全切与保功能只能二选一?粘连严重、血供丰富的鞍区肿瘤,国际大咖如何精准切除?
发布时间:2026-04-01 10:43:17 | 阅读:次| 关键词:全切与保功能只能二选一?粘连严重、血供丰富的鞍区肿瘤,国际大咖如何精准切除?
- [案例]18岁女孩多发海绵状血管瘤赴德寻求巴教授术后1年随访
- [案例]以为是高原反应,结果脑子里长了瘤——3年后病灶大到急
- [案例]“头痛得脑子都快移位了”他如何摆脱巨大岩斜区脑膜瘤
- [案例]女儿用蓬勃的生命力打败了巨大胶质瘤,我们为她骄傲!
- [案例]命悬一线!45岁女性深夜突发脑出血,看INC 巴教授如何用
- [案例]为了孩子的那句「妈妈」,我拒绝接受「听天命」:室管
当患者被告知鞍区存在肿瘤时,手术风险往往成为首要的担忧问题。这一问题的背后,隐藏着患者深深的恐惧心理:大脑深处的颅底正中位置,小小的区域内密集分布着垂体组织、视神经结构、视交叉区域、下丘脑组织、海绵窦区域,以及颈内动脉、大脑前动脉等关键的神经血管结构。
手术过程中稍有不慎,可能导致患者终生的失明后果、不可逆的失忆状态、激素依赖问题,严重情况下甚至危及宝贵的生命安全。
安娜的故事开始于一个困扰她的发现。在短短三个月的时间跨度里,安娜注意到自己的视力呈现持续下降的趋势,速度明显快于普通的近视发展。她最初认为这只是过度用眼导致的疲劳现象,直到视力模糊程度不断加重才决定就医检查,最终发现了鞍区存在肿瘤的诊断结果。
鞍区为什么被称为神经外科领域的“险峻禁区”呢?要真正理解鞍区手术的特殊风险,首先要理解这片区域有多么的“寸土必争”。
鞍区位于颅底的正中位置,因为其形状酷似马鞍而得名。它的面积相当有限,却如同一个超级复杂的神经血管枢纽,高度密集地“驻扎”着非常重要的颅内结构——垂体是人体关键的内分泌腺体,调控生长激素、甲状腺激素、肾上腺皮质激素、性激素等一系列重要的激素分泌功能。
垂体柄是连接垂体与下丘脑区域的纤细通道,一旦在手术中受到损伤,垂体功能就可能出现永久性丧失的严重后果;视交叉是两侧视神经在此交汇的关键部位,任何压迫或损伤都可能直接威胁视力功能的维持。
下丘脑是控制体温调节、睡眠节律、食欲状况、内分泌平衡的高级中枢结构;海绵窦区域在两侧各有一个,其中内部有颈内动脉穿行而过,还密布着控制眼球运动的第三、第四、第六对颅神经;颈内动脉是大脑前循环系统的主干动脉,任何损伤都意味着灾难性的出血风险。
这些重要结构彼此之间紧密交织在一起,共同维系着一个人的正常视觉功能、内分泌平衡、意识状态和生命系统的稳定运行。
垂体细胞瘤究竟是一种什么样的疾病呢?它与常见的垂体瘤之间存在什么区别呢?垂体细胞瘤与垂体瘤是两种起源完全不同、性质存在差异并且治疗策略有所区别的疾病,其核心区别主要体现在组织来源与生物学行为方面。
垂体瘤来源于腺垂体的内分泌细胞,是鞍区比较常见的肿瘤类型,属于神经内分泌肿瘤的范畴。它可以根据激素分泌状态区分为功能性垂体瘤(如泌乳素瘤、生长激素瘤等)和无功能性垂体瘤,肿瘤通常表现出生长相对缓慢的特性,但也确实存在侵袭性生长的潜能,主要通过药物治疗、手术切除和放疗手段进行综合管理。
垂体细胞瘤则是一种临床比较罕见的低级别胶质肿瘤类型,起源于神经垂体的胶质细胞,属于中枢神经系统肿瘤的范畴。它通常表现为良性性质、生长相对缓慢的非功能性肿瘤特征,临床表现主要是占位效应引起的视力视野缺损问题和垂体功能低下的症状表现。手术全切是实现根治的主要治疗手段,对放疗和化疗等辅助治疗手段敏感性较低。

