为了孩子的那句「妈妈」,我拒绝接受「听天命」:室管膜瘤患儿的跨国之旅
发布时间:2026-03-14 09:27:29 | 阅读:次| 关键词:为了孩子的那句「妈妈」,我拒绝接受「听天命」:室管膜瘤患儿的跨国之旅
- [案例]8岁男孩头痛就医,医生一听还有这种症状:“情况不妙!
- [案例]当母亲看到开颅术后的儿子:切完脑瘤后居然跟没事儿人
- [案例]38岁那年,医生从我“眉毛”里切出一颗脑瘤
- [案例]从反复出血到重获新生:一位延髓海绵状血管瘤患者的四
- [案例]「脑瘤案例」颈髓脑干血管病变德国手术案例
- [案例]脑干海绵状血管瘤的治疗困局:手术还是不手术?答案来
这是一个关于临床决策的真实案例。
当面对儿童颅内恶性肿瘤,特别是位于第四脑室底部、与脑干关系密切的室管膜瘤时,家属的每一个选择都将直接影响最终的预后。手术切除、放射治疗、化学治疗、定期观察——这些治疗选项并非简单的并列关系,而是存在明确的优先次序与不同的风险权重。
本文以患儿母亲的第一人称视角,回顾了从初次手术、术后辅助治疗未能达到预期效果,到最终远赴德国实现肿瘤全切除并获得良好神经功能恢复的完整历程。
噩梦突然降临
我无法确切回忆起欢欢是从哪一天开始出现异常表现的。那年孩子7岁,他原本是那种身体素质很好、很少生病的孩子,上幼儿园期间几乎全勤,连普通感冒都很少发生。所以当他最初告诉我“妈妈我头疼”的时候,我并未给予足够重视,以为只是睡眠不足所致。
直到有一天,幼儿园老师打来电话,告知欢欢在园内发生了呕吐。我赶去接他时,他无精打采地趴在我背上,用很小的声音说:“妈妈,我走不动,头晕。”
那一刻,我心里猛然一沉——孩子不会无缘无故出现行走不稳的情况。
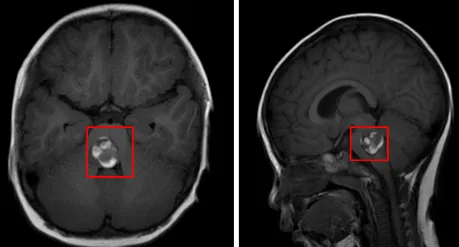
头颅核磁共振检查的结果很快就出来了:第四脑室底部占位性病变,考虑室管膜瘤可能性大。影像学特征提示肿瘤与脑干解剖关系密切,存在潜在的手术风险。

我们很快接受了第一次开颅手术。术前谈话时,医生指着影像片子向我们解释,肿瘤位置很深,位于第四脑室底部,紧贴着脑干,要实现完全切除的风险很高,术中稍有偏差就可能损伤重要的神经功能。
手术持续了数小时。术后病理学检查明确诊断为室管膜瘤。
术后,我们遵照医嘱接受了辅助性质子放射治疗,以期控制可能残留的病灶。然而,治疗结束后的影像学评估显示:残留肿瘤对放疗不敏感,病灶体积未见明显缩小。
主治医疗团队随后建议我们进入“保守观察”阶段。
从纯粹的临床医学角度审视,这一建议并非没有依据——对于经历多次手术后仍有残留、且位于关键功能区的肿瘤,再次手术的潜在获益与风险确实需要极其审慎地权衡。但从疾病长期预后的角度来看,对于室管膜瘤,次全切除后的长期无进展生存率数据并不乐观。
我拒绝听天命
我开始整夜无法入睡。有一天,在一个病友交流群里,有人转发了一篇介绍德国神经外科专家巴特朗菲教授的文章。文章中提到好几个患儿的情况与欢欢非常相似,无论是首次手术无法全切还是治疗后复发,巴教授都为他们实施了手术,并且达到了很干净的切除效果。
我下定决心再尝试一次,哪怕仅仅是为了欢欢能再次清晰地喊出那声“妈妈”,我也要竭尽全力。
那几天,我没有将这个消息告诉任何家人。“医生都已经建议保守治疗了,你为什么还要折腾?万一第二次手术出了意外怎么办?”面对这样的质疑,我无言以对,只是反复翻看欢欢接受治疗时拍摄的照片。照片里他戴着治疗面罩,眼神却依然明亮。
我想,如果将来有一天他问我:妈妈,你当时有没有为我再努力争取一次机会?我该如何回答?
