“手术非常紧急!”当视力被鞍区脑膜瘤一寸寸偷走,她如何跑赢这场失明倒计时?
发布时间:2025-11-12 09:58:53 | 阅读:次| 关键词:“手术非常紧急!”当视力被鞍区脑膜瘤一寸寸偷走,她如何跑赢这场失明倒计时?
- [案例]体检意外检出脑膜瘤,38岁女强人果断手术、全切后7日出
- [案例]“脑瘤易复发,为何不扩大切除?”——一位32岁女性15年
- [案例]误诊"电视看多了"?1岁半幼儿面瘫斜视,脑干暗藏桥脑
- [案例]五大关键点,助力脊索瘤治疗与控制,迈向“治愈”之路
- [案例]良性又令人害怕?垂体瘤侵袭视神经、压迫脑室,一次全
- [案例]巴教授让她的“下半辈子能够过的有生活质量”,功能区
"手术非常紧急!"当鞍区脑膜瘤逐渐侵蚀视觉功能时,患者如何赢得这场失明预防赛跑?
INC巴特朗菲教授2025年鞍区脑膜瘤示范手术
北京时间11月11日,随着疑难神经外科示范手术顺利开展,INC巴特朗菲教授中国行活动正紧张有序进行中。这位来自德国的神经外科专家以急促步伐再次进入熟悉的医疗环境。初冬时节,阳光明媚。来自全国各地的患者,因巴教授的到来而汇聚于此,共同留下生命希望与治疗轨迹。
人们普遍对疾病存在恐惧心理;确诊疾病后,更对手术治疗心存担忧。因为一旦患病,生命长度与生活质量均可能遭受潜在损害;选择手术治疗,则意味着生命安全暂时脱离自我掌控,而不手术可能面临肿瘤压迫引发的未知风险。然而,若能遇到技术娴熟的外科医生,同时获得家人全力支持,情况则可能不同。
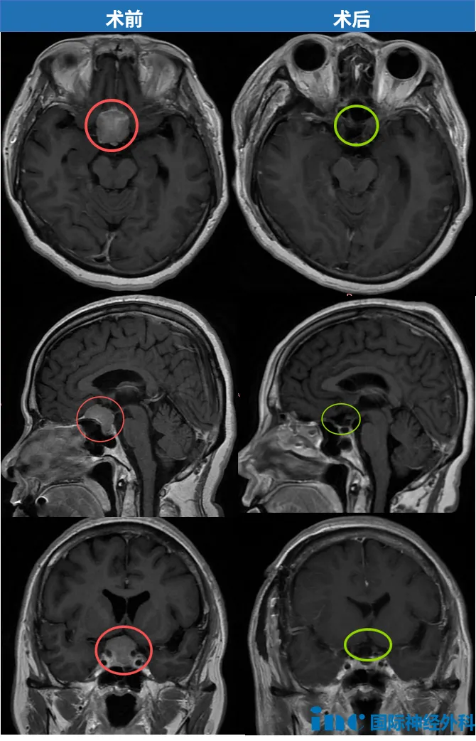
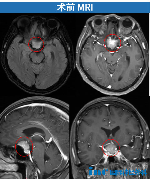
这是一场与时间的紧急赛跑:58岁患者陈女士确诊鞍区脑膜瘤,肿瘤位置险要,并已引发视力显著下降。危急时刻,为保全残余视力,家庭成员果断决策,迅速选择手术治疗;巴教授精准实施手术,成功切除肿瘤,将患者从失明边缘挽救回来。

当视觉功能正被脑瘤逐渐侵蚀……
2024年12月17日,身处国外的陈女士因面瘫和视物模糊症状,确诊为鞍区脑膜瘤。病情进展迅速,短短4天后,她紧急返回国内。详细检查显示肿瘤位于鞍底区域,尺寸约2.6cm×2.5cm。

