儿童胶质瘤都是恶性吗?6大胶质瘤类型和治疗选择,INC国际小儿神外大咖深入解读
发布时间:2026-02-22 14:14:55 | 阅读:次| 关键词:儿童胶质瘤都是恶性吗?6大胶质瘤类型和治疗选择,INC国际小儿神外大咖深入解读
- [案例]脑出血后:从静止风险到功能恢复——一例丘脑海绵状血
- [案例]8岁孩子胸髓T3-脑干巨大胶质瘤,如何一次手术精准全切?
- [案例]功能区胶质瘤手术风险大不大?
- [案例]产后2个月头痛至无法站立,检查发现“脑瘤”从8mm猛增至
- [案例]期盼许久的退休生活,竟以一张“脑瘤”病危通知书开场
- [案例]脑干开颅术后无痕?从病危到自如行走的23天
神经胶质瘤构成儿童群体中常见的脑癌类型,该疾病呈现高度异质性,其范围涵盖从良性的WHO组织病理学I级、II级到恶性的WHO III级、IV级。病理组织学特征与肿瘤位置属于关键预后因素,二者共同影响手术干预决策及潜在肿瘤切除范围。
INC国际神经外科医生集团旗下世界神经外科顾问团(WANG)成员、世界神经外科学院前主席、儿童神经外科权威James T. Rutka教授,曾发表学术论文对儿童胶质瘤的组织学特征、发病位置、手术策略及相关预后因素进行了深度剖析。

INC旗下加拿大James T. Rutka教授的研究论文
Rutka教授总结指出:针对低级别神经胶质瘤,外科手术全切仍被视为最佳治疗选择。
与成人相比,儿童高级别胶质瘤的治疗仍面临重大挑战。对于非脑干高级别胶质瘤,手术目标通常是实现最大程度的安全肿瘤切除,但该策略在弥漫性桥脑神经胶质瘤中通常无效。因此,大多数高级别胶质瘤病例需要制定高度个体化的治疗方案。对视神经胶质瘤患者的手术干预方式包括活检、次全切除或肿瘤全切。
常见类型与临床表现解析
在儿童群体中,最为常见的脑瘤类型为良性低级别胶质瘤,具体涵盖毛细胞星形细胞瘤(PA)、室管膜下巨细胞星形细胞瘤(两者均属WHO I级)以及弥漫性星形细胞瘤(WHO II级)。WHO III级(例如间变性星形细胞瘤)与IV级(多形性胶质母细胞瘤)的高级别神经胶质瘤在儿童中相对少见。这些肿瘤与弥漫性桥脑神经胶质瘤共同构成所有小儿脑肿瘤的约20%至25%。高级别胶质瘤在婴儿期罕见,其发病率随年龄增长而增加,在青少年阶段达到高峰。
小儿颅内神经胶质瘤患者的普遍症状包括易怒、发育迟滞和头围过大等。其他体征通常与肿瘤的特定位置相关,例如皮质病变可引发癫痫发作,脑干病变可能导致颅神经功能障碍,而脑脊液流动受阻则可引起脑积水。
低级别胶质瘤
低级别胶质瘤属于一类异质性肿瘤,临床上常表现为无症状,经规范治疗后其10年生存率可达80%。最常见的低级别胶质瘤包括后颅窝星形细胞瘤(占所有中枢神经系统肿瘤的15%至25%)和大脑半球星形细胞瘤(占所有中枢神经系统肿瘤的10%至15%)。低级别胶质瘤也可出现在中线结构(如丘脑、胼胝体、下丘脑和脑室区域)以及视神经通路附近或内部,约占所有中枢神经系统肿瘤的10%至20%。根据临床表现与影像学特征,还有多达20%的脑干肿瘤被诊断为低级别胶质瘤。
毛细胞星形细胞瘤是儿童年龄组中常见的神经胶质瘤亚型,主要发生于幼儿(中位年龄为4岁)。PA在后颅窝、视神经通路、背侧外生性脑干肿瘤中占比较大,在T1加权磁共振成像上通常表现为低信号的囊性肿块,其强化部分显示明亮增强(见图1)。

