功能性大脑半球切除术中,运动通路与皮层内连接的多模态评估
发布时间:2026-03-30 18:28:05 | 阅读:次| 关键词:功能性大脑半球切除术中,运动通路与皮层内连接的多模态评估
- [案例]医生都说脑干手术风险太高,22岁的我为什么坚持要开这一
- [案例]丘脑胶质瘤患者赴德国手术经典案例
- [案例]髓母细胞瘤复发,INC大咖Rutka教授不开颅成功消融
- [案例]儿童恶性脑肿瘤“作恶多端”,治疗方法怎么选?INC国际
- [案例]1岁宝宝全切术后生活如常,室管膜瘤的长期生存率正在持
- [案例]巨大脑瘤无法单次全切?眉弓切口联合鼻腔入路"双路夹
INC国际儿童脑瘤专家、世界小儿神经系统专业期刊《Child's Nervous System》现任主编Concezio Di Rocco教授发表研究论文《Multimodal assessment of motor pathways and intracortical connections in functional hemispherectomy》(功能性大脑半球切除术中运动通路与皮层内连接的多模态评估),以下为该研究的内容简介。

目的
在部分对药物治疗无效的癫痫患儿中,大脑半球切除术往往能够起到显著的治疗作用,已有多项研究证实这一术式可以消除或大幅减少癫痫发作,但问题在于,适合手术的患者如何筛选,目前主要依赖医生的主观经验判断,缺乏客观标准。本研究的目的,正是描述一套多模态评估体系,用以辅助筛选适合接受大脑半球切除术的患者,并探索该体系能否对手术预后进行预测。
方法
研究对象为一名符合癫痫手术适应证、同时合并癫痫性脑病的脑瘫患儿。研究团队系统记录了该患儿手术前后的临床特征,并综合运用多种神经影像学手段加以评估,包括常规磁共振成像(MRI)、功能磁共振成像(fMRI)和磁共振弥散张量纤维束成像(DTI)。与此同时,还通过单脉冲及成对脉冲经颅磁刺激(TMS)进行了神经生理学层面的评估研究。
结果
术前TMS评估结果显示,该患儿双侧上肢的运动功能均集中定位于左侧运动皮层,这一发现与MRI影像学检查结果相吻合,提示右侧半球运动功能存在代偿性重组。值得关注的是,手术完成后,患儿的癫痫控制情况和运动功能同步出现了改善,TMS复测显示皮层内抑制功能与易化活动均有所增强,反映出大脑在术后发生了进一步的功能重塑。

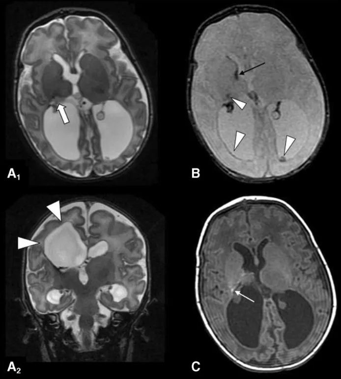
图1:出生后第10天采集的MRI检查结果,影像表现符合Papile III级生发基质出血及脑室周围白质软化的特征。轴位与冠状位T2加权涡轮自旋回波图像显示侧脑室扩张,右侧脑室周围、内囊后肢及丘脑区域可见软化性改变;T2*加权序列在丘脑-尾状核沟水平、内囊后肢及脑室壁可见出血后含铁血黄素沉积;T1加权图像在内囊后肢层面亦可识别微小的正铁血红蛋白沉积。

图2:功能性大脑半球切除术前后的脑电图对比,分别记录了5岁6个月龄时(术前)及术后六个月的清醒与睡眠状态下的脑电表现。

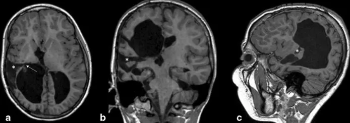
图3:术后MRI随访显示右侧岛周功能断联手术区域的结构变化,图中标注了岛周夹层的范围以及上颞回、中颞回切除后的影像改变,箭头指示内囊离断延伸至侧脑室房部。

图4:直方图展示了通过单脉冲及成对脉冲TMS刺激左侧运动皮层、并于双侧同步记录到的术前与术后神经生理学检测指标的对比结果,可见术后对侧短间隔皮层内抑制和同侧皮层内易化均有所增强,对侧及同侧皮层静息期均缩短(*p<0.05,差异具有统计学意义)。

图5:患者感觉运动结构损伤与功能重组的多模态MRI综合评估。轴位T1-MPRAGE图像显示右侧脑室周围白质软化病变,病变广泛累及中央前回与中央后回,并延伸至丘脑后部及内囊后肢。在DTI微观结构分析中,右侧皮质脊髓束纤维与健侧相比显示不清;纤维束追踪重建亦显示右侧纤维束数量和走行长度明显少于左侧,两侧存在显著不对称。功能评估结果叠加于解剖MPRAGE图像之上显示:右手被动运动及感觉任务均在左侧中央前回与中央后回引发了明确激活;左手被动运动任务在同侧左侧中央前回水平亦触发了激活,但感觉任务未见显著激活;所有任务条件下,右侧大脑半球均未检测到显著激活,图像以放射学惯例方向呈现。
结论
功能性大脑半球切除术是药物难治性癫痫的有效外科干预手段。研究结果表明,术前开展系统性多模态评估,可能为外科医生筛选合适的手术候选患者提供更为客观的参考依据。此外,对患者进行术前与术后的配对评估,有助于加深我们对大脑可塑性机制的认识与理解。
关于作者
Concezio Di Rocco教授是国际知名儿童神经外科专家,现任世界小儿神经系统专业期刊《Child's Nervous System》主编,一生主编、参编了大量儿童神经外科领域的专业著作,学术贡献涵盖儿童颅脑肿瘤、癫痫外科及先天性神经系统疾病等多个方向。

- 所属栏目:神外资讯
- 如想转载“功能性大脑半球切除术中,运动通路与皮层内连接的多模态评估”请务必注明来源和链接。
- 网址:https://www.incsg.com/shenwaizixun/7913.html
- 更新时间:2026-03-30 18:22:24


