同为垂体瘤,为何有人吃药就能消失,有人却需要手术切除?
发布时间:2026-03-01 10:00:26 | 阅读:次| 关键词:同为垂体瘤,为何有人吃药就能消失,有人却需要手术切除?
- [案例]害怕脑干胶质瘤残余复发,想二次手术却遭国际大咖“婉
- [案例]当颅底肿瘤威胁司机的“双眼”,术者如何打赢这场神经
- [案例]较大脑膜瘤患者感谢INC和巴特朗菲教授
- [案例]颅底肿瘤手术风险高?看国际大咖如何用开颅 + 内镜 “立
- [案例]脑干海绵状血管瘤误诊为胶质瘤
- [案例]“我们就是冲着巴教授来的”——术后三月追踪:复杂型
作为最常见的功能性垂体瘤类型之一,泌乳素瘤在女性群体中尤为多见。泌乳素瘤是一种起源于垂体前叶的良性肿瘤,其主要病理特征为过度分泌催乳素(PRL),进而引发内分泌功能紊乱。在女性患者中,典型临床表现包括闭经、月经不调等。部分患者还可因肿瘤占位效应而出现头痛、视力下降等症状。随着肿瘤体积的持续增大,可能压迫周围脑组织,导致头痛、视野缺损等神经压迫症状,严重时甚至可能引发垂体功能减退,具体表现为甲状腺功能低下、肾上腺功能不足等。
一般而言,药物治疗能够有效降低患者血清催乳素水平、缩小肿瘤体积并改善临床症状。约80%-90%的患者可通过药物实现病情的良好控制。然而,仍有一部分患者因药物不耐受、疗效欠佳或肿瘤压迫神经(如导致视力急剧下降)等原因,最终需要接受经鼻内镜手术治疗。
案例一:药物治疗八年,肿瘤完全消失
13岁的小A近期出现视力进行性下降,就医检查后发现其颅内存在一个巨大的占位性病变——头颅磁共振成像(MRI)显示为一个巨大的垂体瘤。该肿瘤从颅底一直向上延伸至脑际,影像学表现令人担忧。在施罗德教授的建议下,小A接受了进一步的激素水平检测,结果显示其泌乳素水平显著升高,最终被明确诊断为泌乳素瘤。

面对这一诊断,小A的家人焦急万分,担忧是否需要接受开颅手术。然而,施罗德教授提出了不同的治疗思路:“鉴于目前肿瘤体积过大,直接手术风险较高。孩子可以先尝试药物治疗,观察疗效后再决定后续方案。”这一建议让小A一家人稍感宽慰,他们随即同意了该治疗方案。于是,在施罗德教授的密切随访下,小A开始了多巴胺激动剂(Pravidel)的药物治疗。
幸运的是,该治疗方案对小A产生了显著效果。药物治疗一段时间后,肿瘤体积迅速缩小。一年后的复查磁共振显示,肿瘤已大幅缩小,小A的视力障碍也完全消失。最终,经过长达八年的药物治疗后,复查证实小A颅内的肿瘤已完全消失,且其他相关激素水平均未受到不良影响。

案例二:药物治疗无效,内镜手术全切肿瘤
与小A的治疗经历不同,另一位患者小B则没有那么幸运。因闭经症状就诊的小B同样被诊断为泌乳素瘤,影像学检查发现肿瘤已将正常的垂体组织向左侧推移。施罗德教授首先建议小B接受多巴胺激动剂(Pravidel)治疗。然而,治疗后的随访显示,肿瘤不仅没有缩小,体积反而持续增大。
面对肿瘤进展的情况,小B一家无法再安心等待。他们绝不能坐视肿瘤继续生长并威胁女儿的生命安全。因此,施罗德教授决定调整治疗方案,放弃药物治疗,转为实施经鼻内镜手术。手术过程顺利,成功实现了泌乳素瘤的完全切除。术后一年的随访复查证实,肿瘤已被完整切除,小B的垂体功能维持正常。内分泌检查显示其泌乳素水平已恢复至正常范围,其余激素指标也无异常,无需进行外源性激素补充治疗。