幸好我们赢了
幸运的是,我们成功联系上了巴特朗菲教授。他仔细审阅了欢欢的全部影像资料后,说了一句话,我至今记得每一个字:“我有把握在保护神经功能的前提下,尽最大可能切除肿瘤。”
我和丈夫在客厅里静坐了很长时间。最终是他先开口:“做吧,不然我们这辈子心里都不会踏实。”
前往德国的过程比预想中顺利。巴教授再次为我们详细解释了手术方案,他的眼神沉稳而坚定。
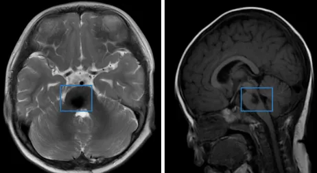
欢欢被推进手术室后,我在外面的长椅上坐下,望着窗外的云朵。不知过了多久,巴教授穿着手术服走出来,神情显得放松了一些。他说:“肿瘤已经全切了,一切顺利。”

术后第一天,欢欢的眼睛是睁开的。我呼唤他的名字,他慢慢将头转向我,虽然没有说话,但是——他轻轻动了动脚趾,接着又动了动手指。半个月后,我们顺利出院。
术后五个月时,欢欢的吞咽功能恢复得相当好。更重要的是,他原有的精神状态完全回来了,开始像以前一样叽叽喳喳地跟我讲述幼儿园里的事情,也愿意花时间安静地拼搭乐高积木。
有时在夜深人静的时候,我会回想起当初那个“保守观察”的建议。如果让我重新选择一次,我依然会毫不犹豫地带欢欢去德国——在面对孩子生死攸关的健康大事上,我不想给自己留下任何遗憾。
室管膜瘤的二次手术值得吗
在儿童室管膜瘤的治疗体系中,一个核心的命题始终存在:当手术、放疗、化疗等多种治疗方式摆在面前时,我们究竟应该如何抉择?答案是明确的,无论是国际公认的诊疗指南还是国内的临床规范,都将手术切除确立为首选的一线治疗方案。
放射治疗确实能够提高室管膜瘤患儿的生存率。国内相关诊疗规范指出,未接受放疗的患者5年生存率约为20%-40%,而接受放疗的患者该数据可上升至40%-80%。但是,这一数据提升的前提是“在手术切除肿瘤的基础上”。
对于有明确残留的病灶,单纯依赖放射治疗往往难以达到根治效果。
2025年欧洲发布的相关临床实践建议明确指出:如果存在残留病灶,应始终评估进行二次手术以实现肿瘤全切的可行性。因此,对于室管膜瘤,哪怕只有一线希望,都值得去积极寻找那个能为孩子实施根治性切除的医生。
儿童室管膜瘤的治疗,是一场需要医学智慧与坚定勇气共同参与的博弈。欢欢的故事告诉我们,当面对“保守观察”的建议时,或许可以再多追问一句:真的没有任何再次手术的机会了吗?所有可能的外科治疗手段真的都已经用尽了吗?
正如《Clinical presentation and extent of resection impacts progression-free survival in spinal ependymomas》这项研究所证实的那样:实现肿瘤全切除的患者,其无进展生存期得到了显著改善。对于这些孩子而言,“无进展”这三个字,意味着他们可以安心地长大,意味着他们的童年记忆里不仅有医院的白墙,还应该有操场上的阳光。
- 所属栏目:室管膜瘤
- 如想转载“为了孩子的那句「妈妈」,我拒绝接受「听天命」:室管膜瘤患儿的跨国之旅”请务必注明来源和链接。
- 网址:https://www.incsg.com/huanzhegushi/shiguanmoliu/7775.html
- 更新时间:2026-03-14 09:23:42


