7岁「低精力」男孩的生活被一张核磁打破!这个脑瘤难的还不止手术
发布时间:2026-02-21 21:55:56 | 阅读:次| 关键词:7岁「低精力」男孩的生活被一张核磁打破!这个脑瘤难的还不止手术
- [案例]70岁,基底节“脑内炸弹”最新随访!INC国际神外教授仅用
- [案例]垂体大腺瘤,再见!INC国际大咖经蝶窦手术让肿瘤无处可
- [案例]86岁高龄为何仍愿意坚定手术?INC福教授“双镜联合”让她
- [案例]当医生因脑干出血呼吸心跳骤停,抢救回一命后,她却几
- [案例]学霸女儿看字重影未引起重视,直至检出脑干出血,方知
- [案例]体检查出无症状脑血管瘤:48岁女高管拒等 “癫痫突袭”
7岁的乐乐常被朋友们戏称为“低精力”男孩。与网络上的“低精力”人群相似,乐乐小小年纪便对周围事物缺乏兴趣,稍作运动便开始喊累并要求休息,这令他的妈妈感到十分困扰:“我看到同龄孩子每天都精力充沛,为何他动不动就喊累,显得毫无朝气呢?”
回顾更早的时期,那时的乐乐完全不是现在的状态,难道是遭遇了什么打击吗?就在妈妈百思不得其解之际,身旁的朋友提醒了她:“不如抽时间带孩子去医院做一次检查。”
一张核磁共振影像揭示真相:低精力表象下的全垂体功能减退
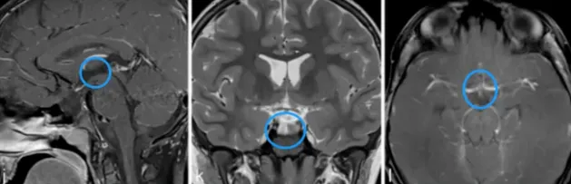
一张核磁共振影像彻底改变了乐乐的生活。原来,“低精力”仅仅是一个表象,更深层的原因在于他生病了。在就诊前的一个月内,乐乐的变化不仅限于疲劳感,体重下降、身高增长停滞、抵抗力降低、头痛呕吐……这些症状接踵而至,共同指向了一个令乐乐妈妈感到陌生的疾病——全垂体功能减退。
垂体功能减退的具体症状取决于所缺乏的是哪一种垂体激素,但其表现通常是逐渐出现的,可能在很长一段时间内不被察觉。典型的情况是几种激素水平同时降低,即全垂体功能减退。
生长激素缺乏:儿童缺乏生长激素通常会导致整体生长发育不良与身材矮小。
促性腺激素(卵泡刺激素与黄体生成素)缺乏:此类激素的缺乏可导致儿童青春期发育延迟。
促甲状腺素缺乏症:可引发甲状腺功能减退,导致意识模糊、畏寒、体重增加、便秘、皮肤干燥等症状。
促肾上腺皮质激素缺乏症:可导致肾上腺功能不全,引起疲劳、低血压、低血糖及应激耐受性下降。这是最为严重的垂体激素缺乏类型,若人体无法生成促肾上腺皮质激素,可能危及生命。
下丘脑疾病:下丘脑是脑部靠近垂体的一个小区域。它负责产生控制垂体的激素与神经冲动。因此,累及下丘脑的肿瘤可能引发垂体激素缺乏。肿瘤还可能影响控制食欲的中枢,导致肥胖。
垂体卒中:垂体卒中是由于垂体的供血血管梗死而引起的一系列症状,可导致组织破坏与出血。症状包括剧烈头痛、颈项强直、发热、视野缺损以及眼球运动障碍。
然而,深入探究之下,乐乐之所以患上全垂体功能减退,根源在于他脑内的一个异常阴影,医生怀疑其为颅咽管瘤。这无异于晴天霹雳,当前若要根治乐乐的全垂体功能减退,势必要切除这个肿瘤。

