本是抢救脑出血,开颅后才发现:面神经上还藏着一个肿瘤
发布时间:2026-04-08 09:23:59 | 阅读:次| 关键词:本是抢救脑出血,开颅后才发现:面神经上还藏着一个肿瘤
- [案例]“我在疯狂战斗!”看这4位勇敢少年不向命运低头,成功
- [案例]半年内脑干胶质瘤体积翻倍,术后9天他迫不及待:我想回
- [案例]脑瘤潜伏者:一次体检意外发现4cm脑膜瘤,无症状的她为
- [案例]11月龄脑干胶质瘤宝宝开颅术后平安长大,妈妈:幸好坚持
- [案例]头痛、呕吐、复视……他们的松果体囊肿治好了吗?
- [案例]脊索瘤两次复发后,如何逃过脑瘤再发魔咒?
一台原本用于抢救脑出血的急诊手术,竟在术中意外发现了一枚此前毫无症状的隐匿小肿瘤。是冒险一并处理,还是暂且搁置留待观察?面对两种性质截然不同的颅内病变,能否在同一台手术中安全解决?
本期分享的病例,来自INC国际神经外科权威、脑干外科专家Helmut Bertalanffy(巴特朗菲)教授团队发表的一篇病例报告《PICA动脉瘤合并偶发面神经鞘瘤的手术处理:病例报告》。在这一病例中,医生们仅凭一台手术,便为患者消除了颅内两处隐患,最大程度地守护了大脑与神经功能,让患者重新拥有了展露笑容的能力。

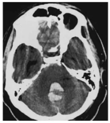
01 突发剧烈头痛,根源竟是第四脑室出血
46岁的王女士(化名)平素身体尚可,偶有头痛发作。某日,她突然遭遇了一阵撕裂般的剧烈头痛,随即出现恶心、呕吐,症状持续长达7小时仍未缓解,家人随即将她紧急送医救治。
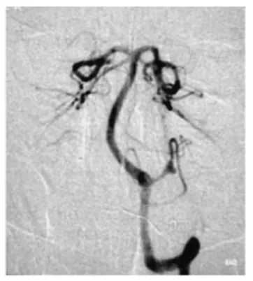
急诊头颅CT检查结果显示:第四脑室内出血。进一步行脑血管造影后发现,此次出血的"元凶"是位于左侧小脑后下动脉(PICA)的一枚动脉瘤。

脑动脉瘤是脑血管壁上异常向外鼓出所形成的小血泡,在破裂之前往往不会引发任何不适,然而一旦破裂导致蛛网膜下腔或脑室内出血,便会突发剧烈头痛、喷射性呕吐等症状,病情危重时甚至可在短时间内陷入昏迷,危及生命。临床上最常用的两种有效治疗手段,分别是开颅动脉瘤夹闭术与血管内介入栓塞治疗。
王女士的动脉瘤位置尤为特殊。小脑后下动脉承担着为小脑、延髓等关键结构供血的重要职责,该部位的动脉瘤在临床上本就极为罕见,仅占所有颅内动脉瘤的0.5%至3%,但其凶险程度不容小觑——一旦破裂,出血往往集中汇入第四脑室,发病急骤、进展迅速,救治窗口极为有限。
02 手术顺利夹闭动脉瘤,术中却意外发现第二处病灶
结合患者的出血部位与动脉瘤特点,医生团队决定采用经髁入路实施动脉瘤夹闭手术。这一入路是颅底外科的经典术式,能够充分暴露小脑后下动脉及脑干侧方结构,同时手术创伤相对较小。
手术进展顺利,动脉瘤被成功夹闭。就在此时,一个出乎意料的情况出现了——在面神经与前庭蜗神经之间,隐藏着一枚灰白色、质地柔软、大小约为2×3×2毫米的肿瘤。

术中进一步探查后很快明确了答案:这枚小肿瘤正是临床上并不多见的面神经鞘瘤。
面神经鞘瘤是一种生长缓慢的良性肿瘤,本身发病率不高,而发生在桥小脑角(CPA)区域的更为稀少,仅占全部CPA肿瘤的1%左右。多数患者会逐渐出现面瘫、听力下降等表现。
那么,为何术前没有发现这枚肿瘤?原因其实相当现实。王女士是以动脉瘤破裂急危重症入院,救治的首要目标是迅速明确出血来源及血管情况,因此仅完成了急诊CT检查,并未进行更为精细的MRI扫描。加之肿瘤体积极小,而患者自始至终也未出现面瘫、听力异常等任何相关症状,这枚小病灶便完美"隐身",直至手术中才被意外发现。
03 切除还是保留?医生在手术台上直面两难抉择
面对这一意外发现,手术室里的医生们必须即刻作出抉择。
若选择切除:肿瘤与面神经束之间缺乏清晰的分界,剥离过程中极有可能伤及面神经,导致术后面瘫。
若选择放弃切除:肿瘤虽然目前无症状,但日后仍有可能继续生长,届时再次手术难度更高,面神经损伤风险也将随之增大。
综合参考文献报道与临床经验,医生团队一致判断:肿瘤越小,切除后对面神经功能的影响越小;早期诊断、早期处理是保护面神经预后的关键所在。何况患者此时已在手术台上,借助同一入路、同一麻醉顺势处理,可以免去患者二次开颅的痛苦与风险,对医患双方而言都是更为合理的选择。
就这样,在成功夹闭破裂动脉瘤之后,手术在显微镜下继续精细推进。医生团队一步步将肿瘤从面神经束上仔细剥离、分块全切,整台操作完成后,面神经的解剖结构被完整保留了下来。

04 术后短暂面瘫,半年后基本恢复如常
术后复查脑血管造影证实,动脉瘤已被成功夹闭,出血风险解除。术后病理报告亦表明,这枚偶然发现的肿瘤为Antoni A/B混合型神经鞘瘤。
患者术后总体恢复良好,听力未受影响。术后确实出现了预期中轻至中度的面神经功能障碍,评估为House-Brackmann分级III级——静止时面部左右对称,做表情时则出现明显的不对称和力弱。
经过六个月的康复恢复,她的面神经功能几乎完全复原,达到House-Brackmann分级I级,与正常人无异。
PICA动脉瘤与面神经鞘瘤各自已属少见病,二者同时出现在同一患者、同一侧、同一手术区域,实属极为罕见。这也给神经外科医生带来重要提示:处理一处病灶时,切不可忽视对周围结构的细致探查。
既往对于面神经鞘瘤的处理方式存在争议,部分学者主张观察等待,待出现明显面瘫后再行手术。然而越来越多的证据表明,在肿瘤尚小时进行早期切除,术后面神经功能的恢复效果更佳。本例患者术后虽出现短暂面瘫,但在半年内基本恢复正常,有力地验证了这一观点。
对于患者而言,一次手术、一次麻醉,同时解除两处隐患,无疑是最为理想的结局。
- 所属栏目:脑肿瘤
- 如想转载“本是抢救脑出血,开颅后才发现:面神经上还藏着一个肿瘤”请务必注明来源和链接。
- 网址:https://www.incsg.com/huanzhegushi/naozhongliu/7976.html
- 更新时间:2026-04-08 09:16:25


