天坛医院手术随访 | 那个与巨大胶质瘤抗争5年的男孩,赢了!
发布时间:2026-01-08 10:24:17 | 阅读:次| 关键词:天坛医院手术随访 | 那个与巨大胶质瘤抗争5年的男孩,赢了!
- [案例]职业女性高位脊髓室管膜瘤,手术瘫痪、致残风险大,如
- [案例]对抗婴儿痉挛引发的癫痫治疗案例
- [案例](脑胶质瘤系列)INC德国巴教授与中国患者的故事
- [案例]身体未报警,脑膜瘤已入侵大脑!切除与否如何抉择?
- [案例]头晕、平衡变差别硬抗!可能是脑瘤生长的信号!
- [案例]脑部MRI全是密密麻麻小黑点,医生直呼:你有35个海绵状血
19岁属于意气风发的青春年华,而飞宇已与复杂脑瘤持续抗争长达5年。今年,这位年轻患者终于迎来期待已久的治疗胜利。这5年时光本应是少年最灿烂的青春阶段,却被疾病阴影持续笼罩。然而,经过漫长而艰辛的治疗历程,飞宇在关键时刻取得显著治疗效果。
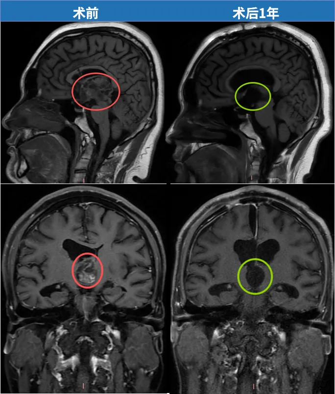
这条治疗道路充满挑战。从最初发现脑肿瘤并选择保守观察开始,经历症状反复波动、全家人的担忧焦虑、以及多种治疗尝试——包括中医药治疗。直至2025年8月12日,一台关键手术改变整体病情。位于大脑核心区域第三脑室的巨大肿瘤,由INC巴特朗菲教授主刀,联合北京天坛医院医疗团队,通过精密稳健的手术操作,实现高危脑瘤的"完全切除"。术后病理诊断确认为毛细胞星形细胞瘤,全切手术意味着良好预后,也标志着飞宇迈出摆脱疾病阴霾的重要一步。
术后近5个月随访复查时,巴特朗菲教授表示:"针对这例毛细胞型星形细胞瘤,我们实现了肿瘤全切除。重要脑部结构均得到完整保留,特别是穹隆等关键部位,因此患者具有良好恢复机会。正如之前所述,患者年龄较轻,但恢复仍需时间。不过,儿童的恢复潜力非常可观。"

飞宇是幸运的,他拥有深爱他、全力呵护他的父母,也遇到了给予新生机会的巴特朗菲教授。但更令人感动的是少年心中始终不灭的信念——"我要战胜疾病!"即使知晓前路艰难,他仍在命运悬于一线的关键时刻,选择勇敢面对。这个直面脑瘤的男孩,展现出非凡的勇气。
战胜胶质瘤需要治疗过程中每个环节的精准配合:治疗方式与时机的选择、主刀医生的技术水平、术后康复与调养措施,各个环节紧密相连,缺一不可。
术前决策阶段:从发现到确定治疗方案
14岁初中时期,飞宇未曾预料偶尔的头痛恶心症状,竟是一场漫长医疗斗争的开始。确诊松果体区肿瘤时,父母并未立即告知孩子。与多数家庭类似,他们担心孩子难以承受——事实上他们自己当时几乎无法保持镇定。但内心再慌乱,行动却必须有条不紊。全家当夜赶往北京。由于肿瘤已引发脑积水,飞宇很快接受脑室分流手术,症状获得缓解。
为何当时未切除肿瘤?父母回忆:"孩子年龄太小,我们存在顾虑,未敢立即手术。虽然听闻巴特朗菲教授的技术,但作为家长,我们仍然犹豫不决。"
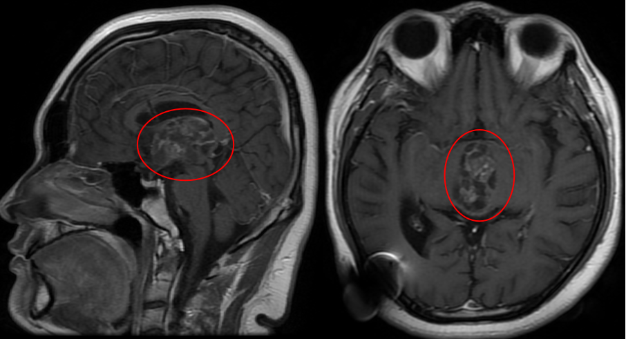
随后他们尝试中医药治疗,可惜效果不佳。现实终究严峻:飞宇在成长,肿瘤也在增大。眼科检查出现复视现象,视力显著下降、视野缺损——MRI检查显示,40毫米的巨大肿瘤已占据第三脑室,正悄然侵蚀少年的未来。

