他大脑里长了两种完全不同的“胶质瘤”:罕见病例揭示遗传性肿瘤综合征的残酷面孔
发布时间:2026-03-09 12:02:25 | 阅读:次| 关键词:他大脑里长了两种完全不同的“胶质瘤”:罕见病例揭示遗传性肿瘤综合征的残酷面孔
- [案例]不开颅、不放化疗,脑瘤几乎消失!9岁颅咽管瘤女孩如何
- [案例]“你这不像是做了开颅手术吧?”我36岁,大脑4.5cm脑膜瘤
- [案例]较大脑干海绵状血管瘤压迫丘脑疑难成功案例
- [案例]脑干胶质瘤全切术后2年:从消瘦患儿到奔跑少年的康复纪
- [案例]脊索瘤高治愈患者实例两则
- [案例]半年内脑干胶质瘤体积翻倍,术后9天他迫不及待:我想回
一名23岁男性患者因癫痫发作就诊,意外揭示了一个跨越三代家族成员、涉及多种致命性癌症的罕见遗传性疾病。在首次手术切除低级别星形细胞瘤八年之后,该患者于大脑两个独立区域“同时”出现了组织学形态与遗传背景均迥异的新发肿瘤——一处为多形性黄色星形细胞瘤,另一处为弥漫性星形细胞瘤,同时影像学还发现一处可疑的椎旁神经鞘瘤。面对如此复杂且罕见的颅内“多原发”肿瘤,并结合其家族中黑色素瘤、脑胶质瘤及口腔癌高发的沉重背景,基因检测最终明确了罕见的“家族性黑色素瘤-星形细胞瘤综合征”诊断。
本案例援引自INC国际神经外科医生集团旗下世界神经外科顾问团(WANG)成员Mitchel S. Berger教授等人发表的研究《Familial melanoma-astrocytoma syndrome: synchronous diffuse astrocytoma and pleomorphic xanthoastrocytoma in a patient with germline CDKN2A/B deletion and a significant family history》,以下为案例详情分享。


案例分享
患者为一名23岁白人男性,临床首发表现为新发的全面性强直-阵挛性癫痫发作。影像学检查发现其左额叶存在非强化性病变,随后接受了手术切除,术后病理证实为低级别星形细胞瘤。当时未对IDH1/2、ATRX、TP53及BRAF状态进行评估,且该病理标本目前无法用于本次研究的病理复核与基因分析。皮肤科检查未发现牛奶咖啡斑或腋窝/腹股沟区雀斑,但可见散在分布的黑色素细胞痣。此外,未见Lisch结节或皮肤神经纤维瘤。患者母亲健在,无个人肿瘤病史及显著肿瘤家族史。父亲有口咽部多灶性高级别上皮内瘤变病史,曾因口腔鳞状细胞癌接受手术切除治疗。其姐姐于14岁时因胶质母细胞瘤去世,祖父有皮肤黑色素瘤病史,最终死于脑癌。两位叔父健在,一位有皮肤黑色素瘤病史,另一位有口腔癌病史。父系谱系图见图1。

图1. 患者家族及父系谱系图。先证者以箭头标示。SCC = 口咽鳞状细胞癌;LGG = 低级别胶质瘤(弥漫性星形细胞瘤);PXA = 多形性黄色星形细胞瘤。
初次手术后,患者未接受任何辅助治疗,并在随后数年内通过定期脑部磁共振成像进行监测。除因抗癫痫药物依从性差偶有癫痫发作外,患者神经功能完好。初次手术8年后(患者时年31岁)的一次监测扫描显示,在左额叶原切除腔旁出现一个新的结节样强化区域伴出血(图2A, B, C)。
图2. 左额叶切除的多形性黄色星形细胞瘤的影像学与组织学特征。
A, B, C: 左额叶低级别星形细胞瘤初次切除8年后的监测磁共振成像显示,在左内侧眶回原切除腔旁新出现一个7毫米的结节样强化灶。冠状位T2/FLAIR加权像(A)、冠状位T1加权增强像(B)及轴位T1加权增强像(C)。D, E: 苏木精-伊红染色切片显示星形细胞肿瘤伴显著核多形性、大量嗜酸性颗粒小体(箭头)及散在的黄色瘤样肿瘤细胞(胞浆泡沫状)。F: IV型胶原免疫组化染色显示肿瘤性星形细胞间丰富的胶原沉积。比例尺:40微米。

