



脑肿瘤的临床表现呈现复杂多样性。除头痛、恶心呕吐、步态不稳、肢体麻木及视力下降等常见典型症状之外,部分患者可能以认知功能减退这一不易察觉的形式起病,具体表现为反应迟钝、记忆...
更新时间:2026-03-28 09:06:56

在Rutka(鲁特卡)教授手中,仅6个月大的天乐成功接受了松果体区肿瘤切除手术,并在术后不久便投入到了正常的玩耍、生活中。...
更新时间:2026-03-28 08:52:59

一名11岁男孩因梗阻性脑积水出现头痛和复视。脑部MRI显示四叠体板处有一个脑内部分对比增强的病变,从小脑延伸至松果体,并导致脑积水。对病变进行了次全切除,男孩被确诊为间变性神经节细...
更新时间:2026-03-28 08:48:51

听神经瘤确诊后,患者常面临一项艰难的治疗决策选择:立即实施手术干预,抑或采取观察等待策略?放射治疗是否构成可行选项?不同治疗方案的选择,直接关联患者后续生活质量的显著差异。...
更新时间:2026-03-28 08:40:26

肿瘤的侵犯范围如此之大,意味着治疗将面临重重障碍:手术全切极为困难,复发风险居高不下。更棘手的是,若想尽可能彻底清除病灶,很可能不得不牺牲更多周边正常组织,这将显著提升术后...
更新时间:2026-03-27 09:46:38

毫无任何预兆,她突然感觉左侧肢体出现无力,左脚发软、抬不起来,正常走路都变得举步维艰。家人立即将她紧急送医,颅脑核磁共振检查的结果让所有人的心瞬间沉了下去——脑干桥脑海绵状...
更新时间:2026-03-27 09:37:31

"早发现、早治疗"是医学界长期以来的共识,然而面对复杂的神经外科疾病,患者往往陷入茫然:同样是脊髓肿瘤,有的医生说要尽快手术,另一个医生却说暂时不建议动刀,究竟该听谁的?...
更新时间:2026-03-26 09:55:19

辗转多家医院之后,小乐母子最终找到了Rutka教授。就在不久前,小乐被发现中脑被盖区域存在占位性病变,高度怀疑是胶质瘤。小乐的妈妈至今还记得医生当时说的那些话,虽然听起来残忍,却是...
更新时间:2026-03-25 17:17:51

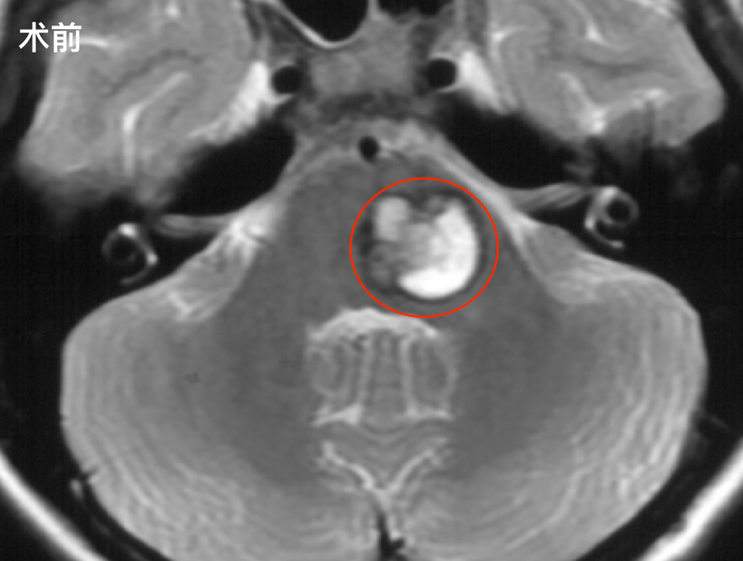
脑干,作为维系生命运转的核心中枢,这个区域一旦发生出血,其危险程度几乎无需赘言——它起病急骤、进展迅速,往往在数分钟到数小时内急剧恶化,每一分钟都是与死神的赛跑。...
更新时间:2026-03-25 08:52:07

有一种肿瘤,九成以上是良性,却让相当一部分患者在"不急"的等待心态中,悄然错过了最适合干预的时间窗口。它叫脑膜瘤。...
更新时间:2026-03-25 08:35:30

脑干脑桥海绵状血管瘤是导致这类出血事件的常见病因之一。这类病变具有反复出血的特性,每一次发作都可能在脑干留下不可逆的损伤痕迹,多次出血累积后果极为严峻。...
更新时间:2026-03-24 19:49:51

从脑干出血被送进ICU,到三年后以优异成绩叩响德国名校的大门,跨越这道生死鸿沟,有时候需要的,不过是多一分直面未知的勇气。...
更新时间:2026-03-24 19:21:35

如今已经二十一岁的小磊正是随访工作队列中的一位关键参与者,从他接受巴教授实施的基底节-岛叶巨大脑瘤切除手术至今,时间已经过去了接近整整五个年头。...
更新时间:2026-03-24 09:59:50

一次平常的摔跤,对活泼好动的孩子来说本来不足挂齿。但6岁的鑫鑫却在这次意外中得到了意想不到的发现,一个潜伏在大脑中心、正在不断长大的肿瘤。...
更新时间:2026-03-23 13:36:56

本例患者术前磁共振清晰显示,一个大型垂体瘤不仅向上生长压迫视交叉,更向侧方“攻城略地”,侵犯了右侧海绵窦。...
更新时间:2026-03-21 21:33:46
更新时间:2021-12-15 11:22:17
更新时间:2021-12-15 13:51:24
更新时间:2021-12-15 14:07:12
更新时间:2023-03-16 17:33:49
更新时间:2021-11-22 11:51:29
更新时间:2023-03-16 17:30:52
更新时间:2023-03-16 17:18:43
更新时间:2023-03-16 17:21:02
更新时间:2024-08-02 18:23:33
更新时间:2024-07-26 15:41:59
更新时间:2026-04-24 09:33:18
更新时间:2026-04-22 09:21:25
更新时间:2026-04-21 10:12:45
更新时间:2026-04-21 09:38:28
更新时间:2026-04-20 17:30:12