术前MRI检查结果
"今年复查显示肿瘤继续增大,不能再等待。"这次,他们毫无犹豫。恰逢巴特朗菲教授来华交流,从7月31日复查到8月12日手术,仅间隔十余天。"实际上我们从开始就认定要选择最佳治疗方案。这是脑部手术,我们必须给他最好的医疗条件。"
而飞宇,这个即将接受手术的少年,也已做好准备迎接挑战。
高难度手术阶段:脑深部肿瘤的精准切除
这个40×25×31毫米的巨大肿瘤完全占据第三脑室,并从室间孔向下压迫中脑结构,使手术面临多重挑战。首先,手术路径深长且狭窄,需要在切开胼胝体、分离脉络膜裂后,在有限操作空间内精准切除肿瘤,对手术稳定性要求极高。其次,肿瘤导致关键脉络膜裂发生扭曲、变薄,与周围深部静脉系统和丘脑粘连紧密,分离过程中极易引发出血或梗死。再者,肿瘤本身血供丰富且质地坚韧类似橡皮,与第三脑室壁、丘脑、深部血管紧密粘连,只能分块切除或借助超声吸引器(CUSA),强行牵拉容易导致出血或损伤周围组织。

"我将运用四十年积累的经验和技术,为患者争取最佳治疗效果!"北京天坛医院与国际专家巴特朗菲教授的强强联合,确保手术顺利实施。
回顾整个治疗过程,飞宇的母亲感慨道:"切勿拖延。我们家因拖延5年,肿瘤持续生长,孩子承受更多痛苦。肿瘤越小实施手术,预后越好,绝对不能抱有侥幸心理。"
术后康复阶段:身心全面恢复策略
对于胶质瘤患者,手术、放疗、化疗不仅是身体层面的考验,也是心理重建过程。患者可能面临情绪波动、自我认知改变等挑战,此时家庭支持成为康复过程中最坚实的力量。在此分享一些胶质瘤术后家庭护理要点:
保持良好情绪状态,重视心理需求
胶质瘤诊断往往意味着患者和家庭生活的重大改变。疾病带来的不仅是身体挑战,还包括持续存在的心理压力。胶质瘤患者可能担忧治疗并发症、神经功能损伤风险以及未来生活不确定性。这些压力若不被关注和理解,容易发展为焦虑、抑郁等心理问题,进一步影响治疗信心和生活质量。因此家属需要给予充分理解,提供关心、安慰和鼓励,帮助患者正确认识疾病,积极面对未来生活、学习和工作,建立信心,全面推进康复。更多心理健康相关内容,可阅读:胶质瘤导致性格改变,是疾病影响还是心理问题?给家属的研究分享
保持饮食营养均衡
疾病消耗、病痛折磨、手术后身体应激反应等因素,常导致胶质瘤患者存在不同程度营养不良、消瘦、贫血、乏力等症状。应注意提供高蛋白、高热量及富含维生素的易消化饮食,确保营养均衡、种类齐全,多食用新鲜蔬菜和水果。
适度锻炼,接触自然环境
胶质瘤术后,患者通常经历体力和精力较弱阶段,充足休息至关重要,有助身体积蓄力量应对后续治疗。然而随着病情稳定、顺利出院,康复重点应转向"适度活动"。在保证休息基础上,可鼓励患者循序渐进增加日常活动,如户外散步,多接触自然环境。适当锻炼不仅能改善患者食欲、体力、睡眠和精神状态,还能提高生活质量。
定期复查,预防复发
早发现、早诊断、早治疗是改善复发患者预后的关键,定期复查非常重要,有助及时发现复发迹象,避免病情延误,从而改善复发患者预后。
少年意气,可越山海。我们由衷为19岁的飞宇喝彩——能够战胜复杂脑瘤,如此坚强的你,未来何惧挑战?何况这是预后良好的毛细胞星形细胞瘤,手术成功为你赢得了良好预后。愿你在风雨过后,更从容、更坚定地拥抱属于自己的广阔天空,勇敢追寻心中理想,飞向更高、更远的未来!
INC学术交流活动预告
2026年1月24日,INC国际神经外科医生集团旗下世界神经外科顾问团(WANG)成员将再度齐聚上海,举办"第五届世界神经外科顾问团云端峰会"。无论成人或儿童患者,颅内或脊髓病变,涉及肿瘤、血管疾病,抑或开颅、内镜及"双镜联合"等术式......来自欧洲、北美等神经外科各细分领域十余位国际知名专家将齐聚上海。国内神经外科疾病患者无需远赴海外,即有机会与这些专家面对面交流,更有机会接受他们主刀的示范手术,这无疑是神经外科疑难疾病患者的重要福音。

- 所属栏目:胶质瘤
- 如想转载“天坛医院手术随访 | 那个与巨大胶质瘤抗争5年的男孩,赢了!”请务必注明来源和链接。
- 网址:https://www.incsg.com/huanzhegushi/jiaozhiliu/7415.html
- 更新时间:2026-01-08 10:16:54
- 上一篇:年仅2岁的儿子,从确诊胶质瘤到顺利开颅手术,每一步我们都是怎么走过来的?
- 下一篇:没有了