此外,在右小脑半球发现一个新的T2加权及液体衰减反转恢复序列高信号的肿块病变,增强后不强化(图3A, B)。患者接受了左额叶强化结节的大体全切。病理显示为实性、非浸润性的星形细胞肿瘤,伴有显著的核多形性、散在的黄色瘤样肿瘤细胞(胞浆泡沫状)及大量嗜酸性颗粒小体(图2D, E)。核分裂指数低,未发现坏死、微血管增生等高级别组织学特征。IV型胶原免疫组化染色显示丰富的细胞间胶原沉积(图2F)。其他免疫组化染色显示肿瘤细胞ATRX蛋白表达完整/保留,IDH1-R132H突变蛋白阴性。Ki67标记指数约2%的肿瘤细胞阳性。诊断为多形性黄色星形细胞瘤,WHO II级。鉴于此诊断以及PXA可能通过脑脊液在神经轴内播散的潜在风险,右小脑病变被认为是疾病播散的可能表现,抑或是第二原发肿瘤。
图3. 右小脑切除的弥漫性星形细胞瘤的影像学与组织学特征。
A, B: T2/FLAIR加权磁共振像显示右小脑半球高信号肿块病变(冠状位A;矢状位B)。C: 苏木精-伊红染色切片显示弥漫性胶质瘤,由肿瘤性纤维性星形细胞组成,细胞核细长、不规则、深染,浸润于小脑皮层下白质。D: ATRX蛋白免疫组化染色显示肿瘤细胞染色缺失,而包绕其中的非肿瘤性神经元及内皮细胞染色完整,符合体细胞ATRX缺失。比例尺:40微米。

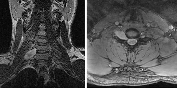
为进一步评估患者,亦进行了脊髓磁共振成像,结果显示右侧C6-7神经孔内有一膨胀性、对比强化的肿块沿C7神经根走行,符合周围神经鞘瘤表现(图4)。左额开颅术后1个月,患者接受了右小脑病变切除术。病理显示为弥漫性星形细胞瘤,由肿瘤性纤维性星形细胞组成,细胞核细长、不规则、深染,浸润于小脑皮层下白质及内颗粒层(图3C)。肿瘤细胞ATRX免疫染色缺失,而包绕其中的非肿瘤性神经元及内皮细胞染色完整,符合ATRX缺失(图3D)。免疫组化检测显示肿瘤细胞IDH1-R132H及组蛋白H3-K27M突变蛋白阴性。Ki67标记指数约5%的肿瘤细胞阳性。诊断为弥漫性星形细胞瘤,WHO II级。考虑到显著的家族史以及存在多种组织学类型不同的脑肿瘤和一处周围神经鞘瘤,建议进行基因组检测。
图4. 颈椎磁共振成像显示髓内硬膜下、髓外肿块,位于右侧C6-C7神经孔中心并沿C7神经根延伸(冠状位T2加权,左图;轴位T1加权增强,右图)。

获得知情同意后,对来自外周血样本、左额叶PXA及右小脑弥漫性星形细胞瘤的肿瘤组织分离的基因组DNA进行了靶向二代测序。此测序在UCSF500癌症基因panel上进行,如前所述,该panel采用基于捕获的二代测序技术,靶向479个癌症相关基因的编码区以及其中47个基因的部分内含子和TERT基因启动子区。
此分析在外周血样本中鉴定出染色体9p21.3区的一个局灶性杂合缺失,大致坐标为chr9: g.21,700,000 – 22,800,000(人类基因组组装GRCh38)(图5)。该缺失包含CDKN2A和CDKN2B两个抑癌基因。左额叶PXA由于另一条含有完整CDKN2A/B等位基因的9号染色体拷贝丢失,导致CDKN2A/B纯合缺失。同时伴有BRAF p.V600E体细胞热点突变。未发现涉及IDH1、IDH2、TP53和ATRX的变异。右小脑弥漫性星形细胞瘤由于9号染色体短臂的拷贝中性杂合性缺失,导致CDKN2A/B纯合缺失。同时伴有PTPN11的热点激活错义突变、NF1抑癌基因的两个失活移码突变以及ATRX抑癌基因的一个失活移码突变。未发现涉及IDH1、IDH2或TP53的变异,也未发现PXA中存在的BRAF p.V600E突变。除了涉及9号染色体的拷贝数变化外,两个肿瘤均未发现其他染色体拷贝数畸变。
图5. 源自靶向捕获二代测序数据的基因组拷贝数分析显示,患者生殖系存在包含CDKN2A和CDKN2B抑癌基因的染色体9p21.3杂合缺失,并在两个星形细胞肿瘤中伴有包含剩余CDKN2A/B等位基因的9号染色体短臂体细胞丢失。
A: 从外周血(上图)、左额叶多形性黄色星形细胞瘤(中图)和右小脑弥漫性星形细胞瘤(下图)提取的DNA全基因组拷贝数图谱,显示9p21的局灶性缺失、PXA中9号染色体的丢失、弥漫性星形细胞瘤中9p的拷贝中性杂合性缺失,但无其他拷贝数改变。B: 9号染色体短臂的拷贝数图谱,突出显示外周血及两个肿瘤中9p21.3局灶性缺失的相同边界。该缺失在外周血中为杂合,而在两个肿瘤中由于另一条9p染色体的体细胞丢失而呈纯合。

