告别脑脊液漏:3,015例经验验证,个性化颅底重建让垂体瘤经鼻内镜手术更可靠!
发布时间:2026-01-30 15:04:33 | 阅读:次| 关键词:告别脑脊液漏:3,015例经验验证,个性化颅底重建让垂体瘤经鼻内镜手术更可靠!
- [案例]耳鸣1年被误诊为听神经瘤,巴特朗菲教授:“没有肿瘤!
- [案例]11cm巨大脑膜瘤,广泛侵犯窦汇、上矢状窦、横窦、颅骨及
- [案例]15岁少年“学到吐”,核磁惊现巨大肿瘤!医生:是从鼻子
- [案例]再凶险易复发的脑瘤,也怕一个“熬”到底的人,我如何
- [案例]脑MRI如何判断胶质瘤良恶性?临床实例解析影像诊断关键
- [案例]81岁老年人成功挑战高风险脑膜瘤切除术,术后4天出院
垂体神经内分泌肿瘤(PitNETs)在颅内肿瘤中占比约为15%,属于常见的颅内病变类型。这类肿瘤大多为良性,但表现出广泛的生物学和病理学特征谱。除泌乳素腺瘤主要采用多巴胺激动剂药物治疗外,手术切除成为多数垂体腺瘤的一线治疗方案。

经蝶入路作为垂体手术的标准术式,而开颅手术仅适用于经严格筛选的特定病例,如肿瘤向前延伸至额下区、向侧方延伸至颞颞窝或包绕血管的复杂情况。显微手术技术最初由Cushing开创,后经Dott、Guiot和Hardy等学者不断发展,至20世纪90年代末逐渐被内镜技术取代。当前,内镜经鼻蝶入路凭借其在视野质量、肿瘤切除效果、内分泌结局、鼻窦并发症控制及住院时间等方面的优势,已成为全球多家医疗中心的主流术式。
颅底重建技术:决定手术成败的关键环节
尽管垂体瘤手术已进入微创时代,颅底重建质量仍是影响手术效果的核心因素。基于3015例成人垂体腺瘤的研究表明,重建失败的危险因素包括体重指数大于40、鞍底骨质破坏、既往手术次数超过两次、广泛颅底骨质破坏以及既往接受放射治疗。
临床典型案例分析:高难度手术的成功实践
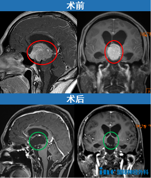
一位35岁男性患者因头痛就诊,伴随出现疲劳、食欲减退、注意力下降及行走不稳等症状。影像学检查显示鞍区及鞍上存在巨大垂体瘤,引发阻塞性脑积水,肿瘤已压迫脑干、第三脑室及中央导水管。面对较高的手术风险,患者积极寻求手术治疗方案。

在INC福洛里希教授主刀下,通过经鼻内镜手术成功切除了这一巨大垂体瘤。术后患者恢复良好,福洛里希教授表示:"这是一次十分具有挑战性的手术,我很高兴为你成功手术!" 针对脑脊液漏这一常见并发症,福洛里希教授指出:"在我们的临床实践中,脊索瘤经鼻内窥镜手术的脑脊液漏发生率传统约为50%,近年来通过技术进步已降至10%左右。"
手术并发症防控与重建策略优化
术后脑脊液漏作为内镜经鼻蝶入路最常见的并发症,往往需要进行二次修复手术,约5%的患者可能继发脑膜炎,延长住院时间。术前规划需制定详细的颅底缺损重建策略,并准确分析脑脊液漏相关危险因素,包括体重指数大于30、多次手术史、肿瘤尺寸、肿瘤延伸范围及侵袭性、既往放疗史等。
《Closure strategy for endoscopic pituitary surgery: Experience from 3015 patients》研究显示,在2006年1月至2022年3月期间,由经验丰富的神经外科团队对3015例成人垂体腺瘤患者实施单鼻孔内镜下经鼻入路手术。其中10.6%(319例)术中出现需要特殊处理的脑脊液漏。重建策略根据术前危险因素个体化制定:对鞍底骨质破坏或体重指数大于40的患者采用Foley球囊导管重建,其他病例则实施带血管蒂的鼻中隔黏膜瓣多层修补策略。
手术疗效与数据统计
本研究纳入病例中女性患者居多(男女比例1.4),中位年龄50岁(范围18-89岁)。术后脑脊液漏发生率为1%(29例),脑膜炎发生率为0.8%(24例)。术中发生脑脊液漏的病例中,重建失败率为3.4%(11例)。这项涵盖3000余例患者的临床实践证实,内镜下垂体手术的颅底重建策略具有可靠性和可重复性。
通过有计划、分步骤实施的重建方法,在满足患者个体化需求的同时确保了较低的重建失败率。虽然已有多种降低术后脑脊液漏的方案被提出,但针对内镜垂体手术后最佳闭合策略尚未形成共识,不同研究报告的治疗效果存在显著异质性。
- 所属栏目:脑垂体瘤
- 如想转载“告别脑脊液漏:3,015例经验验证,个性化颅底重建让垂体瘤经鼻内镜手术更可靠!”请务必注明来源和链接。
- 网址:https://www.incsg.com/naochuitiliu/7553.html
- 更新时间:2026-01-30 14:56:38
- 上一篇:垂体瘤手术选内镜还是开颅?研究证实:内镜术后更不易复发、功能更好!
- 下一篇:没有了