在所有的鞍区肿瘤中,垂体细胞瘤又具备独特的治疗难度叠加特点。第一重难度在于高度血管化的特征。与大多数良性颅内肿瘤不同,垂体细胞瘤具有极其丰富的血供特点——这意味着一旦在手术过程中切入肿瘤组织,出血情况可能在瞬间呈现失控状态。在确诊之前,影像检查上很难预先判断这一特性,往往要等到手术当中才能发现“打开了一个会大量出血的病灶”,这极有可能迫使手术被迫中止,甚至直接危及患者的生命安全。

第二重难度在于与周围结构的粘连程度严重。垂体细胞瘤常常与垂体柄区域、视交叉组织、下丘脑结构甚至大脑前动脉管壁呈现紧密粘连状态。肿瘤组织和周围正常组织之间的界限往往模糊不清,强行进行分离操作极易造成出血状况或神经功能损伤后果的发生。

第三重难度体现在位置的极度特殊性方面。肿瘤通常位于垂体漏斗的后方位置,周围被穿孔血管环绕,并且视交叉往往已经因为肿瘤的压迫作用而发生了移位变形、组织变薄的情况改变。这意味着手术必须从极其精准的角度进入操作区域,才能在不损伤视神经结构的前提下触达肿瘤目标区域。

第四重难度存在于手术入路抉择的两难境地层面。目前临床常用的鞍区手术入路是内镜经鼻入路技术——创伤相对较小、视野直接明确,是垂体腺瘤手术的主流方案选择。然而,对于垂体细胞瘤而言,内镜经鼻入路技术可能会导致向下丘脑区域和视交叉结构供血的穿孔血管受到严重损伤后果。手术入路的具体选择,直接决定患者的整体预后状况。
安娜的主刀医生,是INC国际神经外科医生集团旗下世界神经外科顾问团成员、世界神经外科联合会颅底手术委员会前主席塞巴斯蒂安·福洛里希教授。在鞍区肿瘤治疗领域,福洛里希教授是国际公认的权威专家人物。面对安娜复杂的病情状况,他没有套用任何标准化的治疗流程,而是为她量身制定了一套具有“定制化”特点的个体化手术策略。
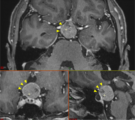
挑战环节一体现在肿瘤与垂体组织、视神经结构的粘连程度严重方面。磁共振影像显示,安娜的肿瘤呈现出球形特点,占据了垂体漏斗后部位置及鞍上间隙区域,与垂体柄区域和正常垂体组织呈现紧密相邻的解剖关系。
视交叉结构因为肿瘤的压迫作用已经出现明显的移位变形、组织变薄的状态改变,动眼神经同样受到一定程度的牵拉影响。肿瘤还与颈内动脉管壁、后交通动脉管壁、大脑前动脉管壁和大脑后动脉管壁呈现紧密粘连状态,术中进行剥离操作的难度极大,稍有不慎就可能引发大出血的紧急状况。
福教授的决策策略是:放弃内镜经鼻入路的选择,转而选择经后岩骨入路的手术方案。这一入路最初由Hakuba等人于1985年提出,主要用于颅咽管瘤的手术治疗过程。由于垂体细胞瘤与垂体漏斗部区域的颅咽管瘤在解剖位置上存在高度相似性特点,这一入路可以提供从后方到前方、从下方到上方、从外侧到内侧的多维度手术视野,能够直接观察肿瘤与周围关键结构的解剖关系状态,有助于从垂体柄的后方区域进入,最大程度地保留垂体功能的完整性,同时增强对穿孔血管的可视化控制程度。此外,该入路引发脑脊液漏并发症风险的概率也相对有限些。
值得关注的是,福教授在手术开始之前就明确了一个核心的治疗原则:手术的首要治疗目标是患者的长期预后状况,而非单纯地追求肿瘤的全切除率。为了保护垂体柄结构和视交叉组织的完整性,他有意地在两者旁边保留了薄薄的肿瘤残留组织——这个重要的治疗决定,是在手术之前便已经经过深思熟虑的权衡判断,而非手术过程中的无奈妥协结果。
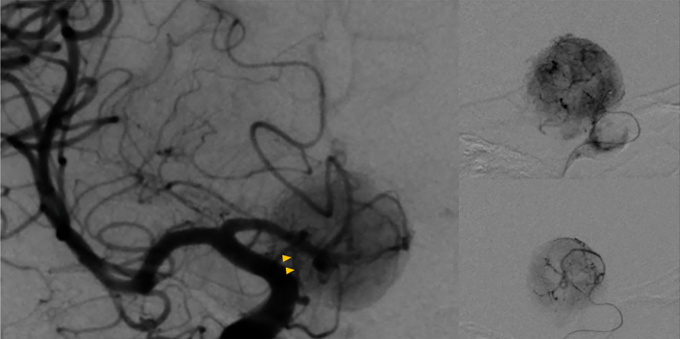
挑战环节二体现在肿瘤血供状态极为丰富、术中出血风险极高的特点方面。针对垂体细胞瘤高度血管化的已知特性,福教授在手术开始之前专门安排了数字减影血管造影检查,精准定位了肿瘤的主要供血动脉——主要来源于左侧的垂体上动脉分支。
福教授作出的决策是:在手术之前进行血管栓塞处理,切断肿瘤的主要血供来源。血管造影结果显示,栓塞后的肿瘤供血动脉重建率达到了百分之九十的水平,栓塞线圈在垂体上动脉内部清晰可见。这一关键步骤为后续的手术操作奠定了安全的血流控制基础——整个手术过程中没有出现任何明显的出血状况及相关并发症的发生。
这套精密的治疗策略为手术提供了坚实的支撑基础。福教授沿着肿瘤组织的边界区域,在垂体柄结构和视交叉组织旁边保留薄层残余后,将肿瘤的主体部分安全完整地进行了切除操作。整个手术过程中,没有发生一次意外的出血状况,没有一根重要神经结构受到明显的损伤影响。