生殖系CDKN2A/B失活的存在,加上多个解剖位置、组织学和遗传学上不同的星形细胞肿瘤(均伴有剩余CDKN2A/B等位基因的体细胞丢失),符合家族性黑色素瘤-星形细胞瘤综合征的诊断。该基因诊断进一步得到父系中胶质母细胞瘤和黑色素瘤显著家族史的支持,表明这很可能是患者的一种遗传性而非新发的生殖系变异。患者及其家人已转诊至擅长癌症风险评估的医学遗传学家;但尚未对任何家庭成员进行遗传学评估。鉴于新发现的肿瘤易感综合征,患者已开始建议的癌症筛查,包括每年进行皮肤科、眼科和牙科检查以监测皮肤、眼和黏膜黑色素瘤的发生。他将继续定期接受脑部监测成像。此外,还进行了胸、腹、盆腔成像以排除内脏恶性肿瘤,除目前已无症状、正在接受影像学监测的椎旁周围神经鞘瘤外,未发现其他异常。
案例总结
家族性黑色素瘤-星形细胞瘤综合征是一种由9号染色体短臂21区(9p21)CDKN2A肿瘤抑制基因的生殖系失活性改变引起的肿瘤易感综合征。虽然有些携带CDKN2A生殖系突变的家族仅易患黑色素瘤,但其他家族可同时发生黑色素瘤、星形细胞瘤,偶尔还包括周围神经鞘瘤和脑膜瘤等其他神经系统肿瘤。作为该综合征一部分发生的星形细胞瘤的组织学谱系尚未得到充分描述,且除了生殖系CDKN2A失活外,驱动这些星形细胞瘤发生的其他遗传改变亦不明确。
上述案例,其同时发生多形性黄色星形细胞瘤、弥漫性星形细胞瘤以及影像学符合周围神经鞘瘤的椎旁肿块。其父系家族史具有黑色素瘤、胶质母细胞瘤和口腔鳞状细胞癌。基因组分析显示,患者生殖系存在9p21.3区的杂合缺失,该缺失包含CDKN2A和CDKN2B两个肿瘤抑制基因。多形性黄色星形细胞瘤和弥漫性星形细胞瘤均因另一条携带完整等位基因的9号染色体短臂拷贝发生体细胞丢失,导致CDKN2A/B纯合缺失。其他体细胞改变包括多形性黄色星形细胞瘤中的BRAF p.V600E突变,以及弥漫性星形细胞瘤中的PTPN11、ATRX和NF1突变。生殖系CDKN2A/B失活的存在,加上多个解剖位置、组织学和遗传学上不同的星形细胞肿瘤(均伴有CDKN2A/B缺失的体细胞杂合性丢失),共同支持了家族性黑色素瘤-星形细胞瘤综合征的诊断。这一特殊病例展示了这种罕见胶质瘤易感综合征背景下发生的星形细胞瘤所能表现出的组织学和遗传多样性。
- 所属栏目:神外资讯
- 如想转载“他大脑里长了两种完全不同的“胶质瘤”:罕见病例揭示遗传性肿瘤综合征的残酷面孔”请务必注明来源和链接。
- 网址:https://www.incsg.com/shenwaizixun/7738.html
- 更新时间:2026-03-09 11:55:50