图1:患儿术前(a)与术后(b)颅脑磁共振成像对比。术前影像显示右侧丘脑区域存在巨大囊实性占位,提示胶质瘤可能,可见皮质脊髓束(负责人体肢体运动的神经传导束)受压及脑室扩大。术后影像证实肿瘤已实现全切,脑组织复位良好,未见脑出血、脑水肿等手术损伤征象。
低级别胶质瘤的神经外科切除术为明确病理诊断提供了组织样本,同时也为安全地最大程度减轻肿瘤占位效应创造了机会。
对于位于大脑半球、小脑、局灶性背侧外生性脑干、颈髓等部位的肿瘤,特别是WHO I级肿瘤,肿瘤全切是首选的治疗方法。
通常可以沿着清晰的肿瘤边界进行仔细解剖,从而将PA从周围脑组织中完全分离并切除。
低级别胶质瘤的切除范围是临床预后的重要预测指标。
当肿瘤切除程度超过95%时,患者的5年与10年生存率在75%到100%之间波动。研究显示,接受肿瘤全切治疗的低级别胶质瘤患者,其10年无进展生存率为100%,而接受次全切治疗的患者则为67%至81%。尽管手术切除可以控制肿瘤进展,但仍建议进行密切的术后临床与影像学随访,以便及时发现肿瘤可能的复发或进展。
视神经通路/下丘脑低级别胶质瘤
视神经通路/下丘脑胶质瘤是典型的低级别星形细胞瘤,可发生于视神经通路的任何位置,也可能累及下丘脑。这类肿瘤相对罕见,通常于儿童期发病,其中20%至30%的病例与1型神经纤维瘤病相关。从惰性的毛细胞星形细胞瘤到更具侵袭性的毛细胞粘液样星形细胞瘤,甚至是罕见的侵袭性高级别胶质瘤,视神经胶质瘤在生长潜力上往往表现出相当大的差异。
视神经胶质瘤常见的初始症状是视觉功能障碍,例如视力下降和视野缺损。前部病变直接累及眶内视神经,使患者容易出现眼球突出、斜视和单眼视力缺陷。后部病变则倾向于导致双侧视野受累,使得眼球震颤和内分泌病变的发生率有所增加。视觉诱发电位是一种有用的辅助评估手段,可用于评估幼儿的视觉系统功能。部分患者还可能表现出颅内压升高的特征,这通常继发于脑积水。约有21%的视神经交叉-下丘脑胶质瘤患者会出现间脑综合征,其表现包括恶病质、脑白质异常、眼球震颤和视觉通路缺陷等。

对于前部视神经胶质瘤病变,进行手术的主要指征是为已经失明或视力极差的患者处理眼球突出症。局限于眶内视神经及部分视神经管内的视神经胶质瘤,几乎可以通过手术达到治愈。这些病变可通过单侧额下入路,经硬膜外磨除眶顶后,将视神经后方切至距视交叉3-5毫米,前方切至眼球后方,从而实现肿瘤切除。
视神经通路胶质瘤后部病变的手术更具挑战性。目前已描述多种治疗该区域肿瘤的手术入路,包括额下入路、颞下入路、经胼胝体入路和前半球间入路。具体选择取决于肿瘤的精确位置以及外科医生的经验与偏好。由于邻近结构(视神经束、丘脑、下丘脑和脑干)极为脆弱,因此实现肿瘤全切的难度很高。
手术后,必须对患者进行严密监护。如果患者出现复发性或进行性病变,则还需考虑进行挽救性手术、放疗或临床试验性化疗方案。同时,必须在潜在治疗获益与可能的治疗相关并发症之间进行审慎权衡。
脑干胶质瘤
脑干低级别胶质瘤是一组异质性肿瘤,可以根据解剖位置和临床行为进行分类。主要确定三大类别:(1)中脑(顶盖或被盖);(2)桥脑(背侧外生性、局灶性和弥漫性内生性桥脑胶质瘤);(3)颈髓肿瘤。在这些病变中,弥漫性内生性桥脑胶质瘤和某些局灶性脑桥脑干神经胶质瘤通常属于恶性。
● 顶盖胶质瘤
顶盖胶质瘤是一种病程良性、生长惰性的肿瘤。患者通常表现为颅内压升高,这是由于肿瘤靠近或阻塞中脑导水管,继发了梗阻性脑积水。积极治疗是避免肿瘤恶化的关键步骤。
● 被盖脑胶质瘤
被盖脑胶质瘤是位于中脑的脑干神经胶质瘤,通常导致儿童出现局灶性单侧肢体无力,以及影响眼外肌运动的上颅神经麻痹。