时间持续流逝,视觉功能逐步丧失。儿子在安抚恐惧母亲的同时,积极奔走求医。2025年1月3日,他们获得巴教授关键评估意见:"手术非常紧急!"此时陈女士双眼视力呈进行性下降,检查结果显示双眼视力0.2(正常值1.0),双眼视野存在严重缺损。
由于肿瘤位于前颅底区域,生长于双侧视神经之间,随体积增大逐渐压迫视神经结构。此外,肿瘤位置险要,已波及垂体及垂体柄区域。
这不仅涉及肿瘤本身问题,肿瘤还会压迫供应视神经和视交叉的血管系统,损害视神经血液供应,极易引发肿瘤和视神经梗塞,导致患者完全失明。
"手术非常紧急!"——一场对抗失明的赛跑
面对突发重病,陈女士内心充满恐惧。她回忆近年视力逐渐模糊,原以为老花眼所致,未料颅内病变已悄然发展至如此程度。
母亲越恐惧,儿子越需保持冷静。他明白每步犹豫都在消耗母亲残余视力。
"为时已晚,视力状况已不理想……"教授评估萦绕耳边,却强化了儿子为母亲争取手术的决心。
丈夫与儿子持续陪伴陈女士身边,提供无尽勇气和支持。最终,在他们的全力支持下,陈女士勇敢接受手术治疗。
"一切顺利!"巴教授挽救岌岌可危的视力功能
2025年1月9日手术当日,家属焦虑等候于手术室外。当听到巴教授宣布"一切良好"时,家属激动致谢:"非常感谢您!"
术后当日,陈女士在ICU已能与教授流畅交流,视力部分恢复,并于当天转至普通病房。这场时间赛跑,他们最终获胜。
回顾时间历程,总有患者因未及早手术而懊悔。但我们见证中外专家协作,让爱与希望跨越时空,照亮治疗道路。巴教授来华行程紧张,陈女士把握关键机会。目前示范手术持续进行,期盼更多家庭获得转机。
鞍区手术风险解析:伽马刀治疗是否可行?

鞍区解剖位置说明:从眉间向内侧约4-5厘米处,即颅中窝中央蝶鞍及周边区域。因形态类似马鞍,故称鞍区。
区域虽小,仅约5.5平方厘米,却是关键生命结构聚集区:包括颈内动脉、基底动脉、海绵窦、垂体、下丘脑、视神经等多组颅神经结构。

视神经与视觉功能密切相关,垂体柄调控内分泌功能,下丘脑决定患者认知能力及术后内分泌状态。
在此狭小区域,颅咽管瘤如同狡猾寄生虫,侵入患者鞍区,在大脑核心区域造成损害。
该手术区域极其精细,任何操作误差可能导致不可逆神经损伤。术中切除肿瘤时,需反复权衡风险,及时做出决策。
鞍区脑膜瘤能否选择伽马刀治疗?
巴教授评估陈女士病例时指出:部分医生因担忧失明风险推荐伽马刀治疗,但通常加剧病情,因伽马刀可能引发失明,且使后续手术更复杂。肿瘤与视神经粘连加重,增加手术难度。因此,伽马刀并非理想选择。
国内外指南解析:手术作为脑膜瘤一线治疗方案

图示:国际通用Simpson分级与脑膜瘤复发关系
当前,手术仍是多数脑膜瘤首选治疗方式——特别当肿瘤体积较大、生长迅速或已出现症状时,医生通常推荐手术,目标为实现最大程度切除。
2004-2014年美国国家癌症数据库(NCDB)所有脑膜瘤患者数据。分析201,765例病例,平均年龄64岁。患者WHO分级分布:I级24.9%、II级5.0%、III级0.7%、未知分级69.4%。中位生存期12.6年。接受手术切除患者5年生存率高于未治疗患者。

放射治疗仅适用于不可切除肿瘤,及回顾性研究证实获益的老年患者群体。
点击阅读:脑膜瘤一般能活几年?超20万名脑膜瘤患者研究数据,揭示生存真相究竟如何
确诊脑膜瘤后,选择积极手术还是继续观察?决策涉及多重因素——肿瘤位置风险程度、最佳手术时机、功能保护最大化、术后生活质量保障等。这些问题无标准答案,每步决策均需医患共同制定,最终追求更好预后。
- 所属栏目:脑膜瘤
- 如想转载““手术非常紧急!”当视力被鞍区脑膜瘤一寸寸偷走,她如何跑赢这场失明倒计时?”请务必注明来源和链接。
- 网址:https://www.incsg.com/huanzhegushi/naomoliu/7025.html
- 更新时间:2025-11-12 09:46:19
- 上一篇:脑膜瘤压迫致嗜睡、偏瘫!女子眼球突出17年后病情危急,开颅手术化险为夷
- 下一篇:没有了


