突发蛛网膜下腔出血却找不到病因?47岁患者的 “隐匿杀手”竟是夹层动脉瘤!
发布时间:2025-11-14 11:06:46 | 阅读:次| 关键词:突发蛛网膜下腔出血却找不到病因?47岁患者的 “隐匿杀手”竟是夹层动脉瘤!
- [案例]巨大斜坡脊索瘤伴广泛骨侵蚀:双镜联合技术实现安全全
- [案例]以为是近视,没想到是脑动静脉畸形“绑架”了视神经!
- [案例]儿童脑动脉瘤术后复发案例解析:INC川岛教授手术治疗技
- [案例]动脉瘤破裂出血危及生命?解析INC脑血管专家的血管重建
- [案例]功能性垂体瘤—泌乳素瘤可以不手术吗?INC国际大咖施罗
- [案例]较大松果体区肿瘤4年内多次放化疗及手术失败,终得顺利
47岁属于人生黄金时期,通常处于事业有成、家庭美满阶段。然而在某个平常日子里,这位中年男性突然遭遇重大健康危机——剧烈头痛症状导致极度痛苦,紧急送医后确诊为蛛网膜下腔出血,病情万分危急。
初次影像学检查结果令人困惑:3D-CTA和DSA检查均未发现明显血管扩张或病变。这类似于在黑暗中寻找隐藏爆炸物,明知危险存在却无法准确定位。
18天后真相终于明朗。延迟血管造影显示患者左侧P1-P2段存在正在生长的夹层动脉瘤,并呈现狭窄特征。此时医疗团队才真正"锁定"威胁生命的病因。
01 夹层动脉瘤病理机制解析
头颈部动脉夹层(cervicocranial artery dissection, CcAD)是指各种原因导致颈部或颅内动脉内膜损伤撕裂,血液流入血管壁内形成壁内血肿,使血管壁各层分离的病理状态。
通俗而言,人体血管壁结构类似千层饼,当最内侧内膜受损出现破口时,血液会顺势"渗入"血管壁各层之间,形成"壁内血肿"。这会导致:
血肿累及内膜与中膜时,造成管腔狭窄
血肿聚集于中膜与外膜时,形成动脉瘤样扩张
尽管发生率较低,夹层动脉瘤是导致青年缺血性卒中重要病因之一。数据显示,其导致的卒中约占缺血性卒中病因的2%,在小于45岁人群中,该比例可达8%-25%!
高血压和动脉硬化是夹层动脉瘤主要诱因,因为这些因素促进主动脉退行性改变,降低动脉壁各层组织间黏合力。夹层动脉瘤好发于椎动脉,其次是基底动脉和颈内动脉。患者可能出现头痛、蛛网膜下腔出血、脑梗死和神经压迫等症状。
02 确诊后20天的紧急手术干预
确诊后第20天,川岛教授团队决定为患者实施手术。此时动脉瘤已延伸至P2段后部,病情更加复杂。
手术方案极为精细:经左颞颞下入路实施动脉瘤孤立术和STA-PCA搭桥重建手术。手术过程中,川岛教授首先夹闭动脉瘤近端部分,同时谨慎保留丘脑穿支动脉——这些细微血管一旦损伤将导致严重后果。

随后,川岛教授选择PTA作为受体动脉,实施STA-PTA旁路手术,相当于在阻塞血管旁搭建"新桥",确保脑部供血不受影响。最后才将远端夹子放置于夹层动脉瘤上,同时保留穿支血管。
03 术后康复与随访结果
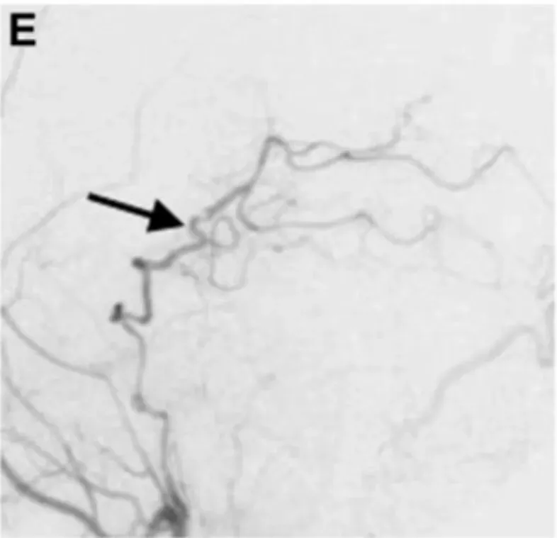
术后一周血管造影结果显示:通过旁路到达左侧PCA区域的血流良好,动脉瘤完全被排除。两周后患者出院回家,未出现任何神经功能缺损。

