“看起来就像没做过手术”,桥小脑角(CPA)区肿瘤术后4个月,她活成了春天的样子
发布时间:2026-04-25 10:32:40 | 阅读:次| 关键词:“看起来就像没做过手术”,桥小脑角(CPA)区肿瘤术后4个月,她活成了春天的样子
- [案例]鞍区肿瘤伴血供丰富与紧密粘连的处理策略解析
- [案例]脑干海绵状血管瘤是什么病?孩子脑袋里长了这样一个“
- [案例]“好好的孩子怎么就走不动路、吃不下饭了…”查出脑干
- [案例]松果体区肿瘤治疗困局:放疗失效病例的手术破局
- [案例]颈内动脉上的"致命水泡":一位年轻女性动脉瘤的两次
- [案例]眼前一黑,视力下降……揭秘神经外科的“视力窃贼”—
INC巴教授中国行纪实
“Thank you for mending my entire world on that blessed christmas Day. Forever grateful.(感谢您在那个美好的圣诞节让我重获新生。我永远心怀感激。)”

贺卡上的文字表达了林女士对巴教授的感激之情。
您是否还记得那位在2025年圣诞节当天接受INC巴特朗菲教授示范手术的女士?她罹患的是高风险桥小脑角区神经鞘瘤。从最初的充满恐惧,到最终全力迎接新生,这台手术让她感觉仿佛重新活了一次。
术后四个多月,当我们再次见到她时,她整个人神采奕奕。她带来了一束绿意盎然的鲜花,脸上洋溢着感激的笑容,整个人看起来就像这充满生命力的春天。

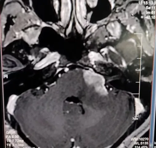
“身边的人现在都说,看起来就像没做过手术一样。”随访时,林女士的这句话也印证了她术后的良好状态。她没有出现面瘫,也没有吞咽问题,术前左脸严重的抽动症状也消失了。巴教授在查看了她的最新核磁共振影像后表示:血管和神经都得到了很好的保护,也没有肿瘤残留。
“我在一个月之内就决定了手术,整个过程都很成功,恢复得也很好,中间还坐飞机出去旅游了。生命其实就在那一刀之下,一台好的手术真的非常重要……”随访结束时,她还和我们分享了这一路以来的经历,希望能给更多类似的病友带来战胜疾病的力量。后续我们将进行详细报道。
从远程咨询到线下面对面的细致分析,从术前详细计划到术后成功下台,从ICU例行检查到普通病房的关心,以及老患者的随访……这,是INC巴教授中国示范手术最平常的一天。今天,他又为一名脑干肿瘤患者顺利完成了手术。
“ I trust you. ”今日,又一台脑干示范手术顺利完成
北京时间2026年4月24日,INC国际神经外科医生集团旗下世界神经外科顾问团成员巴特朗菲教授,其疑难脑瘤示范手术仍在进行中。在苏州大学附属第四医院,巴特朗菲教授又为一名40岁的左侧桥臂-小脑半球占位患者文佳(化名)顺利实施了手术。“ I trust you. ”她相信这位国际脑干领域的顶尖专家定能为她解决问题。

与术前巴教授评估一致的是,肿瘤已经紧紧包裹住三叉神经,还“躲”在面听神经和三叉神经之间的狭小空间内。如此复杂的手术要求主刀医生具备高超的手术技术,手要稳、眼要准,就像进行精细雕刻一样。不过,对巴教授而言,为这类复杂病例手术已经是“常态”。手术中,巴教授娴熟地运用超声吸引器将肿瘤打碎再吸走。手术过程顺利,神经功能也得到了保留……
实际上,从查出占位到决定手术,这个过程充满曲折。因为,直到手术前,文佳也不知道自己的这个占位到底是什么。
虽然多数磁共振成像可以判断出占位类型,但诊断不明的情况确实也不少见。文佳为了彻底搞清楚自己的病情,她进行了磁共振波谱成像检查,但仍然无法确诊:肿瘤性病变、淋巴瘤、还是脱髓鞘?
但是,与其他一直执着于明确病理诊断的患者不同,文佳只想尽快解决这个问题。尤其是在咨询巴教授后,她更加明确了后续的治疗方向:
1、“延髓左侧、脑桥、小脑中脚存在强化肿瘤,并轻微累及左侧大脑脚。目前具备明确手术指征,需要在肿瘤进一步进展、更多侵犯脑干前尽快手术。”
2、“仅通过磁共振成像无法判断具体的胶质瘤类型,即便加做磁共振波谱成像或其他检查,也无法给出100%精准的结论。无论如何都需要手术,术后可以获得精确的组织病理诊断,并进一步明确病变的基因分型。只有这样,才能决定后续是否需要、以及需要何种辅助治疗。”
3、“当然不需要先进行活检,因为活检本身就属于手术,进行两次操作毫无意义,会带来两次出血及其他并发症的风险。而且活检无法取到病灶核心组织,取材量也不足。”
总而言之,对于大多数脑瘤而言,手术仍然是一线治疗方案。磁共振成像、磁共振波谱成像、活检等,都只是作为术前诊断的参考。

巴教授的学术交流仍在继续,儿童疑难脑瘤示范手术也即将开启。从北京到苏州、从幼童到成人,不同位置、不同类型的病变,一个接一个地迎来生命的转机,希望的步履也未曾停歇。
- 所属栏目:脑肿瘤
- 如想转载““看起来就像没做过手术”,桥小脑角(CPA)区肿瘤术后4个月,她活成了春天的样子”请务必注明来源和链接。
- 网址:https://www.incsg.com/huanzhegushi/naozhongliu/8145.html
- 更新时间:2026-04-25 10:28:20
- 上一篇:当传统入路遇上岩尖“死角”,“双镜联合”手术如何顺利切除复杂颈静脉孔区肿瘤?
- 下一篇:没有了


