当母亲看到开颅术后的儿子:切完脑瘤后居然跟没事儿人一样!
发布时间:2025-10-08 09:05:28 | 阅读:次| 关键词:当母亲看到开颅术后的儿子:切完脑瘤后居然跟没事儿人一样!
- [案例]垂体瘤内镜手术顺利吗?经鼻内镜治疗垂体瘤案例一则
- [案例]【福医妙手】INC国际教授福洛里希脑膜瘤案例十|54岁,岩
- [案例]INC巴教授“禁区”手术图解案例四乙状窦后入路全切延髓
- [案例]“求问!这个脑干胶质瘤能不能手术?可以再等等吗?”
- [案例]救护车紧急运送脑干出血少女,核磁影像揭示惊人病变
- [案例]隐匿的血管杀手:当后脑剧痛指向VADA时该如何应对?
松果体位于大脑几何中心点,这一古老而神秘的结构在古希腊时期的解剖学家和哲学家眼中曾被视为"灵气"的集散中心。随着医学研究的进展,松果体的神秘性逐渐被科学揭示。2016年研究团队首次对人类松果体蛋白质组进行系统研究,共鉴定出5820种蛋白质,其中1136种可能具有分泌功能。这一发现奠定了松果体作为人体生物节律调节器的功能基础,帮助人类分辨昼夜周期,调控内分泌系统平衡。

然而,在这一长宽均不足1厘米的狭小区域内,可能生长出体积巨大的肿瘤,尤其在儿童群体中更为常见。手术切除面临极大困难,主要由于这些肿瘤位置深在,与小脑、中脑顶盖解剖关系密切,特别是大脑深部静脉系统对手术入路构成显著阻碍。静脉损伤常导致术后严重并发症(如小脑肿胀)及术后不良反应,造成手术失败。因此,该区域手术在小儿神经外科乃至整个神经外科领域均被视为极具挑战性的手术。
小脑肿胀:作为一种严重并发症,常见病理机制为静脉回流受阻,有时伴有术后局部出血。由于对脑干产生压迫效应,可能迅速发展为危及生命的紧急状况。一旦发生,挽救患者生命的首要有效治疗方法为快速减压和/或清除局部血肿或出血性残留肿瘤。
"肿瘤切除后,孩子状态良好,无任何并发症,效果非常理想!"晃晃的母亲激动地表示。此时距离儿子成功接受松果体区肿瘤全切手术已过去数月,患儿不仅未出现明显并发症、顺利出院,此前各种症状也逐渐消失,身体功能完全恢复正常,近期复查显示肿瘤无复发征象。
全切松果体区肿瘤后恢复良好无并发症
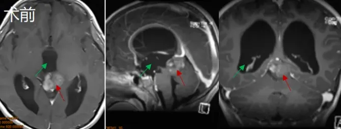
术前情况
8岁患儿晃晃因恶心呕吐、头晕等症状就诊,检查发现松果体区肿瘤,伴有幕上梗阻性脑积水。多位专家建议行脑脊液分流术辅以放疗和化疗。然而,巴特朗菲教授评估晃晃病情后指出,患儿目前已具备手术指征,可为其施行肿瘤全切手术。

术中操作
患儿取俯卧位,采用后正中头皮切口,选择幕下小脑上入路结合幕上枕下乙状窦旁经小脑幕入路,最终成功实现肿瘤全切。

术后过程
术后第一天晃晃意识清醒,在ICU监护两天后情况稳定,未出现明显并发症,无小脑肿胀表现,顺利出院。患儿术前各种症状逐渐消失,机体功能恢复正常,近期复查未见肿瘤复发。
案例来源:Bertalanffy, H. Avoidance of postoperative acute cerebellar swelling after pineal tumor surgery. Acta Neurochir 158, 59–62 (2016).
- 所属栏目:松果体区肿瘤
- 如想转载“当母亲看到开颅术后的儿子:切完脑瘤后居然跟没事儿人一样!”请务必注明来源和链接。
- 网址:https://www.incsg.com/huanzhegushi/songguotiquzhongliu/6779.html
- 更新时间:2025-10-08 09:00:36