一年后随访结果更加令人欣慰:患者改良Rankin评分为0分,搭桥术仍然有效。这意味着患者完全恢复正常生活,未遗留任何后遗症。
04 夹层动脉瘤分型及治疗策略
夹层动脉瘤的临床影像学表现多样,不同病变类型患者的临床表现、治疗方法和临床预后存在显著差异。2016年《颅内动脉夹层的影像学诊断中国专家共识》将IDA分为4种亚型:
I型(经典型)
最为常见的亚型,特征为动脉壁内弹力层断裂形成与血管腔相通的破口。临床表现为急性蛛网膜下腔出血、短暂性脑缺血发作或急慢性头痛等症状。
治疗建议:破裂出血的I型夹层动脉瘤患者发生蛛网膜下腔出血后,建议尽早行手术治疗。
II型(节段扩张型)
特征为颅内动脉节段性梭形扩张,结构对称,管腔内壁光滑无附壁血栓。多数病变稳定,处于慢性修复期。
治疗建议:若病变体积较小、形态规则,建议保守治疗并定期随访。
III型(延长扩张型)
该型多见于椎-基底动脉,受累动脉异常迂曲、延长和扩张,内膜明显增厚伴内膜内外广泛血栓形成。治疗较为复杂,手术风险较高。
治疗建议:应全面评估风险,结合患者预期寿命、基础状况等综合因素后谨慎考虑干预性治疗。
IV型(局部巨大占位型)
存在明显巨大壁间血肿,压迫周围脑组织,占位效应显著。MRI呈现"洋葱皮"样改变。治疗极其复杂。
治疗建议:手术切除是理论上较有效的治疗方法,但需谨慎评估手术风险和获益。
当夹层动脉瘤引起蛛网膜下腔出血时,现代医学提供多种治疗方法:血管内介入治疗(夹层动脉近端闭塞、动脉瘤栓塞)和手术治疗(动脉瘤夹闭、血管重建术)。
一项回顾性病例研究评估41例接受血管重建治疗的椎动脉夹层动脉瘤破裂患者,随访发现70.7%的患者预后良好(mRS评分≤2分)。因此,对于夹层动脉瘤合并蛛网膜下腔出血的患者,应当尽早接受手术治疗或血管内介入治疗。
参考资料:
[1] Kawashima A et. al. Superficial Temporal Artery: Distal Posterior Cerebral Artery Bypass through the Subtemporal Approach: Technical Note and Pilot Surgical Cases. Oper Neurosurg(Hagerstown). 2017 Jun 1;13(3):309-316.
[2] 颅内夹层动脉瘤的血管内治疗中国专家共识(2018)
[3] 中国头颈部动脉夹层诊治指南2024
INC国际神经外科专家团队 川岛明次教授

INC国际神经外科医生集团旗下世界神经外科专家团(WNEG)成员、世界脑血管搭桥手术权威专家、圣路加国际医院神经外科主任川岛明次(Akitsugu Kawashima)教授,擅长脑卒中、烟雾病、颅底肿瘤、面部痉挛/三叉神经痛、颅内血肿、巨大脑动脉瘤、脑动静脉畸形等疾病治疗,特别专长脑血管搭桥、颈内动脉内膜切除术。
神经外科手术经验:
烟雾病脑血管搭桥手术:1300例
脑动脉瘤夹闭手术:1000例
脑血管畸形切除术:500例
颈内动脉内膜切除术:450例
开颅脑瘤切除术:280例
颅后窝搭桥术、High-flow Bypass技术等
- 所属栏目:脑动静脉畸形
- 如想转载“突发蛛网膜下腔出血却找不到病因?47岁患者的 “隐匿杀手”竟是夹层动脉瘤!”请务必注明来源和链接。
- 网址:https://www.incsg.com/huanzhegushi/naodongjingmaijixing/7044.html
- 更新时间:2025-11-14 11:00:58
- 上一篇:51岁阿姨术后7年突陷昏迷!动脉瘤夹闭后还会新发?
- 下一篇:没有了