安全全切是否真的无法实现?男孩的成功治疗带来意外惊喜
随后,医生的话更让乐乐妈妈如坠冰窟:“目前恐怕难以实现肿瘤全切,否则孩子术后可能出现一系列并发症,后续治疗也将变得十分复杂。只能切除一部分,再商议后续治疗方法,尽量延缓复发。”
乐乐妈妈并未急于做出决定。她带着乐乐前往施罗德教授所在的医院,又咨询了其他几家医疗机构,经过数日的思考与商议,最终确定了乐乐治疗的第一步——邀请施罗德教授主刀,采用神经内镜进行手术。
最终,在未实施开颅手术的情况下,施罗德教授竟成功实现了颅咽管瘤的全切!得知消息的乐乐妈妈当场落泪。需要了解的是,颅咽管瘤的总切除率在59%至83.5%之间,术后30天内的手术死亡率仍维持在1.1%至4.2%之间,而安全全切的概率则更低。在乐乐被推入手术室前,她并非没有设想过全切的可能性,但此刻得知施罗德教授真的为孩子实现了全切时,惊喜瞬间席卷了她的全身。

术后两年,乐乐一直坚持定期复查,他的肿瘤并未复发。但鉴于颅咽管瘤的特性,孩子目前接受着术后常规的激素替代疗法。当初的那场手术,不仅让乐乐一家回归了普通生活,也在孩子心中埋下了一颗感恩的种子……
颅咽管瘤治疗解析:挑战远不止于手术本身
在儿童神经外科领域,颅咽管瘤绝对是令医生感到棘手的肿瘤类型之一。因为它虽被归类为良性肿瘤,但治疗过程的复杂程度却与恶性肿瘤难分高下。手术风险大、术后并发症多、全切概率低、复发率又高,这种“自相矛盾”的特征使得其治疗过程极为复杂与坎坷。
自上个世纪以来,颅咽管瘤的治疗核心始终围绕着“如何实现安全切除”。从神经外科先驱库欣开始,医生们尝试了经蝶窦入路、额下入路等多种手术方式,目标在于降低高达29%至41%的手术死亡率。但受限于当时的技术条件,术后下丘脑损伤、脑膜炎等并发症频发,53%的患者出现了下丘脑功能障碍。
显微镜技术的出现,使得肿瘤全切成为可能。当时,儿童颅咽管瘤的全切率最高可达90%,肿瘤复发率与死亡率均大幅下降。然而,另一组数据却揭示了全切背后所付出的代价——它牺牲了患者的生活质量:52%的患者术后出现肥胖,93%的患者发生尿崩症,80%的患者需要终身接受激素替代治疗……
直到外科医生认识到个体化治疗的重要性,它更加温和,也更加多元化。通过结合手术(显微镜或神经内镜)、放疗和囊内治疗,患儿的复发率、生存率与之前相比几乎无差异,但全垂体功能减退的发生率从80%降至24%,肥胖率从23%降至7%,视力恶化率仅为12%。
如今,内镜经鼻蝶手术的发展使得医生能够更精准地切除肿瘤,减少对脑组织的牵拉;质子放疗的应用让高剂量辐射更精确地靶向肿瘤,为仍在发育期的儿童提供更好的认知保护;囊内治疗手段也日益丰富,通过植入Ommaya储液囊,医生可以向肿瘤囊肿内注入干扰素-α等药物,控制囊肿生长,为患儿争取宝贵的发育时间。
颅咽管瘤的治疗,远非一场手术那么简单。术后的激素调节、孩子的心理健康、未来的生活质量,都是家长与照护者需要考虑的方方面面,而手术的成功往往只是这场漫长战役的第一枪。
INC 国际小儿神经外科专家

- 所属栏目:颅咽管瘤
- 如想转载“7岁「低精力」男孩的生活被一张核磁打破!这个脑瘤难的还不止手术”请务必注明来源和链接。
- 网址:https://www.incsg.com/huanzhegushi/luyanguanliu/7633.html
- 更新时间:2026-02-21 21:51:48


