17岁男孩眼睛斜视、复视,竟是颅底巨大肿瘤——不开颅,从鼻子里全切肿瘤
发布时间:2026-03-21 21:29:40 | 阅读:次| 关键词:17岁男孩眼睛斜视、复视,竟是颅底巨大肿瘤——不开颅,从鼻子里全切肿瘤
- [案例]15分钟就决定开颅手术:为什么我一定要切除这个“暂时安
- [案例]女儿用蓬勃的生命力打败了巨大胶质瘤,我们为她骄傲!
- [案例]加班后身体一侧突然发麻,当查出可怕的脑干“肿瘤”,
- [案例]300+成功案例!让这种脑干肿瘤走出禁区,原来手术才是“
- [案例]别被“懒癌”骗了!当中脑顶盖胶质瘤威胁孩子生命,还
- [案例]研究发现低级别胶质瘤“早期手术”的生存益处
一名17岁男性患者因反复出现发作性外展神经麻痹及复视前往就诊,影像学检查证实存在斜坡区巨大轴外肿瘤。通过导航辅助内镜下经鼻入路手术,肿瘤获得完全切除,术后后续接受质子束放射治疗。本案例证实,针对颅底中线区域病变,无需开颅手术同样能够实现肿瘤全切除,并最大限度保护神经功能。
外展神经麻痹属于相对常见的神经系统体征,在儿童与成人群体中病因分布广泛。该神经易受损伤主要归因于其较长的颅内走行路径:自脑桥延髓沟发出后,需要向上走行进入眶内,最终支配外直肌。走行过程中的固定解剖位点、迂曲形态以及与颅底结构的紧密附着关系,进一步增加了机械性损伤风险。
外展神经麻痹既可能表现为良性自限性症状,也可能成为颅底肿瘤的首发体征。当外展神经麻痹伴随其他神经系统异常表现时,应当立即进行影像学评估。针对不伴随其他症状的孤立性外展神经麻痹,是否需要立即实施影像学检查在文献中尚存争议;部分学者基于该症状可能自发缓解的临床特征,主张采取观察等待策略。
颅底肿瘤微创切除:经鼻内镜手术技术解析
高难度位置巨大肿瘤的临床挑战
患者为17岁男性,主诉近一年期间反复出现右眼内斜视及复视症状,相关表现可自行缓解。眼科系统检查未见明确异常。近期患者出现严重头痛及呕吐症状。
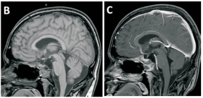
头颅CT扫描显示颅底存在巨大占位性病变,伴随斜坡上部骨质破坏。MRI检查证实存在以蝶骨斜坡区域为中心、侵犯右侧颞窝的轴外肿瘤。

术前影像评估:头颅CT扫描显示一巨大病变,侵蚀颅底骨质结构并侵犯右侧中颅窝。脑部磁共振成像证实,该肿瘤在T1加权像上呈现低信号,在T2加权像上呈现高信号,并在钆剂注射后显示对比增强。
手术实施过程
患者入院时神经系统检查显示完全正常,未发现任何眼肌麻痹表现。遂实施导航辅助的两阶段内镜下经鼻入路手术。术中首先切除右侧中鼻甲、实施后部鼻中隔开窗及蝶窦切开,随后以分块方式切除肿瘤中线部分。在病变区域发现被肿瘤侵蚀破坏的颅底骨质残余,采用咬骨钳轻柔移除。随后显露斜坡及鞍区硬脑膜。通过部分切除右侧翼突,处理肿瘤更外侧组成部分,并以分块方式完成全肿瘤切除。手术结束时,可直视后颅窝硬脑膜。

术中术者发现一处硬脑膜小缺损,右侧外展神经部分由此疝出。采用硬脑膜小块及纤维蛋白胶对该缺损进行修复。
术后MRI检查证实肿瘤已获得完全切除。术后出现短暂的右侧外展神经麻痹,与术中发现相符。在启动全身性皮质类固醇治疗后,神经功能缺损迅速恢复。
病理学报告结果为Ⅲ级软骨肉瘤。骨扫描及全身CT扫描排除转移性疾病,随后患者接受颅底质子束放射治疗。
术后影像评估:术后矢状位T1加权平扫及增强磁共振成像,证实肿瘤已获得完全切除。
该案例研究来源于INC国际儿童脑瘤专家、世界小儿神经系统专业杂志《Child´s Nervous System》现任主编Concezio Di Rocco教授发表的一则案例研究。


