丘脑海绵状血管瘤:放疗后反而出血?手术和放疗该怎么选?
发布时间:2025-12-30 10:59:55 | 阅读:次| 关键词:丘脑海绵状血管瘤:放疗后反而出血?手术和放疗该怎么选?
- [案例]儿童频繁发呆正常吗?11年后终确诊:"竟是脑瘤所致!"
- [案例]高血压竟致脑干出血!70岁的她呼吸衰竭命悬一线,如
- [案例]听神经瘤遇上颈静脉球高位?INC川岛教授如何破解手术困
- [案例]INC两大国际教授深度剖析 | Kawase入路 vs 内镜经鼻入路,哪
- [案例]脑动脉瘤是真还是假?成功夹闭,防止破裂出血才是“真
- [案例]脑干出血术后,偏瘫、面瘫与吞咽功能可否恢复?他勇闯
在神经外科领域,丘脑海绵状血管瘤被视为一种特殊且风险较高的疾病——其位置深在、功能关键,一旦发生出血可能导致偏瘫、感觉障碍等严重并发症。面对"手术切除"与"放射治疗"两种方案的选择,常常使医生和患者家属陷入决策困境。
26岁的患者扎克同样面临这一难题,他因突发剧烈头痛被发现丘脑病变,当地医生为其安排了放射治疗。然而一年后复查显示病灶依然存在,且出现近期出血征象。
放射治疗后病灶持续出血的原因分析
26岁的扎克突发剧烈头痛、呕吐,伴随意识状态进行性下降,被亲友紧急送医救治。
头颅CT检查显示其丘脑区域存在出血性病灶,初诊医生判断为"丘脑肿瘤",遂决定进行放射治疗。

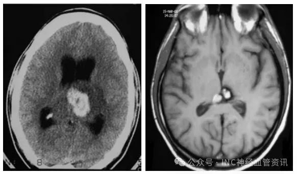
图1,左图:头颅CT扫描显示初诊为丘脑肿瘤的病变;右图:接受40Gy分割放疗一年后,磁共振成像将左丘脑病变重新评估为丘脑海绵状血管瘤。与未照射的对照海绵状血管瘤组织样本比较,可见治疗后病变间质存在内皮细胞破坏和显著纤维化表现。
尽管预期放疗能消除病灶,但一年后患者症状复发。新的磁共振检查结果推翻了初始诊断:该病灶实为丘脑海绵状血管瘤!更为复杂的是,放疗不仅未解决问题,反而出现病灶持续出血的情况。
最终通过开颅手术成功切除病灶,术后病理检查发现:放疗后的血管瘤组织中,血管内皮细胞遭受破坏,周围组织呈现严重纤维化,并形成瘢痕组织,同时存在大量含铁血黄素沉积(提示反复微量出血)——这些均为放疗引发的组织损伤表现,反而使血管结构更脆弱,增加出血风险。

图示:40Gy放射治疗后的丘脑海绵状血管瘤组织样本:显示明显的含铁血黄素色素沉着,提示放疗后新生毛细血管出现微出血现象。
丘脑海绵状血管瘤治疗方案的比较分析
丘脑可被视为大脑的"信息中转中枢"。该结构深埋于大脑中央,左右各一,几乎所有传入大脑皮层的感觉信号(除嗅觉外)均需在此进行整合处理,再精确传递至相应脑功能区。
正因其功能关键、结构复杂,且周围分布重要神经核团与血管网络,此区域手术一直被视作高风险区域,操作稍有不慎可能导致偏瘫、感觉障碍等严重后遗症。

丘脑海绵状血管瘤虽属罕见疾病,但危害性极大。其主要风险在于出血,年出血率约为2.8%-4.1%,高于某些浅表部位血管瘤。一旦出血,常导致灾难性神经功能缺损(如偏瘫),且首次出血后再出血风险显著升高。
临床实践中,丘脑海绵状血管瘤的治疗主要围绕两种方案:手术切除与放射治疗。手术切除可从根本上消除出血风险,但由于丘脑位置深在、功能重要,手术致残风险较高;放疗无需开颅,看似"微创",但存在病灶残留、再出血的潜在风险——这成为医患双方决策的核心难点。
放射治疗的作用机制与潜在风险
许多患者和家属对"放疗"存在"无需开颅、安全性高"的认知,但其作用原理及潜在风险需客观评估。
立体定向放射外科的治疗原理是通过聚焦高能量射线,精确照射病变组织,促使血管内皮细胞损伤、缓慢增生闭合,最终达到"封闭"畸形血管团的目的。该技术虽广泛应用于脑肿瘤、血管畸形等疾病,但并非适用于所有情况——特别是丘脑海绵状血管瘤。

需要注意的是,高剂量辐射具有双重效应。可能引发脑水肿、放射性坏死、诱发胶质增生和毛细血管扩张等并发症。对于海绵状血管瘤,放疗后病灶中心可能形成空腔并积血,影像学上可表现为混合信号、囊实性变化的复杂形态。
更重要的是,放疗起效缓慢,通常需要数月到数年时间。在此期间,病灶仍有出血风险。如本文案例所示,放疗虽可能造成血管闭塞和纤维化,但同时也刺激了脆弱新生血管形成,未能完全杜绝再出血风险。
巴特朗菲教授治疗丘脑海绵状血管瘤的技术要点
早在1991年,INC国际脑血管专家巴特朗菲教授已在《深部海绵状血管瘤的显微外科手术:26例病例报告》中,系统总结了包括2例丘脑部位在内的26例深部海绵状血管瘤手术治疗经验。

所有病例均实现完全切除,且无新增永久性神经功能缺损。巴教授团队强调成功的关键因素包括:
精密的手术入路设计:根据病灶具体位置,选择最直接、对正常脑组织牵拉最小的手术路径
精湛的显微外科技术:在显微镜下精细分离畸形血管团与周围重要脑组织、神经和血管结构
彻底切除病灶及异常引流静脉:确保无残留,从根本上预防复发
巴教授的研究证实,即使是丘脑、脑干等"手术禁区",通过个体化入路设计、娴熟的显微技术和丰富经验,也可实现安全全切,获得良好预后。
治疗决策的综合评估
回归核心问题:丘脑海绵状血管瘤应选择手术还是放疗?答案并非简单二选一,而需进行个体化精准决策。
对于症状明显、反复出血、占位效应显著的患者,特别是年轻患者,显微外科手术全切应作为优先考虑的根治性方案,前提是选择具有丰富深部手术经验的神经外科团队。
放疗可作为手术风险极高、无法耐受手术或病灶残留时的补充治疗选择,但需充分告知其起效缓慢、仍存出血风险、可能引起放射性损伤等局限性。
治疗成功的希望建立在深刻理解疾病特征与医疗技术持续突破的基础上。无论选择何种方案,都应在经验丰富的多学科团队指导下,为患者制定最安全、最有效的个体化治疗方案。
参考文献:
Nyáry I, et al. Histopathological findings in a surgically resected thalamic cavernous hemangioma 1 year after 40-Gy irradiation. J Neurosurg. 2005.
Bertalanffy H, et al. Microsurgery of deep-seated cavernous angiomas: report of 26 cases. Neurosurgery. 1991.
- 所属栏目:脑血管瘤
- 如想转载“丘脑海绵状血管瘤:放疗后反而出血?手术和放疗该怎么选?”请务必注明来源和链接。
- 网址:https://www.incsg.com/naoxueguanliu/7355.html
- 更新时间:2025-12-30 10:53:57