泌乳素瘤临床治疗策略指南
垂体泌乳素腺瘤的治疗核心目标在于降低血清PRL水平,以期恢复患者的性腺轴正常功能,促使肿瘤缩小甚至消失,并预防其复发。目前,垂体泌乳素腺瘤的治疗手段主要包括药物治疗、手术治疗以及放射治疗。
多巴胺受体激动剂是治疗垂体泌乳素腺瘤的首选药物,常用药物包括溴隐亭和卡麦角林。这类药物可有效降低血清PRL水平、缩小腺瘤体积并帮助恢复性腺轴功能。
手术治疗主要包括经鼻蝶入路和开颅手术两种方式。目前,神经内镜下经鼻蝶入路已成为绝大多数垂体瘤患者外科治疗的主流术式。
对于一些具有激素分泌功能的垂体瘤(例如泌乳素瘤、生长激素瘤等),施罗德教授特别强调了药物治疗的重要性。尤其是使用多巴胺激动剂和生长激素拮抗剂等药物,能够有效控制异常激素水平,缩小肿瘤体积,从而延缓甚至避免手术治疗。

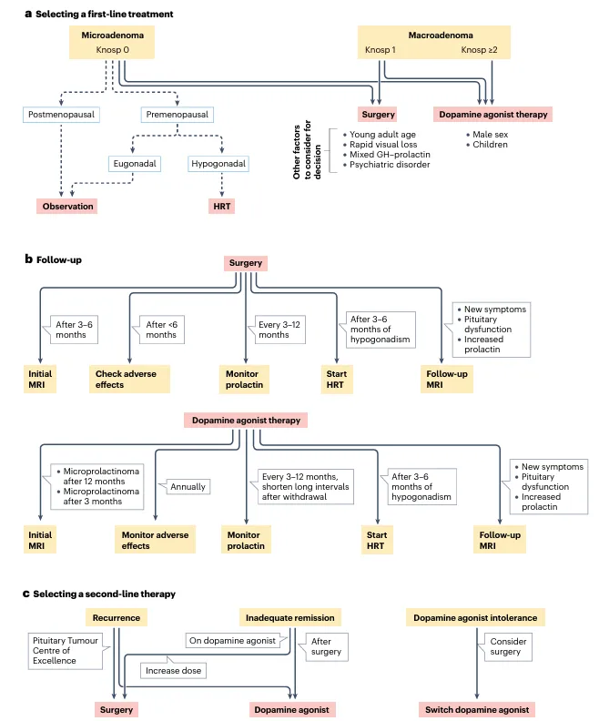
手术治疗决策应综合评估以下多项因素:肿瘤的体积与形态、血清PRL水平、对药物治疗的反应性、患者的全身健康状况、其个人主观意愿以及未来的生育需求。一份由全球36位学者共同撰写的《Diagnosis and management of prolactin-secreting pituitary adenomas: a Pituitary Society international Consensus Statement》(垂体泌乳素腺瘤的诊断和治疗:垂体学会国际共识声明)指出,针对泌乳素瘤的治疗,可根据腺瘤大小、临床因素及患者个人偏好,选择手术或多巴胺激动剂药物治疗。

对于微腺瘤患者,可依据其是否处于绝经期及性腺功能状态(如图中虚线所示),并结合患者对观察等待或激素替代治疗(HRT)的意愿偏好来制定方案。随访期间需重点关注血清泌乳素水平的变化、MRI影像的演变、对HRT的需求、可能出现的并发症或药物不良反应,以及停用多巴胺激动剂的可能性。若出现复发或病情未缓解,应考虑增加多巴胺激动剂剂量或评估手术必要性;若出现药物不耐受,可通过换用其他类型的多巴胺激动剂或考虑手术来解决。对于所有这类患者,建议在垂体肿瘤诊疗中心进行规范化的长期管理。

- 所属栏目:脑垂体瘤
- 如想转载“同为垂体瘤,为何有人吃药就能消失,有人却需要手术切除?”请务必注明来源和链接。
- 网址:https://www.incsg.com/naochuitiliu/7686.html
- 更新时间:2026-03-01 09:55:06


