脑膜瘤4cm严重吗?当巨大脑瘤“静悄悄”地长进海绵窦,必须手术?
发布时间:2026-04-05 09:21:27 | 阅读:次| 关键词:脑膜瘤4cm严重吗?当巨大脑瘤“静悄悄”地长进海绵窦,必须手术?
- [案例]「千里转运」脑干海绵状血管瘤女孩的生命奇迹列车已进
- [案例]中脑脑干海绵状血管瘤怎么治疗?中年男士海绵状血管瘤
- [案例]三次收到病危通知的她,经历第四次脑干出血后反而微笑
- [案例]“想成为像Rutka教授一样的好医生!”曾被他救下的脑瘤女
- [案例]17岁男孩眼睛斜视、复视,竟是颅底巨大肿瘤——不开颅,
- [案例]我们和遭遇脑瘤的小勇士家庭聊了聊:“幸好坚持下来,
对于脑膜瘤患者而言,确诊后最为关切的核心问题往往是病情严重程度。当肿瘤直径达到4厘米时,其占位效应已相当显著,势必对周边脑组织、血管及神经产生压迫与推移。若肿瘤持续生长,极易引发严重的神经功能损伤,例如视力减退、视野缺损、肢体无力及言语障碍等临床表现。许多患者因此产生一个合理且普遍的疑问:为何肿瘤体积已如此之大,却仍未出现任何症状?根本原因在于大脑具备代偿能力。一旦代偿达到临界阈值,便可能显现出显著症状。
偶然检出巨大脑膜瘤的典型案例
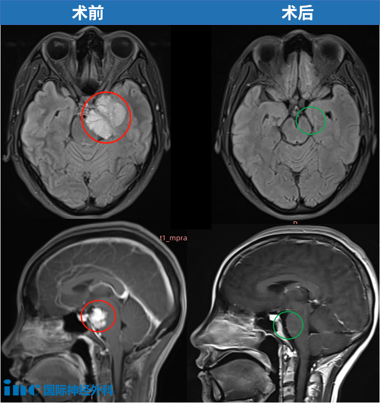
部分患者在偶然间检出巨大脑膜瘤。例如一位60岁患者,于偶然检查中发现鞍旁存在巨大脑膜瘤,且肿瘤已侵入海绵窦区域,但当时并未呈现任何临床症状。对于某些患者而言,当发现脑瘤且无伴随症状时,初步选择往往是定期观察。然而,鉴于该肿瘤的体积及其生长态势,继续等待已非适宜选择。

本次手术由INC国际神经外科顶尖专家主刀,过程极为顺利,实现了肿瘤的完全切除,同时完整保留了颈内动脉,海绵窦区域亦未予打开。术后磁共振成像显示良好结果。需要强调的是,位于鞍区、岩斜区或桥小脑角等关键区域的4厘米脑膜瘤,即便病理性质属于良性,其压迫视神经、脑干或重要颅神经的风险依然极高,加之手术操作本身较为复杂。因此,无论患者是否出现临床症状,此类肿瘤均应由神经外科医生进行系统而严谨的术前评估,并积极、及时地考量手术治疗方案,否则极可能导致不可逆转的神经功能损伤。

另一位36岁的患者,在一次常规体检中偶然发现脑膜瘤。该肿瘤生长于解剖结构极为复杂的岩尖区,直径约4.5厘米,已对脑干及左颞叶形成压迫。令人意外的是,患者初期并未表现出任何临床症状。然而,当她开始积极寻求医疗帮助时,在较短时间内,这一大型肿瘤逐渐显现出其影响:患者左眼视力急剧下降至微弱的0.1,仅相当于正常视力的10%,已对其日常生活造成严重困扰。欲了解其详细诊疗经历,

