脑干出血时会发生什么?37岁患者亲历:后来我连推门都不敢用力
发布时间:2026-03-27 09:43:04 | 阅读:次| 关键词:脑干出血时会发生什么?37岁患者亲历:后来我连推门都不敢用力
- [案例]得了这种胶质瘤,竟有望通过全切手术治愈!
- [案例]中德国际交流项目进行时|INC巴特朗菲教授顺利完成一台儿
- [案例]口齿不清?四肢无力?来看看功能区海绵状血管瘤的真相
- [案例]“你这不像是做了开颅手术吧?”我36岁,大脑4.5cm脑膜瘤
- [案例]少年勇敢抉择战胜脑干海绵状血管瘤,术后1年继续奔向美
- [案例]不开颅!医生竟然用一双“筷子”从12岁男孩的小小鼻孔里
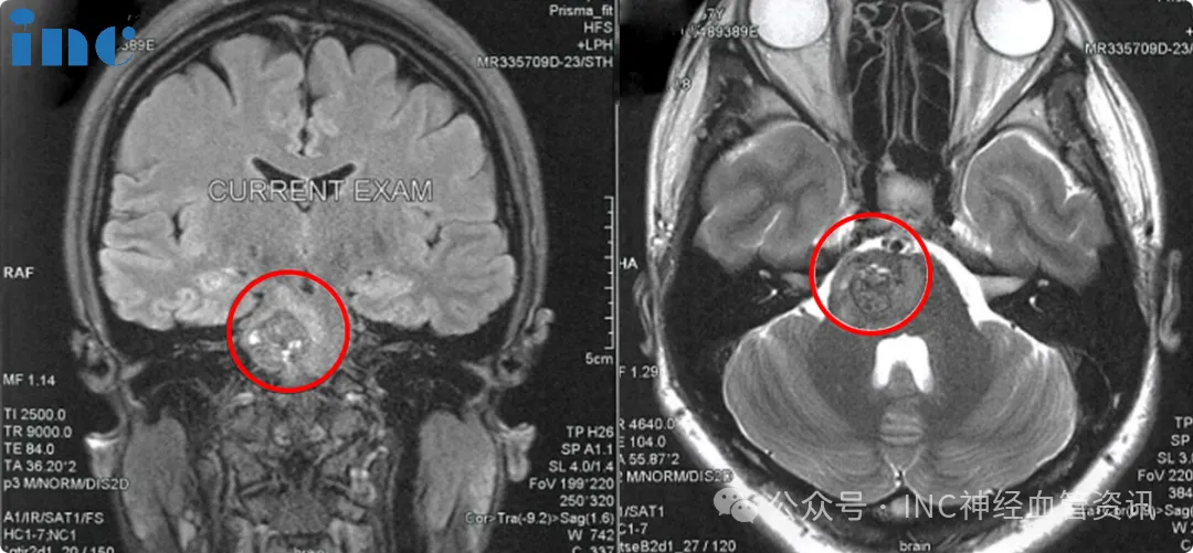
脑干出血的那一刻,对于普通人来说或许只是一个遥不可及的医学概念,但对于37岁的佩珊而言,却是一场真实经历的生死考验。毫无任何预兆,她突然感觉左侧肢体出现无力,左脚发软、抬不起来,正常走路都变得举步维艰。家人立即将她紧急送医,颅脑核磁共振检查的结果让所有人的心瞬间沉了下去——脑干桥脑海绵状血管瘤,正在出血。

看似好转,仍是埋在脑干的致命隐患
脑干是人体维持生命的核心枢纽,掌控着呼吸、心跳、运动传导等一切基础生命功能,被称为大脑的"总指挥部"。脑桥作为脑干的关键组成部分,位于脑干中段,是连接大脑与脊髓、面部神经与肢体神经的核心通道,负责调控面部运动、肢体活动、吞咽、听力等多项重要功能,其内部密布着数量庞大的神经纤维与神经核团,结构精密到毫厘之间都容不得半点损伤。

佩珊所患的脑干桥脑海绵状血管瘤,并非通常意义上的恶性肿瘤,而是一团先天发育异常的畸形血管团,血管壁菲薄且脆弱,缺乏正常血管应有的弹性与完整性。这类病变最大的威胁,在于它会反复自发性出血。每一次出血都会直接压迫并损伤脑桥内的神经纤维——第一次出血或许只表现为肢体无力,但第二次、第三次出血则极可能导致永久性偏瘫、面瘫或言语功能障碍,乃至危及生命,堪称一颗埋藏在生命中枢的"定时炸弹",随时面临引爆的风险。
了解到病情的严重程度后,佩珊陷入了深深的忧虑。一边是随时可能再次爆发的出血威胁,一边是两难的治疗抉择:要么保守观察,要么接受外科手术切除。彼时她的肢体无力症状十分明显,当地医生考虑到脑干手术风险极高,建议先采取保守治疗。经过大约半个月的对症休养与药物干预,佩珊的肢体无力症状逐渐缓解,基本恢复了正常活动能力。

