垂体瘤会长大吗?从“等一等”到“尽快切”,这几种情况需尽快手术!
发布时间:2026-02-24 11:47:14 | 阅读:次| 关键词:垂体瘤会长大吗?从“等一等”到“尽快切”,这几种情况需尽快手术!
- [案例]摆脱脑瘤阴影:2岁幼儿脑干CCM全切术后迎新生
- [案例]“虽小,却危及性命” 脑干海绵状血管瘤出血成功手术重
- [案例]复发后胶质瘤从二级恶化为三级,选择再次手术的他终于
- [案例]室管膜瘤5年生存率高达84%!多学科综合治疗策略助力患儿
- [案例]脑干胶质瘤保守治疗2年肿瘤压扁大脑,INC国际教授术后恢
- [案例]罹患中脑顶盖肿瘤,被判无法手术的他:“如今我当爸爸
垂体瘤是否存在增大的可能性?在普通人群中,偶然发现的垂体瘤属于较为常见的现象。随着现代影像学技术的普及应用,临床医师接诊此类意外发现的垂体病变的情况日益增多。
首要步骤在于通过详尽的病史采集、体格检查以及全套激素水平测定,以排除功能性垂体腺瘤的可能性。
其次,必须对病变是否产生显著的占位效应进行评估:若肿瘤毗邻视路结构,则应进行内分泌功能评估(以排查垂体前叶功能减退)及正规的视野检查(以排查视功能缺损)。
尽管此类病变的自然病程尚未被完全阐明,但大多数偶然发现的垂体瘤可采取保守治疗策略。密切的临床与影像学随访至关重要,因为部分病变(主要为偶然发现的垂体大腺瘤)存在潜在的增大风险,并可能诱发垂体卒中。
依据已发表的循证医学指南,总结的手术指征主要包括:
-
功能性垂体腺瘤(泌乳素瘤除外);
-
导致视野缺损的病变;
-
紧邻视交叉的大型占位性病变;
-
继发垂体前叶功能减退的大腺瘤;
-
随访证实体积持续增大的病变。
垂体瘤一旦出现生长,其治疗难度亦会相应增加——部分垂体瘤会呈现缓慢但持续的生长态势。当肿瘤增大至一定程度(通常指大腺瘤,直径大于1厘米),便可能压迫周围的正常垂体组织以及重要的邻近解剖结构,例如:
视神经与视交叉
可导致视力下降、视野缺损(最为常见的表现为双侧颞侧偏盲,即无法看清两侧的物体)。
正常垂体组织
可导致垂体功能减退,引发乏力、畏寒、食欲不振、性欲减退、月经紊乱或不孕等症状。
其他脑组织
若肿瘤继续向上方生长,可能压迫脑室系统,引发脑积水;向两侧生长则可能侵犯海绵窦结构。
案例一:41岁女性巨大垂体瘤术后复发解析
一名41岁女性患者,检查发现巨大无功能性垂体腺瘤,曾于外院接受显微镜下经蝶窦入路肿瘤切除术。术后,为治疗右侧海绵窦内的小范围残余肿瘤进展,她接受了总剂量为5040 Gy的分割放疗。
海绵窦区域,Parkinson曾称之为蝶鞍外侧腔隙,是位于蝶鞍两侧、由两层硬脑膜包绕的解剖区域。
完成放疗一年后,患者出现右侧动眼神经麻痹症状,磁共振成像显示右侧海绵窦内肿瘤复发并进展。
本次手术由INC福洛里希教授主刀,采用标准经鼻经蝶窦入路内镜手术,并通过移除海绵窦段颈内动脉前部表面的骨质以扩大外侧术野。

内镜经鼻手术过程
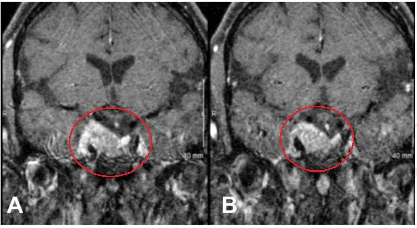
▼术前影像显示肿瘤持续生长并侵入海绵窦

术中通过超声检查定位内眦动脉,暴露其内侧及鞍外侧的硬脑膜,以进入内侧通道。质地柔软的复发肿瘤被成功移除。
海绵窦段的颈内动脉清晰可见,肿瘤已发生骨质化。海绵窦的内侧壁被暴露,镜下观察显示其完整,与鞍区无明显联系;对鞍区中线进行探查,未见肿瘤组织。动眼神经沿颈内动脉向后下方走行的路径清晰可见。
术后磁共振成像证实肿瘤实现大体全切除。
▼术后磁共振显示患者动眼神经麻痹症状消退,影像学随访至少3年未见肿瘤复发或进展。

术后,患者的动眼神经麻痹得到缓解,恢复过程顺利,并继续使用与术前相同的药物(包括左甲状腺素和低剂量氢化可的松)。病理学检查证实为垂体腺瘤,突触素呈弥漫性阳性,黄体生成素免疫染色弱阳性,未见恶性迹象。
三年后的随访影像显示肿瘤未再生长。
案例二:57岁女性巨大垂体瘤伴多重症状解析
一名57岁女性患者,于2个月前开始出现认知能力问题并进行性下降,伴有头痛、短期内体重骤增100磅、全身虚弱等症状,曾于急诊室接受检查。本次手术由INC的Couldwell教授主刀。

分次联合手术策略
▼术前影像显示肿瘤体积巨大

鉴于肿瘤体积巨大,手术策略采取了分次联合手术入路。
治疗第一部分:此患者属于明确的非功能性垂体腺瘤,首先采用经蝶窦切除术。
▼术后影像显示肿瘤体积明显缩小

治疗第二部分:采用右额开颅术经皮质入路治疗颅内残余肿瘤。
▼术后影像

垂体瘤早诊早治重要性解析
垂体瘤手术是其主要治疗方法之一,尤其在遵循“早发现、早治疗”的原则下,可有效解除肿瘤压迫、控制激素异常分泌,并争取获得良好的长期预后。
对于药物治疗效果不佳、副作用明显或对药物不敏感的泌乳素瘤,以及其他多数功能性垂体腺瘤(如生长激素瘤、促肾上腺皮质激素瘤等),手术往往是首选且有效的治疗方案。
目前,垂体瘤手术主要分为经颅手术和经鼻蝶手术两种路径。随着技术发展,神经内镜下经鼻蝶手术已成为大多数垂体瘤的首选术式,可在保护正常神经血管结构的前提下,实现肿瘤的最大程度安全切除,具有创伤小、恢复快、并发症少的优势。
总之,在符合手术指征的情况下,积极且规范的手术治疗是实现肿瘤控制、功能保护和生活质量改善的关键环节。
- 所属栏目:脑垂体瘤
- 如想转载“垂体瘤会长大吗?从“等一等”到“尽快切”,这几种情况需尽快手术!”请务必注明来源和链接。
- 网址:https://www.incsg.com/naochuitiliu/7659.html
- 更新时间:2026-02-24 11:40:21