案例讨论:颅底肿瘤微创手术可行性分析
软骨肉瘤约占颅底肿瘤的6%,占全部颅内肿瘤的0.15%。多数颅底软骨肉瘤累及斜坡区域,外科手术构成主要治疗手段,术后放射治疗旨在预防肿瘤复发。值得关注的是,软骨肉瘤乃至多数颅底肿瘤,常在生长至巨大体积后才出现临床症状。在此背景下,任何可能导致及时诊断的临床体征或症状均应得到高度重视。
头痛与复视属于最常见的首发症状。头痛可能源于颅底硬脑膜受刺激,尽管在无颅内高压的情况下,其在颅底肿瘤患者中的实际发生率难以界定。与外展神经麻痹相关的复视较为常见,但特异性相对较低。事实上,外展神经麻痹可由多种病因导致,甚至可能表现为特发性良性现象。
从临床实践角度分析,若外展神经麻痹伴随其他神经系统体征或症状,则必须实施头颅平扫及增强MRI检查。针对孤立性外展神经麻痹,是否需要立即进行影像学检查在文献中仍存在争议。部分学者认为,肿瘤在出现外展神经麻痹后的数周内,预期会伴随其他神经系统体征或症状。部分学者建议,所有获得性外展神经麻痹的儿童患者,无论症状是否孤立,均应接受神经影像学检查。
在颅底手术中,内镜下经鼻入路由于血管与神经结构远离手术操作区域,相关风险相对较小。然而,对于中线旁小体积病变,若神经影像显示血管及神经结构与病变关系密切,经鼻入路可能存在禁忌,此时颅内硬膜外入路可能更为优选。无论采用何种手术入路,导航系统在颅底病变手术中均被证实为具有实用价值的辅助工具。在本病例中,导航系统帮助术者识别了因巨大肿瘤而移位的血管及神经结构。
技术关键:经鼻内镜手术精细操作要点
对于经鼻内镜手术而言,鼻腔内部操作空间有限,手术过程需要精细控制。然而,经鼻内镜手术的复杂性远不止于此。经鼻内镜手术虽然体表不遗留切口,但手术操作可能对鼻腔内部结构产生影响,导致术后可能出现两大长期并发症:鼻窦损伤和脑脊液漏。相关并发症给患者带来较大痛苦,很大程度上源于手术操作对正常组织的损伤。
传统手术通常需要两名手术医生相互配合:一名手术医生负责持握内镜,另一名手术医生使用双手操作器械。为避免暴露过多脑组织,手术切口通常不会很大,这可能导致器械与内镜之间出现操作空间冲突。为避免器械冲突,必然需要扩大切口以在鼻腔内获得足够操作空间,而这也意味着需要切除部分正常组织。许多患者在术后出现脑脊液漏、鼻出血、鼻窦损伤、鼻部感染甚至失明等并发症,大多由此原因造成。
INC颅底手术专家福洛里希教授指出:经鼻内镜手术应当遵循以下原则——利用鼻腔的天然解剖优势,但不应该像开颅手术那样,在鼻腔内创造出开放的操作空间。最终目标是回归内镜技术的真正意义,即通过导航系统进入正常腔体而不干扰其结构,将外科医生的视野直接引导至病变区域。“鼻腔的解剖结构,内镜手术前呈现何种状态,手术后也应当维持原有形态!”


虽然内镜经鼻入路通常被认为是微创入路,但对鼻腔结构仍具有较大侵入性。为解决鼻腔有限空间内器械操作冲突的问题,福教授及其团队创新了“筷子技术”,致力于实现最大程度的微创操作,在不接触鼻腔内部结构的情况下穿过鼻腔。因此,“筷子技术”的真正目的和作用在于保护鼻腔内部的解剖结构,减少手术入路的侵袭性,降低术后并发症发生率。

在实现肿瘤切除的同时,减少手术对鼻窦结构和患者生活质量的影响,“筷子技术”允许外科医生在狭窄的手术通道中操作,减少器械之间的冲突,并改善手术视野的动态感知。
总结
尽管斜坡病变与外展神经麻痹的关联性已得到明确,但据现有文献检索,反复发作、可自行缓解的外展神经麻痹临床特征此前未见报道。该类发作表现出与短暂性脑缺血发作相似的特征——即急性起病并在短时间内自发恢复。这一现象可能是颅底肿瘤的首发体征,其机制源于外展神经的解剖学特征及其与源于颅底结构肿瘤的毗邻关系。
值得注意的是,原发性颅底脑肿瘤切除后,外展神经麻痹的恢复机会良好;而在恶性肿瘤病例中,特别是斜坡转移性病变,预后则相对较差。尽管软骨肉瘤为浸润性恶性肿瘤,理论预期结局应与斜坡转移性病变一致,但本病例患者术后未发生永久性外展神经麻痹——该结果可归因于在外展神经麻痹仍呈发作性阶段时即已实现早期诊断。因此,此类发作性症状应引起临床医生的高度警惕,并及时进行相关影像学检查,以避免潜在的颅底肿瘤诊断延误。
- 所属栏目:脑肿瘤
- 如想转载“17岁男孩眼睛斜视、复视,竟是颅底巨大肿瘤——不开颅,从鼻子里全切肿瘤”请务必注明来源和链接。
- 网址:https://www.incsg.com/huanzhegushi/naozhongliu/7841.html
- 更新时间:2026-03-21 21:23:17


