不开颅、不放化疗,脑瘤几乎消失!9岁颅咽管瘤女孩如何做到?
发布时间:2026-01-13 09:56:54 | 阅读:次| 关键词:不开颅、不放化疗,脑瘤几乎消失!9岁颅咽管瘤女孩如何做到?
- [案例]脑干胶质瘤全切术后2年:从消瘦患儿到奔跑少年的康复纪
- [案例]曾因恐惧瘫痪害怕手术13年,如今奔跑跳跃,术后4年未见
- [案例]全切岩斜坡脑膜瘤:INC国际施罗德教授案例纪实
- [案例]功能区海绵状血管瘤出血,导致肢体无力怎么办?
- [案例]面神经鞘瘤诊疗:9岁患儿CPA区巨大肿瘤全切与神经功能重
- [案例]8岁颅咽管瘤小患儿,手绘画致谢INC鲁特卡教授
颅咽管瘤作为一种具有侵袭特性的良性脑肿瘤,因其易复发、需终身随访及影响发育等特点,在临床治疗领域面临重大挑战。由法国Sebastien Froelich教授等多位国际颅底外科专家共同制定的国际共识声明显示,针对儿童颅咽管瘤的最佳治疗方案尚未达成一致意见。实现疾病控制与保护患儿神经心理发育需求之间的平衡,同时避免下丘脑损伤风险,成为治疗过程中的关键难点。
加拿大儿童神经外科专家Rutka教授曾接诊一名9岁颅咽管瘤患儿,通过非开颅手术方式使肿瘤体积显著缩小,这一案例为儿童颅咽管瘤治疗提供了新的思路。
病例呈现与诊断过程
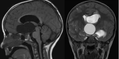
9岁女性患者拉拉平日喜爱自然活动,经常与家人进行户外游玩。某次行程结束后,患者在乘车过程中突发头痛症状。初期被认为是活动劳累所致,但随后数日头痛症状持续存在。就诊时患儿出现视力障碍表现,进一步检查确诊为巨大颅咽管瘤。肿瘤形态类似球形结构,对患者家庭造成重大心理冲击。

微创治疗方案与实施过程
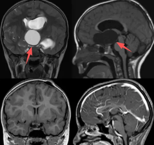
手术治疗是医生建议的主要方案,但患儿家属并未立即接受,而是寻求多家医疗机构的诊疗意见。最终,家属带患者咨询Rutka教授。教授评估认为,由于肿瘤属囊性颅咽管瘤,可尝试采用囊肿分流术替代传统开颅手术以达到肿瘤减容目的。
家属接受该治疗方案后,医疗团队通过植入VP分流器和Ommaya囊实施治疗。在反复按压Ommaya储液囊后,影像学检查显示肿瘤体积明显缩小,几乎达到完全消失的效果。

技术原理与临床价值
Rutka教授在2022年发表的研究指出,采用大面积切除手术或放疗治疗儿童颅咽管瘤可能导致严重并发症。将Ommaya储液囊植入囊性颅咽管瘤是一种微创手术方式,具有并发症发生率低、可即时减压、避免额外损伤等优势,并能有效保留患儿内分泌功能。
该病例证实,对于特定类型的囊性颅咽管瘤,采用Ommaya囊技术可避免传统开颅手术带来的创伤,同时取得良好的肿瘤控制效果。这种微创治疗方法为儿童颅咽管瘤的治疗提供了新的选择,特别适用于无法耐受或不愿接受传统开颅手术的病例。
专家行程更新
Rutka教授2026年来华行程安排显示,将于1月24日开展面对面咨询及手术交流活动。这将为国内相关领域医生提供学习先进微创技术的宝贵机会。
通过此案例可以看出,针对儿童颅咽管瘤的治疗需要综合考虑肿瘤特性、患者个体情况以及长期预后等因素。微创手术技术的发展为这类疾病的治疗开辟了新的途径,但具体方案选择仍需专业医疗团队的全面评估。

- 所属栏目:颅咽管瘤
- 如想转载“不开颅、不放化疗,脑瘤几乎消失!9岁颅咽管瘤女孩如何做到?”请务必注明来源和链接。
- 网址:https://www.incsg.com/huanzhegushi/luyanguanliu/7446.html
- 更新时间:2026-01-13 09:50:56
- 上一篇:“小小英雄”打败近6cm巨大颅咽管瘤!家人的爱支撑着他战无不胜
- 下一篇:没有了


