当脑瘤长在危险区域,INC国际专家竟用一双“筷子”从单鼻孔内成功“夹”出
发布时间:2026-04-22 10:20:44 | 阅读:次| 关键词:当脑瘤长在危险区域,INC国际专家竟用一双“筷子”从单鼻孔内成功“夹”出
- [案例]【患者视频采访纪实】为爱守护,不放弃!较大脊索瘤患
- [案例]体检意外检出脑膜瘤,38岁女强人果断手术、全切后7日出
- [案例]年纪大了,听力下降很正常?小心脑干被听神经瘤挤压变
- [案例]脑膜瘤如“章鱼”盘踞在脑中,视力模糊、嗅觉减退…不
- [案例]准妈妈不幸患脑干海绵状血管瘤,与死神抗争、生命和骨
- [案例]视物重影、肢体无力,学霸不幸患脑干肿瘤伴脑干出血,
经鼻颅底手术的历史远比想象中久远——可追溯至约5000年前的古埃及。彼时制作木乃伊时,工匠会将颅内组织经颈静脉孔或髁旁入路取出(需做颈部切口),因为他们认为心、肝等内脏才具有灵魂价值,脑组织则被视为无用。更值得注意的是,在没有任何照明和放大设备的情况下,他们精准地完成了这一操作。发展到后来,甚至出现了经鼻筛窦入路取出颅内组织的做法——这被视为最早的经鼻颅底手术雏形。

一名33岁男性因持续加重的头痛就诊,影像检查发现岩斜区交界处下部有一枚脑膜瘤,大小约29×39毫米。该位置虽然适合采用经鼻内镜手术,但术中大出血和鼻腔解剖结构受损的风险不容忽视,这些问题直接影响患者术后生活质量。为应对这些挑战,福洛里希教授术前为患者实施了动脉栓塞,术中通过右侧单鼻孔内镜经鼻"筷子技术"将肿瘤完整切除。颅底重建阶段则采用蝶窦颅腔化和头端黏膜缝合的方式,逐步降低了并发症发生率,改善了患者的术后生活质量。

低位岩斜区及颈静脉结节脑膜瘤属于罕见肿瘤类别,其中心位于岩斜软骨联合下部及颈静脉结节区域,常累及脑干、基底动脉、外展神经、三叉神经、面听神经、后组颅神经等关键结构。位置的特殊性使手术入路选择充满争议——究竟采用开颅还是经鼻、选择何种入路,目前尚无定论。

目前常用的入路主要包括乙状窦后入路、远外侧经髁入路和经岩骨入路。手术的首要目标是在将神经并发症风险降至最低的前提下实现肿瘤全切。
内镜经鼻入路与开颅手术相比具有一定优势,主要体现在入路相关并发症的减少。具体而言,扩大经鼻入路为中线区域的病变提供了一条从内侧向外侧的独特通道,无需牵拉脑组织,对神经血管结构的直接操作也更少。然而,一旦肿瘤向侧方延伸,经鼻入路的可及范围就会明显受限。
为解决这一难题,针对斜坡腹侧及下部的扩大经鼻入路逐步发展起来。该入路结合了经髁和经颈静脉结节的改良技术,创建出一条传统扩大经鼻经斜坡入路无法到达的侧方通道。
尽管扩大内镜经鼻入路被认为比传统开颅手术创伤更小,但并非没有代价。扩大经鼻入路均需采用经翼突入路并进行广泛的蝶窦开放,这会对鼻腔解剖结构造成明显破坏。此外,对于脑膜瘤等硬膜内病变的重建仍是技术上的主要挑战,通常需要使用鼻中隔瓣进行颅底修复。

经鼻内镜入路常见的并发症包括:鼻腔分泌物过多、幻嗅或嗅觉减退;蝶窦感染、腭咽功能障碍以及鼻腔感染等。
为最大限度降低颅底手术对患者生活质量的影响,福洛里希教授等人提出了一种专门针对低位岩斜区的单鼻孔"非扩大"经鼻入路。该技术的核心在于保留了鼻腔解剖结构的完整性,通过蝶窦颅腔化和头端黏膜缝合避免了鼻中隔瓣的使用。这一方法已发表于论文《Mononostril Endoscopic Endonasal Chopstick Technique for Low Petroclival Meningioma With Sphenoidal Sinus Cranialization and Rostral Mucosal Closure》。

一名33岁男性因进行性加重的颈后部疼痛持续数月就诊。计算机断层扫描发现后颅窝有一枚钙化的轴外病变。磁共振成像确认为岩斜区脑膜瘤(29×39×38毫米),对脑桥和第四脑室产生占位效应,但未见脑积水。综合评估后,团队计划采用右侧单鼻孔经鼻入路进行手术切除。术前对咽升动脉和脑膜垂体干进行了栓塞,术后磁共振成像证实病灶成功去血管化。

图1. A和B,脑部计算机断层扫描及增强磁共振成像的轴位视图,显示一强化不均匀的低位左侧岩斜区脑膜瘤。C,术前咽升动脉和脑膜垂体干的栓塞。D,磁共振成像矢状位视图显示岩斜区脑膜瘤的部分去血管化。

