎动脉、咽升动脉、枕动脉、小脑后下动脉和脊髓后动脉的脑膜支,这种特性使得术前栓塞在颅神经麻痹和非靶向栓塞方面风险显著。
颅底脑膜瘤的解剖和血供特征使术前栓塞成为肿瘤切除的有吸引力辅助手段;然而,其复杂多样的动脉供应使得安全栓塞在技术上具有挑战性。因此,彻底切除肿瘤的需要必须与更具侵袭性方法的风险相平衡。
- 所属栏目:脑膜瘤
- 如想转载“颅底脑膜瘤血供丰富、手术风险高怎么办?术前栓塞与多技术融合保障手术安全”请务必注明来源和链接。
- 网址:https://www.incsg.com/naomoliu/7055.html
- 更新时间:2025-11-16 09:02:21