毛细胞星形细胞瘤常发生于此位置,可以通过经侧裂入路、经颞叶入路或经胼胝体半球间入路进行神经外科手术切除。
如果无法实现手术全切,可辅以化疗和/或放疗进行后续治疗。
● 背侧外生性脑桥胶质瘤
背侧外生性脑桥胶质瘤起源于第四脑室底的室管膜下胶质细胞,通常向阻力最小的方向生长,进入脑室腔和蛛网膜下池。儿科患者通常表现为眼外肌功能障碍,这是由于桥旁网状结构受累所致。这些良性病变在磁共振成像上通常表现为相当大的肿块,有时可能类似于小脑星形细胞瘤。然而,与小脑星形细胞瘤不同的是,背侧外生性桥脑胶质瘤在阻塞第四脑室后,直到病程晚期才会产生脑积水。手术的目标应该是最大程度地切除肿瘤,同时最小化手术并发症。
为了更加安全、彻底地切除肿瘤,必须在术中持续使用对运动、感觉和脑神经功能的神经生理监测。
神经外科手术的另一个关键要点是不要超出第四脑室的预期解剖位置,以避免发生新的颅神经功能障碍并增加其他神经功能缺损的风险。神经外科手术切除后,可根据需要辅以化疗和放疗。

背侧外生性脑桥胶质瘤
● 儿童颈髓胶质瘤
儿童颈髓胶质瘤典型表现为进行性加重的共济失调和下颅神经功能障碍。神经外科切除术在患者管理中起着重要作用,但应在配备极高精度显微神经外科手术设备并持续进行术中神经生理学监测的条件下进行,其目的是实现最大程度的安全病变切除。许多患者将需要术后化疗和/或放疗(见图2)。此外,随着时间的推移,患有此类肿瘤的儿童可能需要某种形式的枕颈稳定性手术。

图2:一名7岁儿童浸润性颈髓肿瘤的矢状位增强T1加权磁共振成像 (a)。活检及组织病理学诊断为低级别肿瘤,尽管使用了化疗(b)和放疗来控制肿瘤生长,但肿瘤仍在进展。
致痫性肿瘤
致痫性肿瘤主要属于胶质细胞和神经细胞混合成分的胶质神经元肿瘤一类。这些罕见的病变以癫痫发作为主要症状。手术切除后患者的预后通常极好。
● 神经节神经胶质瘤
神经节神经胶质瘤(WHO I级)是最常见的致癫痫性肿瘤,尽管它仅占所有脑肿瘤的1%至4%。它往往发生于具有长期药物难治性癫痫病史的儿童和年轻人中。复杂部分性发作最为常见。尽管神经节神经胶质瘤倾向于出现在颞叶,但它可发生在神经轴的任何部位,包括颈髓连接处、松果体区和鞍上区域。颞叶外的位置与组织学异型性和间变性相关(间变性神经节神经胶质瘤;手术是这些肿瘤的主要治疗手段[见图3])。虽然有报道称存在恶性转化可能,但其通常是良性的。幕上神经节神经胶质瘤通常可以实现手术全切,因此是可治愈的,并为约80%的患者带来了Engel I级(无癫痫发作)的结局。为了进一步改善癫痫发作的控制,建议进行脑病灶切除联合邻近颞叶新皮质切除术。实现肿瘤全切的主要障碍是肿瘤的中线位置(如脑干),其他限制因素包括肿瘤边界不清、靠近重要功能皮层以及浸润了关键结构。

图3。一名11岁患儿,右颞部肿瘤表现为多发囊肿并伴有明显强化的实性瘤体部分。术前与术后轴位T1加权磁共振成像对比,提示肿瘤被完全切除,最终病理诊断为神经节神经胶质瘤。
● 胚胎发育不良性神经上皮肿瘤
胚胎发育不良性神经上皮肿瘤是第二常见的胶质神经元肿瘤。典型表现为一种位于皮质基底的幕上病变,易累及颞叶,并伴有慢性局灶性癫痫。通常在CT或磁共振成像上既没有强化,也没有明显的占位效应或血管源性水肿。病灶表面的骨质可因长期压迫而呈扇形改变。约20%至30%的病例可见钙化。组织学上,胚胎发育不良性神经上皮肿瘤可能被误诊为少突胶质细胞瘤,因为前者含有类似少突胶质细胞的细胞。这些肿瘤的边界通常易于分辨,因此可以通过手术切除。部分切除的肿瘤进展率虽低,却可能与持续或复发的癫痫发作有关。对于进展性或复发性胚胎发育不良性神经上皮肿瘤,可以采用重复手术治疗,因此通常不需要辅助治疗。

胚胎发育不良性神经上皮肿瘤
高级别胶质瘤
儿童期高级别胶质瘤的病因尚未完全明确,但已确定某些危险因素,包括既往接受过放射线照射以及存在某些遗传性家族综合征,例如Li-Fraumeni综合征、Turcot综合征和1型神经纤维瘤病。儿童高级别胶质瘤的分子谱已被描述为与成人不同。非脑干(主要是幕上)和脑干(以弥漫性内生性桥脑胶质瘤为代表)病变的生物学行为、治疗和结局往往存在差异。然而,无论原发部位如何,这些边界不清、高度浸润的肿瘤都极难治疗,这对任何儿童神经肿瘤学家都是一个重大的挑战。
患有高级别胶质瘤的儿童的症状与良性肿瘤中发现的症状相似。然而,临床病程通常更为急骤,表现为颅内压升高或局灶性神经功能障碍的快速进展体征。癫痫发作是一种罕见的表现形式。由于瘤内出血,约5%至10%的患者的病情会突然恶化。

