这种胶质瘤全切后,视力还能保住吗?先来看看这两个故事!
发布时间:2025-10-16 10:55:00 | 阅读:次| 关键词:这种胶质瘤全切后,视力还能保住吗?先来看看这两个故事!
- [案例]60多岁王先生脑干海绵状血管瘤术后2年随访情况
- [案例]当脑海绵状血管瘤引发严重癫痫,应该先解决哪个麻烦?
- [案例]女儿用蓬勃的生命力打败了巨大胶质瘤,我们为她骄傲!
- [案例]曾患脑干肿瘤,开颅手术后1个月回归校园,拿下“三好学
- [案例]30+创业精英突陷“耳鸣噩梦”,听神经瘤疑云背后竟是虚
- [案例]脑膜瘤如“章鱼”盘踞在脑中,视力模糊、嗅觉减退…不
视路-下丘脑胶质瘤(OPHG)主要为低级别胶质瘤,以毛细胞星形细胞瘤为主,此类肿瘤在儿童中更为常见。虽然部分肿瘤仅累及视神经,但多数肿瘤会浸润下丘脑、视交叉及邻近结构。既往研究中,多数学者认为广泛肿瘤切除不可行,因术后视力丧失或严重下丘脑并发症风险较高。因此,放化疗成为治疗此类极具挑战性病变的普遍方式。
然而,巴教授与Di Rocco教授近期联合发表的研究提出了不同结论。他们提供了另一种安全、有效的治疗方式——显微外科手术。与颅内其他部位的低级别胶质瘤类似,INC两位国际教授已通过手术治疗多例视路-下丘脑胶质瘤患儿,积累了极为丰富的临床经验。其中75.0%的病例实现全切与近全切,无死亡病例,术后并发症发生率较低,绝大多数患儿视觉与内分泌功能保持完好或处于令人满意的水平。
这些结果与以往学者发表的研究存在差异。根据巴教授的经验,术前适当的患者选择对取得良好手术结果起到重要作用。因此,研究认为显微外科手术应被视为视路-下丘脑胶质瘤治疗的重要组成部分。同时,患儿应在出现不可逆症状前尽早接受手术,对于具有手术指征的患儿应尝试大体全切除术。为保护功能而进行的部分切除术和再次手术均可能有助于延长无症状及无肿瘤进展的间隔期。

临床案例一:巴教授主刀全切视神经胶质瘤
术前情况
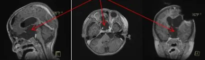
8岁男性患儿因视路-下丘脑胶质瘤导致视力受损就诊。肿瘤位于视路与下丘脑附近,延伸至第三脑室并侵犯梅克尔腔。

手术过程
成功实现肿瘤全切。

术后结果
术后早期CT扫描显示肿瘤完全切除,未出现局部血肿,患儿无额外并发症。术后两周美容效果满意,面部皮肤切口愈合良好。

临床案例二:两位教授联合手术
术前情况
5岁男性患儿患有巨大视路胶质瘤。首次术后鞍区及第三脑室肿瘤残余较大,双侧视神经受肿瘤侵犯,下丘脑严重受压,左侧脑室积水明显,临床症状未获明显改善。由于视神经被肿瘤浸润包裹,完全剥离难度极大,面临失明风险。多家医疗机构认为患儿无法再次手术。

手术过程
为保障患儿安全及提高切除率,巴教授与Concezio Di Rocco教授决定实施联合手术。通过额骨颅骨开颅术和大脑半球间穹窿入路切除肿瘤至Monro孔(室间孔),并沿脑室壁向中脑行进。右侧视神经被肿瘤浸润包裹,但左侧视神经被小心地从肿瘤肿块中剥离,垂体腺和垂体柄得到妥善保护,无术中并发症。第三脑室占位完全切除,鞍上占位基本全切,视神经及周围血管保持完整。

术后结果
拔管后患儿四肢活动正常。在密切监测血钠及液体平衡情况下,调整去氨加压素用药。返回普通病房后,巴教授与内分泌学家协作,使用去氨加压素治疗尿崩症并优化垂体激素替代方案。患儿顺利出院,临床症状较入院前明显改善。

案例来源:巴教授在“2023北京神经外科创新与发展国际研讨会、2023北京天坛医院神经外科中心学术大会”上受邀发表题为“视路-下丘脑肿瘤”的演讲。
- 所属栏目:胶质瘤
- 如想转载“这种胶质瘤全切后,视力还能保住吗?先来看看这两个故事!”请务必注明来源和链接。
- 网址:https://www.incsg.com/huanzhegushi/jiaozhiliu/6829.html
- 更新时间:2025-10-16 10:49:37