然而,症状好转并不等于痊愈。脑海绵状血管瘤本身无法自行消失,症状的改善仅代表此次出血所引发的急性影响在逐步消退。当出血范围较为局限、未对周围关键脑组织造成永久性损伤时,机体可以逐渐吸收淤积的血液,神经功能因此得到代偿性恢复,病灶进入暂时的"稳定期"。但病灶依然存在,再次出血的风险始终如影随形。此后,患者需要定期进行核磁共振复查,密切监测病灶的动态变化。
手术可能致残,不手术同样面临致残风险
身体症状虽然消失了,但"再次出血"的阴影却悄悄成为佩珊日常生活的底色。她开始变得极度谨慎,不敢大声说话,不敢情绪波动,甚至连推开一扇门都不敢用力,生怕任何一个不经意的动作会"引爆"那颗埋在脑干里的炸弹。长期处于心理高压之下,她的生活质量受到了严重影响。
更令她感到绝望的是,当她不甘心余生都活在这种恐惧之中、转而寻求根治性手术切除时,却接连遭到了医生的"劝退"。多位医生在评估后坦言,手术极可能造成永久性面瘫、偏瘫等严重后遗症。"医生直接对我说:'你能接受瘫痪这个结果,就可以做。'我才37岁,怎么可能接受?"佩珊在回忆起那段经历时说。

这种风险的根源在于脑桥内部结构的极端复杂性。导致术后面瘫和偏瘫的风险,主要来自两个关键解剖结构:其一是面神经核及其纤维——负责控制面部肌肉运动的"总指挥部"及其发出的"电缆"穿行于脑桥之中,手术一旦损伤,将导致同侧面部肌肉瘫痪,出现口角歪斜、眼睑无法完全闭合等表现;其二是皮质脊髓束——这条从大脑皮层延伸至脊髓、负责控制对侧肢体运动的"主干道"同样经由脑桥,此处受损则会引发对侧肢体偏瘫。在脑干这片方寸之地施行手术,对主刀医生的要求达到了极致——不仅需要对三维解剖结构有深刻而精准的掌握,能够根据病灶位置精确选择手术入路,还需要依靠术中神经电生理监测实时识别神经位置,将损伤风险降到最低。
佩珊陷入了死循环:不做手术,随时面临再次出血的威胁;做手术,同样要承担面瘫、偏瘫的高度风险。
绝境逢生:一场精细到毫米级别的病灶拆除手术
不愿就此认命的佩珊和家人,没有将目光局限于当地的治疗建议,而是开始在国内外大量查阅脑干疑难手术的权威资料,翻阅学术论文与成功案例。最终,INC国际脑干手术领域知名专家巴特朗菲教授进入了他们的视野。作为世界公认的脑干与颅底肿瘤手术领域的顶尖专家,巴特朗菲教授拥有逾千例脑干手术的成功经验。
通过INC国际神经外科医生集团的协调,佩珊将详细的病历资料发送给巴特朗菲教授进行远程咨询,教授的回复清晰而坚定:"我可以为患者完全安全地切除病灶。手术风险主要是已由出血引起的感觉运动缺陷,可能出现轻微的短暂性听力损失和轻微的面部无力,但这些副作用均只是暂时性的。术后出现此类症状的风险约为5%至6%,如确实发生,通常会在手术后1至3个月内完全恢复。"这份基于上千例脑干手术经验的权威判断,重新点燃了佩珊心中的希望。

2023年9月,在INC的统筹协调下,佩珊从香港飞赴苏州,在巴特朗菲教授来华开展示范手术期间接受了这台关键手术。术前,教授借助模型耐心细致地讲解手术方案,并以此前已成功手术、恢复下床行走的病友案例鼓励她。手术过程顺利,术中神经电生理监测如同"实时导航系统",始终保持对重要神经的精准识别与保护。病灶被完整切除,而佩珊最为恐惧的面瘫与偏瘫并未出现。
术后第一天,她便从重症监护室顺利转出;第三天,已能自如行走。"醒来之后我立刻动了动手脚,又摸了摸自己的脸,一切都好,真的太神奇了!"佩珊在术后回忆起那一刻,忍不住感慨。

巴教授为佩珊演示手术的切口位置,届时只会剔除耳后的少量头发,佩珊可以保留自己的长发,不影响术后美观
尘埃落定:病灶全切,重回正常生活
时光流转,术后两年,佩珊的最新复查核磁共振结果正式出炉,影像清晰显示:脑干桥脑海绵状血管瘤已完全切除,无任何残留,病灶无复发迹象。那行"COMPLETE cavernoma removal(病灶全切)"的报告结论,终于为这段漫长的抗病历程画上了圆满的句号。

对于位于脑干等高难度区域的病变,治疗的选择不应只有"高风险手术"或"被动等待"两个极端。积极寻求国际前沿的诊疗意见,往往意味着多一种可能,多一份希望。而希望,正是一切奇迹的起点。
关于INC巴特朗菲教授

Prof. Helmut Bertalanffy(巴特朗菲教授)是INC国际神经外科医生集团旗下世界神经外科顾问团(WANG)成员,曾任世界神经外科联合会(WFNS)教育与技术委员会主席,现任德国汉诺威国际神经外科研究院血管神经外科主任。其专业擅长涵盖大脑半球病变、脑干病变、脑血管疾病、脑内深层区胶质瘤、颅颈交界区病变的肿瘤切除术、神经吻合术以及各类椎管内肿瘤的手术治疗。教授曾受到来自欧洲、中东、北非以及日本、中国、韩国、新西兰、南非、智利等40余个国家和地区的学术邀请,应邀出席并在逾400场国际学术会议及神经外科大会上作特邀主旨发言,尤其在颅底外科与显微外科血管病变的脑脊髓治疗领域作出了突出贡献。
- 所属栏目:颅内海绵状血管瘤
- 如想转载“脑干出血时会发生什么?37岁患者亲历:后来我连推门都不敢用力”请务必注明来源和链接。
- 网址:https://www.incsg.com/huanzhegushi/xueguanliu/7884.html
- 更新时间:2026-03-27 09:37:31


