侵袭性垂体瘤能治好吗?侵犯海绵窦,也能实现全切与功能保全
发布时间:2026-03-21 21:37:53 | 阅读:次| 关键词:侵袭性垂体瘤能治好吗?侵犯海绵窦,也能实现全切与功能保全
- [案例]刚入院就晕倒!医生紧急在他头上开了2cm小孔,完整取出
- [案例]五分钟内致人瘫痪……脊髓海绵状血管瘤为何如此险要?
- [案例]这个脑瘤切除难度极大?INC福洛里希教授的精湛技艺,完
- [案例]天坛医院手术随访 | 那个与巨大胶质瘤抗争5年的男孩,赢
- [案例]延髓海绵状血管瘤导致多次脑出血致肢体无力,能否治愈
- [案例]脑膜瘤全切记录 | 当肿瘤疯狂“汲取”你的血液,造成神
在颅内众多肿瘤类型中,垂体瘤因其多数为良性且手术预后良好,常被部分患者所“忽视”。然而,当肿瘤突破常规生长位置,向颅底深处极具挑战性的解剖区域——海绵窦侵袭时,临床情况便发生显著变化,治疗策略的选择与手术实施均面临严峻挑战。
当垂体瘤侵入“手术高危区域”:海绵窦
海绵窦因其内部呈现海绵状的静脉腔隙结构而得名,是位于大脑深处、蝶鞍两侧的复杂静脉腔隙。该区域被坚硬的颅底骨骼包裹,内部穿行着决定生命与核心神经功能的“生命线”,构成一个“立体交通枢纽”。
颈内动脉:作为大脑最主要的供血动脉之一,穿行于海绵窦内,一旦术中损伤,可能导致灾难性的致命大出血。
动眼神经、滑车神经、外展神经:控制眼球运动的第三、第四、第六对脑神经在此经过,损伤将引发复视、眼睑下垂乃至眼球固定。
三叉神经:负责面部感觉的重要神经,也与海绵窦紧密毗邻。
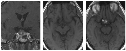
本例患者术前磁共振成像清晰显示,一个大型垂体瘤不仅向上生长压迫视交叉,更向侧方侵袭,侵犯了右侧海绵窦。这意味着,肿瘤已与上述生死攸关的血管及神经结构紧密交织。

术前MR显示患者存在一个大型垂体肿瘤(箭头所示),该肿瘤向上生长并紧密靠近垂体区域(位于鞍上和鞍旁),侵犯海绵窦。
神经内镜技术:照亮“手术盲区”的“高清视野”
面对如此复杂的病例,INC国际神经外科医生集团旗下世界神经外科顾问团成员、世界神经外科学会联合会内镜委员会前主席Henry W.S. Schroeder教授(施罗德教授)选择的“武器”是常规的神经内镜下经鼻蝶入路手术。

01 自然通道入路,实现零脑组织牵拉
手术无需实施开颅操作,而是通过人体天然的鼻腔通道,在鼻内镜的指引下,精准抵达蝶窦,随后打开鞍底骨质,直击肿瘤核心区域。这一入路方式完全避免了传统开颅手术对脑组织的牵拉,从根本上杜绝了由此引发的脑损伤风险,患者术后头痛程度轻,恢复速度更快。
02 内镜广角视野,消除视觉死角
这是本手术的核心优势所在。传统显微镜提供的是“管状视野”,光线沿直线传播,存在固有的视野盲区。而带角度的内镜(例如30°、45°、70°镜),如同可灵活调整的“高清鹰眼”,能让手术医生观察到显微镜下完全无法看到的解剖角落。
在本案例中,Schroeder教授利用70°内镜,清晰观察并完整切除了向鞍上(垂体上方)和鞍旁(侧方,即海绵窦方向)侵袭的肿瘤组织。这些区域在显微镜下是典型的盲区,极易导致肿瘤残留,而内镜技术使其无处遁形,这是实现肿瘤全切、降低远期复发率的关键技术保障。
03 神经导航系统全程护航
在深邃、狭窄的鼻道与颅底结构中,毫米级的精准定位是手术安全的前提。Schroeder教授在术中使用了神经导航系统。该系统如同汽车的实时GPS,将患者的术前影像数据与术中手术器械的实时位置进行融合,在屏幕上以三维形式实时显示器械尖端在颅内的精确坐标。这使得手术路径的规划精确至毫米级别,能够完美避开重要的血管与神经结构,尤其在肿瘤侵犯导致正常解剖结构变形时,导航系统成为外科医生至关重要的“指路明灯”,极大降低了损伤颈内动脉等关键结构的风险。
手术全程精要解析
精准建立手术通道:从右侧鼻腔进入,建立工作通道,内镜下磨除蝶窦前壁骨质,充分暴露鞍底。
安全显露肿瘤:在神经导航实时指引下,精确打开鞍底骨质,切开硬脑膜,白色、质地较脆的肿瘤组织随即暴露于术野。
分块全切肿瘤:在内镜直视下,使用精细的环钻、吸引器和显微钳,分块、仔细地切除肿瘤。内镜提供的近距离、广角视野,让医生能够清晰辨别肿瘤与正常垂体组织、垂体柄、视神经及大脑前动脉的边界,在保护所有正常神经血管结构的前提下,实现肿瘤的彻底切除。
探查“手术禁区”:通过切换不同角度的内镜,特别是70°镜,对海绵窦内、鞍上等显微镜盲区的肿瘤进行仔细探查与彻底切除,确保无肿瘤组织残留。
严密颅底重建:肿瘤完全切除后,可见鞍膈上方的蛛网膜清晰搏动。为预防术后脑脊液鼻漏这一常见并发症,Schroeder教授采用取自患者腹部的自体脂肪组织,严密封填瘤腔及鞍底骨窗。这种自体材料生物相容性佳,无排异反应风险。
微创闭合切口:教授精湛的手术技术确保了无需使用填塞物堵塞鼻腔,患者术后鼻腔保持通畅,可自然呼吸,极大提升了术后舒适度。
术后情况评估:全切、功能保全、微创效果
术后复查的磁共振成像给出了明确的结果:肿瘤被完全切除,受侵犯的海绵窦得到解放,周围所有重要结构均完好无损。患者不仅解除了肿瘤占位压迫的威胁,更保全了全部的神经功能——未出现新增的复视、无视力下降、垂体各项功能维持正常。

术后MRI结果显示,该患者的肿瘤已完全切除,且使用了脂肪组织进行了封闭处理。
后记与临床启示
面对复杂的侵袭海绵窦垂体瘤,的临床理论与实践强调个体化治疗的重要性。需根据患者的具体情况(例如肿瘤的大小、位置、病理类型以及是否分泌激素等),制定差异化的治疗方案,避免“一刀切”的治疗模式。他的研究与临床实践为侵袭性垂体瘤的治疗提供了更为精确的手术策略,并且通过结合现代技术(如神经内镜、微创手术和神经功能监测)显著提高了手术成功率与患者的长期生活质量。

- 所属栏目:垂体瘤
- 如想转载“侵袭性垂体瘤能治好吗?侵犯海绵窦,也能实现全切与功能保全”请务必注明来源和链接。
- 网址:https://www.incsg.com/huanzhegushi/chuitiliu/7843.html
- 更新时间:2026-03-21 21:33:46


