失踪的8小时:男子外出彻夜未归,隐藏的脑血管"杀手"竟让他在寒夜倒地昏迷!
发布时间:2025-11-29 09:59:04 | 阅读:次| 关键词:失踪的8小时:男子外出彻夜未归,隐藏的脑血管"杀手"竟让他在寒夜倒地昏迷!
- [案例]较大脑膜瘤患者感谢INC和巴特朗菲教授
- [案例]医生手抖0.1毫米或致面瘫?16岁少年脑干桥脑海绵状血管瘤
- [案例]儿童丘脑胶质瘤手术凶多吉少?INC国际Rutka教授迎难而上,
- [案例]300+成功案例!让这种脑干肿瘤走出禁区,原来手术才是“
- [案例]INC德国巴特朗菲教授揭秘:脑干海绵状血管瘤出血风险与
- [案例]脑内血流搭上“直通车”该怎么办?Lawton教授7步拿下胼胝
寒冷冬夜,42岁杜先生彻夜未归,经整夜搜寻未果。次日上午10时,患者被发现在自家农场站立,呈现步态不稳、意识模糊状态。令人震惊的是,其手指布满创伤痕迹。家属最后一次见到患者为凌晨2时,这意味着其在严寒环境中已失联长达8小时,生命体征处于危险状态。
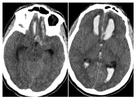
病因最终明确位于颅内:急诊CT检查(图1)显示前交通动脉动脉瘤破裂,伴发大面积脑实质出血、蛛网膜下腔出血及脑室内出血,同时发现左侧鞍旁段颈内动脉存在小型未破裂动脉瘤。手部伤痕经检查推断为夜间昏迷期间遭小型动物啃咬所致。

(图1:前交通动脉瘤破裂引发广泛脑实质、蛛网膜下腔及脑室内出血的CT影像表现)
医疗团队立即开展抢救:首先实施脑室引流术缓解脑积水,随后紧急行动脉瘤夹闭术,同期处理手部创伤。
冬季突发意识障碍需高度警惕,其背后可能隐藏动脉瘤破裂等严重脑血管意外。

案例来源:INC国际神经外科医生集团旗下世界神经外科顾问团(WANG)成员William T. Couldwell教授。
冬季脑血管疾病发病机制分析
冬季脑血管疾病高发主要与以下两方面因素相关:
气温骤降与空气干燥导致体内水分流失,血液粘稠度升高
冷刺激引发血管收缩,导致动脉血管痉挛,血压上升,增加大脑负荷
脑血管疾病分类与预警信号
脑血管疾病主要包括缺血性与出血性两大类别,以及头颈部动脉粥样硬化、狭窄或闭塞等其他类型。其中缺血性脑血管病涵盖急性缺血性卒中(脑梗死)、慢性脑缺血等;出血性脑血管病包括脑出血、蛛网膜下腔出血等。
出现以下症状需引起警惕:
反复发作性头痛
室内外温差易导致脑血管舒缩功能紊乱;高热量饮食偏好可能引起血脂异常;加之冬季易出现疲劳及睡眠障碍,均可诱发头痛。若头痛频繁发作,建议及时评估脑血管健康状况。
持续性手脚冰凉麻木
寒冷环境下机体自动减少末梢血流以维持核心体温,导致手脚冰凉麻木。通常经活动或保暖后可缓解,若持续不改善需警惕脑血管病变可能。
肢体无力或活动障碍
低温引起的血管收缩及血液循环障碍,可能诱发脑血管痉挛或血栓形成,导致肢体无力。血液粘稠度增加也会提升血栓风险,严重时可引发脑卒中。
血压控制困难
寒冷刺激导致血管收缩、血流阻力增加;交感神经兴奋引起心率加快;活动减少及出汗减少导致血容量增加,均可引起血压升高。频繁出入温差大的环境还可能引起血压剧烈波动,增加脑出血风险。
情绪异常或性格改变
冬季日照减少使褪黑素水平升高,影响血清素合成(该神经递质具有情绪调节作用)。加之户外活动及社交减少,可能引发情绪低落,这些表现与脑血管健康密切相关。
秋冬季脑血管疾病防治建议
规范药物管理:既往确诊患者需遵医嘱服药,定期监测血压、血糖及血脂水平
调整生活方式:保持低盐低脂饮食,增加蔬果及豆类摄入,戒烟限酒,维持排便通畅
适度室内运动:选择慢跑、羽毛球等运动,老年人避免清晨低温时段户外锻炼
保持情绪稳定:注重心理调节,加强亲友交流,避免长期情绪压抑
注意保暖作息:及时增减衣物,晨起时动作放缓,避免体位突然变化,加强头足部保暖
定期体检随访:有家族史者建议年度体检,出现头晕、视物模糊、肢体麻木、言语不清等症状应及时就医
- 所属栏目:脑血管瘤
- 如想转载“失踪的8小时:男子外出彻夜未归,隐藏的脑血管"杀手"竟让他在寒夜倒地昏迷!”请务必注明来源和链接。
- 网址:https://www.incsg.com/naoxueguanliu/7147.html
- 更新时间:2025-11-29 09:54:02
- 上一篇:功能区脑海绵状血管瘤手术风险有哪些?
- 下一篇:为什么脑血管疾病会在冬季多发?


