



声音嘶哑可能作为肿瘤预警信号存在。33岁男性患者遭遇巨大脊索瘤侵蚀颅骨并压迫脑干,临床表现为声音嘶哑、舌部麻木等症状。脊索瘤属于罕见的高度侵袭性骨恶性肿瘤,虽部分生长缓慢但仍具...
更新时间:2026-01-19 11:46:35

备孕前检查发现脑干海绵状血管瘤,患者如何应对?脑干海绵状血管瘤患者是否能够怀孕并成为母亲?妊娠期出血风险增高的原因是什么?是否需要接受手术治疗?这些疑问困扰着众多患有脑干海...
更新时间:2026-01-18 08:24:38

头痛是常见临床症状,但频繁发作时需警惕脑瘤可能性。脑肿瘤相关头痛主要源于占位效应和局部脑组织水肿引发的颅内压升高。...
更新时间:2026-01-17 08:07:39

作为一名脑瘤患儿的母亲,我对众多病友的家庭经历深感熟悉。辗转求医过程中,获得的诊断意见常伴随“手术风险”警示:术后可能出现瘫痪、长期插管、视力障碍、生活自理能力丧失或言语功...
更新时间:2026-01-17 07:51:44

"原以为是颈椎劳损"。病情在24小时内急剧恶化:从颈部酸痛发展为剧烈呕吐,最终在救护车上失去颈部以下所有知觉。急诊初步诊断为脊髓血管病变,住院11天期间左侧躯体部分恢复知觉,但右侧...
更新时间:2026-01-16 10:31:16

核磁共振图像上的一个微小白点被疏忽,导致一名国外男童几近病危,开颅手术中所见情形令医疗团队倍感震惊。该白点的临床意义何在?对于患者KK的家人而言,这引发了长达数月的忐忑历程,期...
更新时间:2026-01-16 10:01:09

52岁女性患者金女士,既往身体健康。2021年因心脏不适症状就诊,在进行心脑血管系统检查时,意外发现脑干区域存在海绵状血管瘤病变。该病变位于脑干这一重要功能区,负责调节呼吸、心跳等...
更新时间:2026-01-15 10:31:48

SickKids在加拿大处理复杂的小儿血管疾病(包括脑动静脉畸形AVM、脑海绵状血管瘤等)方面拥有丰富的成功经验。“北美没有比多伦多SickKids更好的儿童医院了!”据这位华人妈妈讲述,S...
更新时间:2026-01-14 10:50:55

患儿苏苏在1岁2个月时出现步态异常,表现为行走不稳症状。与同龄儿童相比,其行走能力发育滞后,在平地及坡面行走时均呈现摇摆步态,需辅助支撑。初期各项检查未明确病因,直至眼科检查发...
更新时间:2026-01-14 10:13:59

小学二年级学生主诉头痛症状,在家长准备驾车送医过程中出现呕吐症状。抵达医院后,CT检查显示严重脑干出血征象,医生立即建议转诊至上级医疗机构。患儿病情迅速恶化,救护车转运途中已出...
更新时间:2026-01-14 09:55:47

"巴特朗菲教授您好,我现在恢复得相当不错!"这段来自丘脑海绵状血管瘤患者文文的康复视频中,她行动自如,言语间表情生动,完全看不出三个月前刚经历高难度脑部手术的痕迹。这种充满生命...
更新时间:2026-01-13 10:13:04

患儿既往活泼好动,喜爱舞蹈表演,但近一个月出现颈部活动障碍,头部不自主向一侧倾斜,无外伤史。伴随症状包括咽部红肿和扁桃体肿大影像学检查显示枕骨斜坡区骨质破坏,鉴别诊断考虑朗...
更新时间:2026-01-13 09:57:52

颅咽管瘤作为一种具有侵袭特性的良性脑肿瘤,因其易复发、需终身随访及影响发育等特点,在临床治疗领域面临重大挑战。由法国Sebastien Froelich教授等多位国际颅底外科专家共同制定的国际共识...
更新时间:2026-01-13 09:50:56

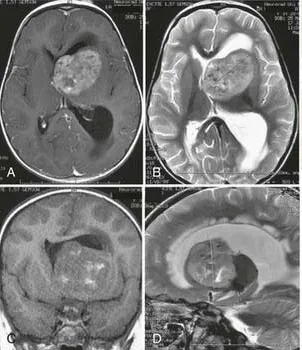
INC国际儿童脑瘤专家、《Child's Nervous System》现任主编Concezio Di Rocco教授团队于2009年发表研究《5-YEAR-OLD BOY WITH A CLIVAL MASS》,报道首例儿童斜坡区上皮样肉瘤病例。...
更新时间:2026-01-11 09:51:25

疾病最严重阶段,患者出现明显呼吸障碍症状,因氧气供应不足导致站立不稳。初期症状被家属误判为感冒或普通身体不适,建议通过服药休息缓解。随着症状加剧,患者主动要求就医检查,影像...
更新时间:2026-01-11 09:45:47
更新时间:2021-12-15 11:22:17
更新时间:2021-12-15 13:51:24
更新时间:2021-12-15 14:07:12
更新时间:2023-03-16 17:33:49
更新时间:2021-11-22 11:51:29
更新时间:2023-03-16 17:30:52
更新时间:2023-03-16 17:18:43
更新时间:2023-03-16 17:21:02
更新时间:2024-08-02 18:23:33
更新时间:2024-07-26 15:41:59
更新时间:2026-01-19 11:46:35
更新时间:2026-01-18 08:24:38
更新时间:2026-01-17 08:07:39
更新时间:2026-01-17 07:51:44
更新时间:2026-01-16 10:31:16