1岁宝宝全切术后生活如常,室管膜瘤的长期生存率正在持续改善!
发布时间:2026-04-03 09:42:35 | 阅读:次| 关键词:1岁宝宝全切术后生活如常,室
- [案例]脑干丘脑胶质瘤手术成功案例:7岁患儿术后重返校园
- [案例]“手术非常紧急!”当视力被鞍区脑膜瘤一寸寸偷走,她
- [案例]面对听神经瘤,一次成功的功能保留手术
- [案例]天坛医院脑手术纪实|脑膜瘤紧压脑干,勇敢辣妈的人生转
- [案例]脑干-中脑顶盖胶质瘤患者记实录:再见了“肿瘤君”,我
- [案例]INC巴教授手术“超感之手”,触一触就知肿瘤在哪?
儿童后颅窝肿瘤中,室管膜瘤排在第三位。这类肿瘤有四分之三长在四脑室里,离脑干很近。脑干是人体的生命中枢,掌管呼吸心跳,一旦治疗不当,危及生命的风险很高。
但2025年8月,《LANCET ONCOLOGY》发表的一项研究,给很多焦虑中的患儿家庭带来了鼓舞。这项研究基于EUROCARE-6数据库,纳入了13782名儿童肿瘤患者,结果显示:儿童室管膜瘤的5年生存率达到了72%,10年生存率是67.4%,15年生存率是62.0%。更值得关注的是,在过去将近15年里,室管膜瘤的治愈比例从1998到2001年的65%,上升到2010到2013年的79%,整整提高了14个百分点,这个涨幅是所有儿童脑肿瘤中最大的。这组数据说明,只要治疗方法得当,孩子有机会实现长期生存,甚至达到临床治愈标准。


15年间,室管膜瘤治愈比例提高了14个百分点
这项研究的全名叫做《31个欧洲国家儿童中枢神经系统肿瘤的长期生存率与治愈比例估计(EUROCARE-6):一项基于人群的研究》,目的是通过EUROCARE数据库,估算全欧洲范围内儿童中枢神经系统肿瘤的生存结局,包括治愈比例和长期生存情况。
研究分析了来自欧盟31个国家、15岁以下儿童中枢神经系统肿瘤患者在2008年到2013年间的生存数据,不仅统计了5年生存率和治愈比例,还估算了10年、15年的长期生存数据。
研究结果里有几组关键数据。在13782例儿童中枢神经系统肿瘤中,5年生存率方面:室管膜瘤72%、低级别胶质瘤92%、高级别胶质瘤47%、髓母细胞瘤64%。在30392名儿童肿瘤患者中,治愈比例绝对增幅最大的就是室管膜瘤,从1998到2001年的65%(95%置信区间57%-73%),增至2010到2013年的79%(95%置信区间69%-89%),净增长14个百分点。室管膜瘤的10年生存率是67.4%,15年生存率是62.0%。
这组数据呈现的是真实诊疗成效,反映了近二十年来儿童室管膜瘤整体治疗水平的提升。综合治疗方案的优化,加上分子分型指导下的个体化治疗策略,是推动这一进步的重要原因。越来越多的患儿家庭正在走出阴影,Rutka教授主刀后平安成长的安安,就是其中一个。
全切手术3年后,安安生活如常,未见复发
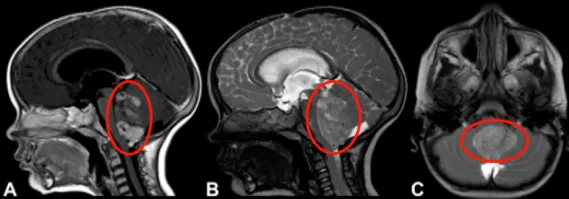
18个月大的安安,脑子里长了一个巨大的肿瘤。对普通人来说,这已经很难接受,对安安的家人来说更是晴天霹雳。安安开始频繁呕吐,吃不下任何东西,家里人看着孩子越来越消瘦,连忙带去做了头颅核磁检查。
报告出来,家人几乎当场崩溃。四脑室里有一个巨大的占位,肿瘤挤压着脑干,安安的情况刻不容缓。

家人决定转院,幸运的是,这一次他们找到了Rutka教授。Rutka教授很快掌握了安安的全部病情,在充分和家属沟通病情之后,确定了手术方案。
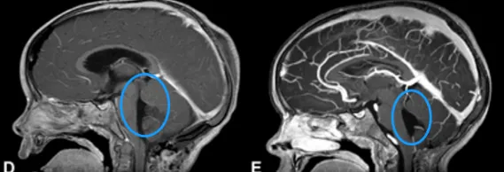
手术那天,安安的家人在手术室外焦急等待,只希望孩子能平安出来。最后的结果,却让他们喜出望外。Rutka教授采用枕下开颅联合C1椎板切除术,成功将巨大室管膜瘤全切,手术过程中没有出现神经功能损伤。术后病理确认为间变性室管膜瘤。
经历了这场惊心动魄的手术,安安恢复很快,术后3年的多次复查均未见复发,生活一如往常。

- 所属栏目:室管膜瘤
- 如想转载“1岁宝宝全切术后生活如常,室管膜瘤的长期生存率正在持续改善!”请务必注明来源和链接。
- 网址:https://www.incsg.com/huanzhegushi/shiguanmoliu/7948.html
- 更新时间:2026-04-03 09:45:53
- 上一篇:室管膜瘤复发,当医生都建议保守,我为什么“狠下心”让孩子二次开颅?
- 下一篇:没有了