安娜的术后恢复状况令人感到振奋:手术之后没有出现新发的神经功能障碍表现,没有发生内分泌功能的损伤现象,一周之后顺利出院回家进行后续的康复调养。组织病理学检查结果最终证实了垂体细胞瘤的临床诊断结论。

术后六个月进行随访检查时,影像结果显示残余的肿瘤组织没有任何的生长迹象表现。安娜的视力状况逐渐恢复良好状态,又能清晰地看见这个多彩的世界了。
如何理性评估这样的高风险手术呢?手术并非简单的“能不能操作”的非此即彼选择题,而是“如何进行才能最大化治疗效果、最小化潜在风险”的精密度计算过程。
对于鞍区肿瘤的手术治疗,经验丰富的神经外科医生会系统评估以下几个维度的考虑因素:症状进展速度方面要评估视力下降是否呈现持续恶化的趋势?内分泌功能是否已经出现受损的迹象?肿瘤对关键结构的压迫程度,是否已经到了不可继续等待观察的阶段?——这直接决定了手术进行的紧迫程度把握。
肿瘤的解剖关系方面要评估肿瘤与垂体柄组织、视交叉结构、颈内动脉管壁的距离关系和粘连紧密程度,这直接决定了手术的实际可行性和策略选择的合理性。肿瘤的血供特性方面要评估特别是对于高度血管化的肿瘤类型,是否需要术前进行血管栓塞处理?能否安全地进行肿瘤切入操作?这是术前必须明确回答的关键问题。
全切除与近全切除的策略权衡方面要评估特别是对于与关键结构紧密粘连的肿瘤情况,追求全切除的目标可能意味着永久性的神经功能损伤风险。有些情况下,有意识地保留薄层残余组织,正是对患者负责任的专业选择体现——残余的肿瘤组织可以通过后续的放射外科治疗手段进行有效控制,而神经功能一旦遭受损失后果,则往往难以得到完全的挽回。
术者的经验积累与技术储备方面要充分评估鞍区手术操作,极度依赖主刀医生对颅底解剖结构的精深理解能力和长期手术经验的深厚积累程度。经后岩骨入路等高难度手术操作方式,对于许多神经外科医生而言存在着陡峭的学习曲线障碍。这也是为什么众多复杂鞍区肿瘤患者对于手术决策纠结不安的重要原因之一。
鞍区手术的“危险”特性,从来不是一个非黑即白的简单答案问题。它之所以危险,是因为那片区域承载着太多不可失去的人体重要功能。但也正是因为如此,鞍区手术更需要精湛的操作技术、精密的治疗策略,以及清醒的临床判断能力——知道哪些部分必须切除干净,哪些功能必须尽力保留,哪些潜在风险可以通过术前布局设计来有效地化解处理。
面对这样的高风险手术治疗选择,选择什么样的主刀医生、在什么样的医疗团队环境中接受专业治疗,往往比肿瘤本身的性质更能决定患者最终的命运走向状况。
- 所属栏目:垂体瘤
- 如想转载“全切与保功能只能二选一?粘连严重、血供丰富的鞍区肿瘤,国际大咖如何精准切除?”请务必注明来源和链接。
- 网址:https://www.incsg.com/huanzhegushi/chuitiliu/7930.html
- 更新时间:2026-04-01 10:32:58