高级别胶质瘤
非脑干高级别胶质瘤的特征性磁共振成像表现包括T1加权像低信号、T2加权像皮质和白质高信号(表现为肿瘤浸润和血管源性水肿)以及不规则的强化。弥漫性内生性桥脑胶质瘤通常表现为一个大的、扩张性脑干肿块,中心位于脑桥,占据其三分之二。病变通常在T1加权像上呈低信号或等信号,边缘模糊不清,在T2加权图像上呈模糊的高信号,这反映了肿瘤的浸润性。但在液体衰减反转恢复序列图像上,弥漫性内生性桥脑胶质瘤经常显得相对均匀。这些肿瘤的对比增强可能是可变的,但无明确的预后意义。

大脑脑叶高级别胶质瘤
儿童大脑半球高级别胶质瘤的手术与基于术中影像的导航密切相关,尤其对于“功能区”或“功能哑区”的肿瘤定位,这与总体生存率相关。外科干预的目的是获取组织以进行组织学诊断和实现肿瘤减容。边界清晰的病灶可通过肿瘤全切治疗,而浸润性较强、边界不明显、侵犯中线或涉及脑深部结构的肿瘤,手术的目标应该是安全的最大程度切除。
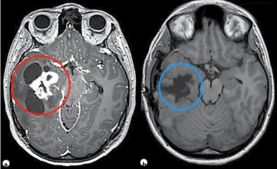
弥漫性内生性桥脑胶质瘤
弥漫性内生性桥脑胶质瘤是常见于5岁至10岁儿童的高度恶性、进展迅速的侵袭性肿瘤。中位生存期约为9个月。临床表现通常是颅神经功能障碍、长束征和共济失调。此外,还可能存在继发于脑室梗阻的颅内压升高迹象。症状持续时间通常很短。1型神经纤维瘤病患者的病程可能相对缓慢。弥漫性内生性桥脑胶质瘤的诊断标准通常基于明确的磁共振成像表现,因此,活检常被视为不必要。

弥漫性内生性桥脑胶质瘤
治疗弥漫性内生性桥脑胶质瘤的挑战在于其恶性的高级别组织学特征及其位于脑干中心区域这一特殊性。目前的重要治疗手段是放疗,手术仅限于活检,而活检主要用于磁共振成像表现不典型、不确定,或当研究方案有此要求时。立体定向活检已被证明是安全的。化疗在弥漫性内生性桥脑胶质瘤管理中的作用仍在评估中。
偶发性胶质瘤
偶发性低级别胶质瘤在儿童患者中较为罕见,对其处理方式目前尚无共识。这些病变可能因创伤或头痛等原因进行诊断性检查时被发现。儿童偶发性低级别胶质瘤最常见于后颅窝。在成年患者中,保守观察可能会增加恶性转化的风险,并纵容肿瘤生长。然而,在一项包含12例无症状低级别胶质瘤儿童的系列研究中,中位随访16.7个月,仅有一个肿瘤表现出进展倾向,需要手术干预。虽然相关研究的随访时间较短,但似乎正如儿童低级别胶质瘤的遗传特征与成人不同一样,该肿瘤在儿童年龄组的生物学行为也有所不同,确实需要对儿童偶发性神经胶质瘤进行进一步评估。

偶发性胶质瘤
后记
INC教授团成员James T. Rutka鲁特卡教授认为,小儿神经胶质瘤的切除手术给小儿神经外科医师带来诸多挑战。治疗结果主要取决于不同年龄的临床表现、肿瘤的位置、组织学类型和肿瘤切除程度。治疗应基于多学科方法,并且更为个性化,外科医生也应利用更多先进的技术辅助手段来改善这些患者的治疗方案。
参考文献:James A. Balogun · James T. Rutka. Surgery of Intracranial Gliomas in Children. 2018
- 所属栏目:胶质瘤
- 如想转载“儿童胶质瘤都是恶性吗?6大胶质瘤类型和治疗选择,INC国际小儿神外大咖深入解读”请务必注明来源和链接。
- 网址:https://www.incsg.com/jiaozhiliu/7651.html
- 更新时间:2026-02-22 14:04:41