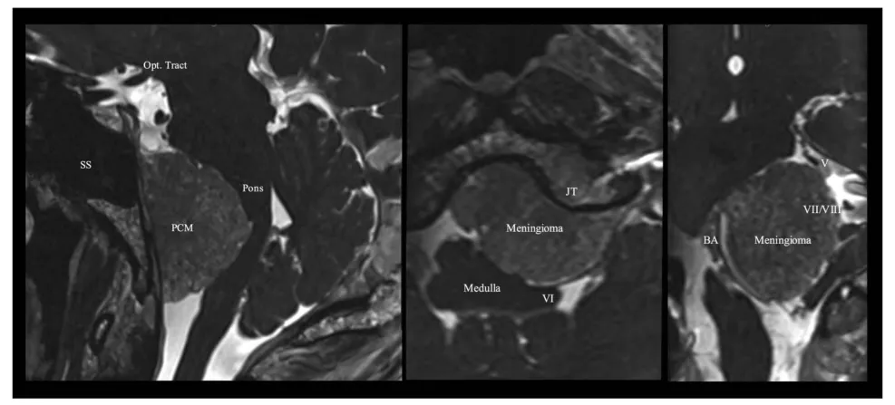
图2. 术前栓塞后,采用稳态构成干涉序列的多平面重建磁共振成像,显示脑膜瘤与神经血管结构的关系。BA,基底动脉;JT,颈静脉结节;Opt. Tract,视束;PCM,岩斜区脑膜瘤;SS,蝶窦;V,第五对颅神经;VI,第六对颅神经;VII/VIII,第七和第八对颅神经。
手术采用内镜"筷子技术"实施右侧单鼻孔入路。经喙侧入路进入蝶窦并识别左侧斜坡旁颈内动脉后,磨除低位近中线斜坡及左侧颈静脉结节,延伸至舌下神经管。在完成肿瘤去血管化后,切开硬脑膜,仔细分离并将病变完全切除。关闭阶段使用腹部脂肪块填塞硬膜内腔隙及蝶窦,随后缝合头端黏膜,并以硅胶片覆盖保持湿润。硅胶支架留置时间为4周。

图3. 术后影像及结果。A和B,术后计算机断层扫描的轴位和矢状位视图,展示了保留鼻腔完整性的单鼻孔目标性入路。鼻中隔、上颌窦、后组筛窦及左侧蝶窦间隔保持完整。C,为显露肿瘤外侧部分,磨除了左侧颈静脉结节。D,蝶窦被颅腔化并用自体脂肪填充,同时缝合了头端黏膜。实现了肿瘤全切,且未检测到脑脊液漏。
术后管理方面,患者床头抬高45度,术后第一天即开始活动,两周内避免平卧。为预防脑脊液漏,在局部麻醉下共进行了3次腰椎穿刺脑脊液引流。抗生素使用持续48小时。术后未出现神经功能缺损、脑脊液漏或感染,患者于一周后出院回家。术后一周进行了计算机断层扫描和磁共振成像检查,术后第二个月进行了第二次磁共振成像检查——两项检查均有所推迟,目的是避免成像过程中过早平卧。两次检查均证实肿瘤被完全切除。
组织学检查结果为WHO I级脑膜上皮型脑膜瘤。术后4周进行内镜随访复查,头端黏膜缝合处完全愈合,无结痂,患者主诉无任何鼻腔不适。

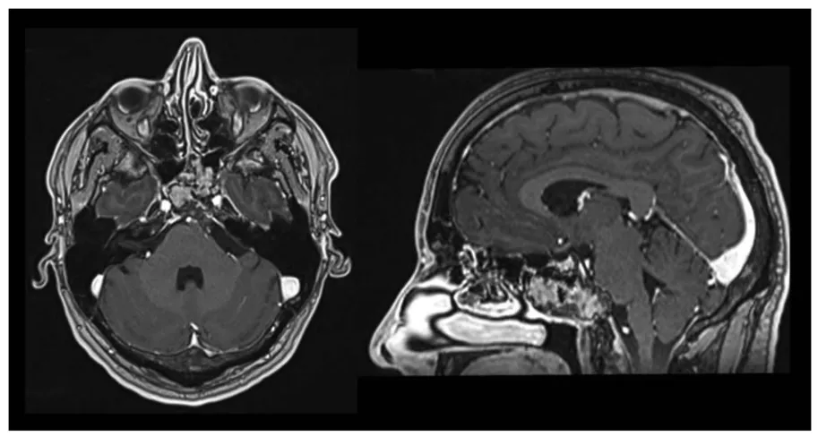
图4. 术后2个月磁共振成像的轴位和矢状位视图,显示脑膜瘤被完全切除,脑干形态恢复正常。蝶窦被颅腔化并用腹部脂肪填充。
"筷子技术"的单鼻孔对侧内镜经鼻入路为到达岩斜区提供了直接通路,使特定岩斜区脑膜瘤的全切成为可能。与双鼻孔技术不同,该入路无需扩大经鼻通道,即可提供到达岩斜区的直接对侧通路。
"筷子技术"核心要点:优势手持主要器械,非优势手持内镜和吸引器,助手负责冲洗和吸引力度的配合;完整的鼻中隔和蝶窦前壁为内镜和吸引器械提供了天然支撑;使得在关键神经血管结构附近进行精确控制成为可能;有效避免了器械间的"剑斗"效应;使内镜能够以极近的距离观察器械尖端。筷子技术的提出者正是福洛里希教授,这也是他的手术哲学——一切为了患者而战。
- 所属栏目:神外资讯
- 如想转载“当脑瘤长在危险区域,INC国际专家竟用一双“筷子”从单鼻孔内成功“夹”出”请务必注明来源和链接。
- 网址:https://www.incsg.com/shenwaizixun/8100.html
- 更新时间:2026-04-22 10:10:17


