颅内两处肿瘤,为何只需一次手术?术后5天顺利出院又是如何实现的?
发布时间:2025-12-19 09:05:48 | 阅读:次| 关键词:颅内两处肿瘤,为何只需一次手术?术后5天顺利出院又是如何实现的?
- [案例]较大听神经瘤压迫脑干7次复发赴德手术终切除
- [案例]延髓海绵状血管瘤导致多次脑出血致肢体无力,能否治愈
- [案例]泌乳素瘤女性发病率超80%,她的青春期被按下了暂停键…
- [案例]“脆弱”的脑瘤儿童,INC国际大咖Rutka教授如何守护?
- [案例]挑战高难度巨大岩斜区脑膜瘤!INC国际福教授如何“披荆
- [案例]“脊髓髓内肿瘤观察只会加重病情?”决心手术的她,1个
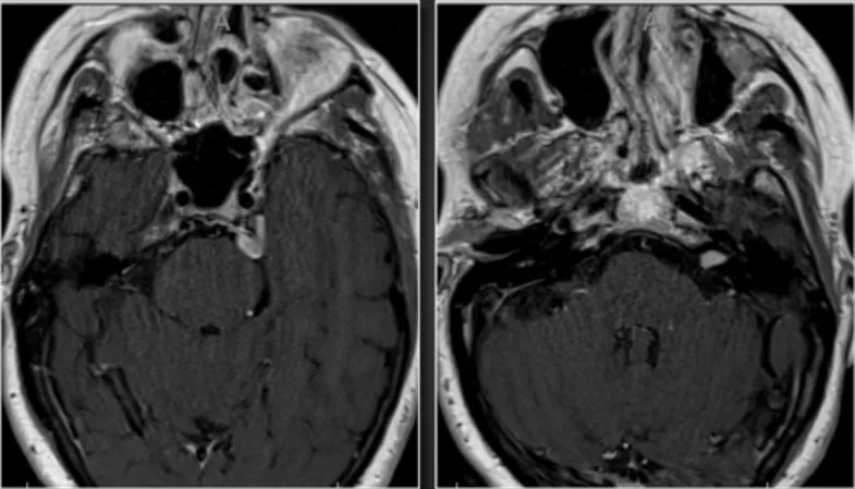
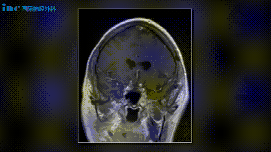
手术方案与体位的确定基于两处病变均引发症状,因此选择单一手术入路实施同期切除。采用中颅窝入路进行听力保留手术,并同期行岩骨前部切除以处理脑膜瘤。患者体位取侧卧位。中颅窝开颅、内听道磨除及岩骨前部切除操作中,沿颧颧弓根中心掀起4×4厘米骨瓣,识别棘孔后结扎脑膜中动脉。随后继续硬膜外解剖,定位弓状隆起及岩浅大神经(GSPN)。通过中颅窝入路磨开内听道,并保持硬脑膜完整性。为切除前庭神经鞘瘤,对内听道实施270°骨性开放。接着进行岩骨前部切除,磨除岩尖骨质。岩尖脑膜瘤切除步骤包括切开梅克尔腔表面硬脑膜,识别三叉神经根。在岩尖区域切开硬脑膜后,可见脑膜瘤向梅克尔腔延伸。完整切除脑膜瘤附着处硬脑膜,经硬膜开口分离肿瘤,使三叉神经根全程显露。前庭神经鞘瘤切除在脑膜瘤切除后进行,转向内听道处理前庭神经鞘瘤。术中持续监测听觉脑干诱发电位(ABR)。可见面神经位于肿瘤表面区域,通过充分磨除骨质实现肿瘤完整分离。在面神经表面缓慢分离肿瘤并行瘤内减容,清晰显示鞘瘤与神经界面。使用显微剥离器将肿瘤从其后方耳蜗神经区域抬起。切除鞘瘤后测试面神经功能,ABR反应保存完好。关颅步骤包括使用骨蜡封闭开放气房,以纤维蛋白胶复合脂肪组织填塞术腔。采用Medpor人工材料行颅骨成形术修复骨瓣,分层缝合头皮。术后影像与临床病程显示,影像学检查证实两处病变均获全切。患者术后出现一过性左侧外展神经麻痹,6周后完全恢复,听力保存完好。





术者:INC国际神经外科医生集团旗下组织世界神经外科顾问团(WANG)成员William T. Couldwell教授


手术方案与体位的选择鉴于两处病变均引起症状,决定通过单一手术入路完成同期切除。利用中颅窝入路实施听力保留手术,并同期进行岩骨前部切除以切除脑膜瘤。患者取侧卧位。中颅窝开颅、内听道磨除及岩骨前部切除过程中,沿颧颧弓根中心掀起4×4厘米骨瓣,识别棘孔并结扎脑膜中动脉。继续硬膜外解剖,定位弓状隆起及岩浅大神经(GSPN)。经中颅窝入路磨开内听道,维持硬脑膜完整性。为切除前庭神经鞘瘤,对内听道完成270°骨性开放。随后行岩骨前部切除,磨除岩尖骨质。岩尖脑膜瘤切除时,切开梅克尔腔表面硬脑膜,识别三叉神经根。在岩尖区域切开硬脑膜,可见脑膜瘤向梅克尔腔延伸。完整切除脑膜瘤附着处硬脑膜,经硬膜开口分离肿瘤,三叉神经根全程显露。前庭神经鞘瘤切除在脑膜瘤切除后开展,转向内听道切除前庭神经鞘瘤。术中持续监测听觉脑干诱发电位(ABR)。可见面神经位于肿瘤表面区域,通过充分磨除骨质实现肿瘤完整分离。在面神经表面缓慢分离肿瘤并行瘤内减容,清晰显示鞘瘤与神经界面。使用显微剥离器将肿瘤从其后方耳蜗神经区域抬起。切除鞘瘤后测试面神经功能,ABR反应保存完好。关颅操作包括使用骨蜡封闭开放气房,以纤维蛋白胶复合脂肪组织填塞术腔。采用Medpor人工材料行颅骨成形术修复骨瓣,分层缝合头皮。术后影像与临床病程中,影像学证实两处病变均获全切。患者术后出现一过性左侧外展神经麻痹,6周后完全恢复,听力保存完好。
- 所属栏目:脑肿瘤
- 如想转载“颅内两处肿瘤,为何只需一次手术?术后5天顺利出院又是如何实现的?”请务必注明来源和链接。
- 网址:https://www.incsg.com/huanzhegushi/naozhongliu/7278.html
- 更新时间:2025-12-19 08:59:24