可点击阅读:开颅后,朋友问我怎么头发还在!脑膜瘤手术究竟是微创还是开颅?
脑膜瘤体积增大可能引发的临床症状解析
脑膜瘤属于来源于蛛网膜细胞的良性肿瘤,通常附着于硬脑膜。以鞍区脑膜瘤为例,该位置肿瘤通常起源于周边区域,继而向鞍区扩展。经典分类包括鞍上脑膜瘤与海绵窦脑膜瘤。纯粹的鞍内脑膜瘤较为罕见,有时难以与垂体腺瘤进行鉴别。
脑膜瘤的形态学特征与其蛛网膜起源相符,依据世界卫生组织分类标准可分为3级,分级基于其组织学形态以及Ki-67/MIB-1增殖指数。大多数脑膜瘤为WHO 1级,属于复发率较低的良性肿瘤。而II级与III级则与更具侵袭性的自然病程及较高的复发风险相关。
鞍结节脑膜瘤起源于鞍结节、视交叉沟及蝶骨缘,因此当肿瘤增大时,常将视神经向外侧、视交叉向上方推移,视觉障碍往往成为其首发诊断症状。由于肿瘤通常不影响垂体本身,故垂体功能大多保持正常。肿瘤常向后方及下方生长进入鞍内,向后可延伸至基底动脉及第三脑室底部,有时会对垂体柄产生明确的占位效应。磁共振成像上肿瘤多呈现明显强化,并伴有典型的“脑膜尾征”,这有助于脑膜瘤的诊断,但并非特异性鉴别标志。与垂体大腺瘤不同,蝶鞍体积一般保持正常。计算机断层扫描中观察到的骨质增生对诊断具有重要的提示意义。
由于肿瘤增大后必然牵拉周围神经血管结构,通常情况下肿瘤并不侵犯神经结构,蛛网膜平面多保持完整,但神经或动脉被肿瘤包裹的情况亦不少见。鉴于视神经及视交叉最常受到肿瘤压迫,手术仍被视为首选治疗方式。因此,为获得最佳的视觉预后,术者必须充分评估肿瘤沿视神经内侧向视神经管生长的范围、术前磁共振成像上视神经及视交叉相对于肿瘤的位置,以及术前眼科检查结果,并据此确定最佳的手术视野与入路。
海绵窦脑膜瘤一般起源于海绵窦外侧壁,但也可起源于海绵窦内侧,因此其自然扩散方向十分明确:侧方可延伸至中颅窝,上方可达床突上段颈内动脉、视神经及视交叉,后方经三叉神经孔扩展至岩斜区,内侧可侵犯蝶窦或鞍区,故海绵窦内常见颈内动脉狭窄。更为关键的是,对海绵窦内脑膜瘤的组织学研究早已证实其存在对颈内动脉壁及颅神经的明显浸润。
临床上患者最常见表现为头痛、动眼神经麻痹、面部感觉异常或麻木、视力或视野损害。若鞍区受累,应进行系统、规范的内分泌学评估,但需注意垂体功能障碍极其罕见,且多发生于疾病晚期。由于海绵窦脑膜瘤解剖位置特殊,治疗必然需要多学科协作。手术的明确目标是切除海绵窦外的病灶以解除对脑干、视觉通路及颞叶的压迫,而海绵窦内残留的肿瘤宜予以定期随访或考虑放疗。
偶然发现的脑膜瘤生长趋势分析
从现有文献中可以清晰、有层次地看到,绝大多数偶然性脑膜瘤终将发生生长,通常在诊断后3年内出现生长迹象,且其生长多为缓慢、自限性的。文献中也总结了脑膜瘤的5种主要生长模式:类指数型、线性型、S型、抛物线型和持续缩小型。更为重要的是,较大肿瘤的平均倍增时间明显延长。

所有脑膜瘤的经典一线治疗方案是手术。然而,当肿瘤直径≥4厘米,或肿瘤小于2.5厘米但初始年生长速率≥20%,或肿瘤≥2.5厘米且年生长体积≥1立方厘米时,长期观察通常不是适宜的选择。
总而言之,绝不可轻视任何直径为4厘米的脑膜瘤,因为其治疗决策需从肿瘤大小、部位、生长速度、伴随症状、患者年龄、全身状况等多种因素进行综合考量。因此,对于位于复杂位置的脑膜瘤患者而言,前往专业神经外科中心接受精准评估与规范的个体化治疗,是最为关键的步骤。
- 所属栏目:脑膜瘤
- 如想转载“脑膜瘤4cm严重吗?当巨大脑瘤“静悄悄”地长进海绵窦,必须手术?”请务必注明来源和链接。
- 网址:https://www.incsg.com/huanzhegushi/naomoliu/7962.html
- 更新时间:2026-04-05 09:15:48


